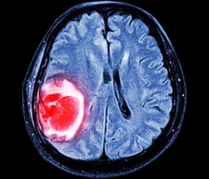
Глиобластома головного мозга(high grade gliomas) — это серьезное коварное заболевание злокачественной природы, которое бесконтрольно развивается в черепной коробке. Этот вид рака формируется из звездчатых глиальных клеток – астроцитов (нейроглиальных звездчатых клеток) и олигодендроцитов (глиальных клеток), которые, в противовес нервным клеткам, могут размножаться. Опухоль быстро пробивается в мозговую ткань, у больного развивается глиобластома, часто почти бессимптомно до последних стадий или метастазирования. Между раковыми и нормальными клетками не существует четкой границы, и именно этот факт делает данный вид рака очень опасным и труднооперабельным.
Важно! Наиболее часто пациентами с диагнозом глиобластома становятся люди среднего возраста и дети, по статистике, болезнь выбирает мужчин в возрасте 35-55 лет, но и особы женского пола тоже не застрахованы от этого заболевания.
Симптомы заболевания
Раковое повреждение головного мозга — очень серьезная болезнь, которая нарушает работу нервной системы.
Глиобластома (код по Мкб 10 — С71) имеет следующие общие симптомы:
- может возникнуть головная боль вследствие повышения внутричерепного давления;
- нарушается чувствительность;
- часто ощущаются головокружение и сонливость;
- из-за смещения мозга при росте опухоли может возникнуть тошнота и рвота;
- галлюцинации различного характера;
- потеря аппетита (а, следовательно, и резкое уменьшение веса);
- резкие перепады настроения;
- повышение температуры;
- может нарушаться зрение, речь, происходить провалы в памяти.
Часто небольшая опухоль никак себя не проявляет и может определиться случайно при обследовании по другому поводу.
Запомните! Точные механизмы и факторы, способствующие возникновению заболевания не известны, поэтому надо обратиться к врачу при появлении этих признаков.
Расположение глиобластомы (Glioblastoma) может быть различным – она может формироваться в височной и лобной зоне, задевать структуру мозжечка, ствола, иногда клетки спинного мозга. Опухоль вторгается в мозолистое тело, а по истечении времени — в оба полушария. Медики могут наблюдать наличие огромных клеток с парой ядер и ядерный полиморфизм. Так появляются аномальные трансформации в сосудах и артериовенозные свищи, которые напрямую соединяют вены и артерии.
Специфичные симптомы глиобластомы зависят от места расположения опухоли, поэтому этот вид рака имеет много различных проявлений.
Симптомы можно разделить по характеру на:
- очаговые;
- общемозговые.
Общемозговые можно разделить на;
- гипертензионно-гидроцефальный синдром;
- вестибулярный.
При первом типе пациент может ощущать:
- тошноту по утрам (это происходит из-за сдавливания опухолью близлежащих сосудов и тканей);
- потерю аппетита;
- вялость, сонливость;
- головную боль, распирающего характера.

Глиобластома из-за быстрого роста и выделения продуктов распада клеток, оказывает разрушающее действие на соединительные ткани, сосуды, что является причиной нарушения нормального оттока крови.
Если опухоль затронула заднюю черепную ямку или мост, ножки мозжечка, то может нарушиться деятельность вестибулярного аппарата. А это приводит к вестибулярному синдрому, который характерен нарушением координации движения и частыми головокружениями. Могут наблюдаться также такие признаки:
- нарушение речи, зрения;
- частые провалы в памяти;
- проблемы при выполнении сложных задач (деградация интеллекта);
- нарушение психики, заторможенность;
- слуховые, иногда тактильные галлюцинации (пациент может чувствовать едва заметные запахи, слышать звуки, ощущать прикосновения).
На фоне головных болей есть вероятность геморрагического инсульта из-за обширного кровоизлияния в мозг, что может закончиться смертельным исходом.
На четвертой стадии опухоли может проявиться:
- онемение или снижение чувствительности конечностей (возможен даже паралич);
- эпилептические судороги случаются в 10% случаев.
Эти симптомы возникают из-за выходящего из-под контроля роста опухоли. Состояние пациента на последней стадии очень тяжелое и нуждается в немедленной госпитализации. Вопрос – можно ли вылечить рак на такой стадии – уже не возникает — врачи уже не могут помочь.
Глиобластома является одной из самых агрессивных форм опухолей головного мозга, и мнение врачей по этому поводу однозначно: ранняя диагностика и комплексный подход к лечению имеют решающее значение. Специалисты отмечают, что данная опухоль развивается из глиальных клеток и характеризуется быстрым ростом, что затрудняет ее лечение. Врачи подчеркивают важность мультидисциплинарного подхода, включающего хирургическое вмешательство, радиотерапию и химиотерапию. Несмотря на сложность лечения, современные методы, такие как иммунотерапия и таргетная терапия, открывают новые горизонты в борьбе с этой болезнью. Важно, чтобы пациенты и их семьи были информированы о возможностях лечения и поддержке, что может значительно улучшить качество жизни.

Причины возникновения болезни
Среди вероятных причин, способствующих этому процессу, можно выделить:
- наследственную предрасположенность (если глиобластома была у близких родственников — риск заболеть больше);
- приобретенные или врожденные генетические дефекты (нейрофиброматоз — болезнь Реклингхаузена);
- принадлежность к мужскому полу (мужчины больше подвержены данному заболеванию);
- вредное воздействие окружающей среды (радиация, электромагнитное излучение, химические выбросы в атмосферу – поливинилхлорид, к примеру).
Также провоцируют развитие этого патологического процесса употребление наркотиков, алкоголя, курение (хотя это не всегда является первопричиной развития глиобластомы).
Возможными причинами возникновения могут быть вирусные инфекции, сотрясения, кровоизлияния, операции на мозге, черепно-мозговые травмы. Бывают случаи формирования из пилоцитарной и фибриллярной астроцитомы первой и второй степеней. В некоторых случаях (около 10%) глиобластома начинает формироваться опять из астроцитарных высокодифференцированных новообразований.
Диагностика заболевания

Так как на ранних стадиях заболевания признаки практически отсутствуют, то диагностирование болезни возможно только с помощью профилактических исследований, к примеру, с помощью онкоскрининга всего тела.
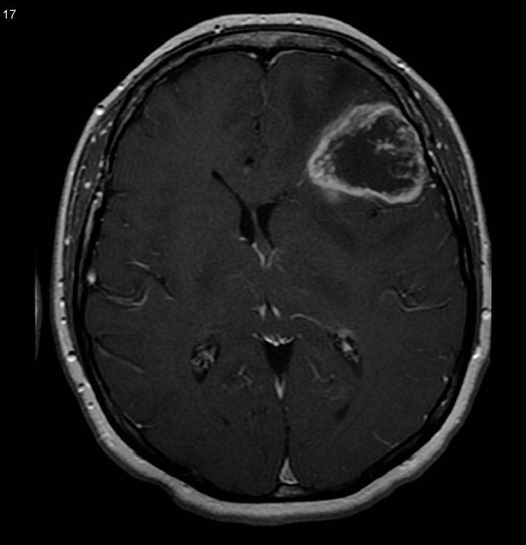
Для получения более полной картины заболевания делается биопсия (гистологическое исследование части головного мозга). Биопсия — сложная нейрохирургическая операция, она проводится под общей анестезией. Когда опухоль локализуется глубоко внутри тканей мозга, биопсия становится невозможной.
Если глиобластома выявлена на ранних стадиях, то есть шанс победить болезнь или немного продлить жизнь человека, имеющего опухоль. После получения результатов анализов и исследований, нейрохирург может назначить лечение индивидуально для каждого пациента.
Глиобластома — это один из самых агрессивных видов опухолей головного мозга, и мнения о ней варьируются от тревоги до недоумения. Многие люди, услышав этот диагноз, испытывают страх, ведь прогнозы часто неутешительны. Врачи объясняют, что глиобластома быстро растет и может давать метастазы, что усложняет лечение. Однако некоторые пациенты и их семьи делятся историями о том, как они боролись с болезнью, используя как традиционные, так и альтернативные методы. В социальных сетях можно встретить группы поддержки, где люди обмениваются опытом и советами. Важно отметить, что несмотря на сложность заболевания, исследования продолжаются, и новые методы терапии вызывают надежду на улучшение качества жизни пациентов.

Виды и степени злокачественности опухоли
Этот вид онкологии относится к 4-ой степени злокачественности. Опухоль этого типа можно разделить на три вида:
- гигантоклеточная форма. Эта форма отличается наличием многоядерных гигантских клеток. Считается наименее опасным видом среди глиобластом;
- глиосаркома с глиальными клетками, которые смешаны с соединительными тканями и саркоматозными компонентами. Поддается лечению довольно трудно;
- мультиформная форма (полиморфноклеточная). При ней клетки раковой опухоли очень пластичны и способны перерождаться в различные структуры. Это сильно усложняет лечение, так как каждый вид структуры имеет свою восприимчивость к используемым методам лечения. Из-за сдавливания просвета сосудов могут возникать кровоизлияния и формирование некрозных участков. В клетках опухоли есть большое количество сосудов и артериовенозных фискул. Этот вид раковой опухоли считается недифференцированным (самым злокачественным), она способна достичь огромных размеров, прежде чем ее удастся диагностировать.
- изоморфноклеточная. Довольно редкий вид опухоли, раковые клетки этого типа опухоли кажутся однообразными, но имеют небольшую разницу в размере или форме.
Пациенты с мультиформной глиобластомой живут не больше 5 лет.
В зависимости от степени зрелости раковых клеток можно различить несколько таких степеней злокачественности. При зрелой клетке опухоль растет медленнее, так как возможностей к делению у клетки меньше. При незрелости клетки процесс деления будет очень активен, опухоль довольно быстро растет, вовлекая в процесс все новые ткани.
Как любой рак, глиобластома разделяется по степени злокачественности. ВОЗ выделяет следующие степени глиобластомы по гистологическому анализу:
- первая — легкая форма заболевания. Она не имеет признаков злокачественности, опухоль развивается медленно, нормальные клетки поражаются не так быстро. Прогнозы врачей при глиобластоме (глиосаркоме) на этой стадии самые лучшие, шансы на избавление от болезни велики;
- вторая степень – характерна наличием клеток с атипичными признаками, но опухоль растет медленно, образование еще не очень злокачественно. При позднем обнаружении опухоли заболевание переходит в тяжелую стадию, в чем и заключается главная опасность.
- третья – хоть и протекает без некротических процессов, но уже считается злокачественной и очень быстро растет, вторгаясь в здоровые ткани. Проведение операции не гарантирует полного избавления от болезни;
- четвертая степень (G4) – характеризуется большой скоростью роста опухоли и считается самой сложной формой рака. Края опухоли выявить не представляет возможности и поэтому удаление почти невозможно. На этой стадии заболевания врачи часто отказываются от операции, боясь нанести еще больший вред.
Методы лечения глиобластомы

Лучевая терапия. Этот вид терапии заключается в воздействии на опухолевые клетки ионизирующим излучением. Как правило, курс продолжается около тридцати дней. Этот метод не ставит целью полностью избавиться от опухоли, он помогает существенно снизить ее активность, не позволяя расти дальше;
Фотодинамическая терапия. Это новый и достаточно результативный метод лечения, который основан на облучении лазером;
Радиохирургия (Гамма— или Кибер-нож). Это наиболее щадящий способ лучевой терапии, который дает проводить точечное воздействие, не воздействуя на здоровые клетки, и для подобного лечения требуется меньшее количества сеансов. Требуется также точное соблюдение всех рекомендаций врача и строгого режима питания;
Химиотерапия. Целью этой терапии является блокировка роста опухоли и уменьшение ее активности. Также этот метод считается профилактическим против возникновения рецидивов заболевания. Имеет место применение вещества темозоломид в виде таблеток. Как правило, химиотерапия проводится комбинированно с лучевой терапией. Большая часть пациентов переносят этот медицинский препарат довольно хорошо. Также врачи могут назначить темодал в капсулах (аналоги темонат, темомид). Это лекарство глотают, не разжевывая, за один час до еды, курс состоит из 42 дней;
Криохирургия. Этот метод базируется на замораживании клеток опухоли;
Таргетная или целевая терапия. При этом виде терапии применяется препарат авастин (аналоги арзерру, ритуксимаб), он нарушает развитие сосудов опухоли, т.е. подавляет ее рост. Обычно авастин используется при лечении рецидивирующих глиобластом, а не при первичном диагностировании их.
Также во время всего периода лечения больным прописывают дексаметазон, гормональное средство, снимающее отек мозга и ослабляющее большинство симптомов. Но так как этот препарат дает много побочных эффектов, решение о назначении врач принимает, очень хорошо оценив все факторы.
Несмотря на все описанные методы, эффективность лечения глиобластомы относительно невысока.

Глиобластому успешно лечат в Израиле, узнайте подробнее на сайте
Лечение народными средствами и диета при глиобластоме
В некоторых случаях, кроме хирургического удаления раковой опухоли, химио- или лучевой терапии используются и нетрадиционные методы терапии заболевания — народные способы. Народных способов существует немало и среди них особой популярностью пользуется рецепт с использованием редьки. Ее мелко натирают с кожурой, добавляя соль, когда смесь пустит сок, надо втирать в голову и накрыть полотенцем. Сначала в течение получаса может чувствоваться жжение, которое позже перейдет просто в тепло. Эту процедуру выполняют на ночь, а утром моют голову тёплой водой. Следующую процедуру проводят еще раз через три недели.
Соблюдение модифицированной диеты при глиобластоме помогает затормозить рост раковых клеток и делает их более чувствительными к лучевой и химиотерапии. Предпочтение в питании должно отдаваться низко-углеводной диете с повышенным содержанием жиров в потребляемых продуктах.
Сколько живут с диагнозом глиобластома?
По причине крайней злокачественности глиобластомы прогноз на продолжительность жизни у онкобольных, даже после лечения, крайне неблагоприятный. Важное значение здесь имеет период установления первичной опухоли.
Самая опасная форма — мультиформная — не дает больным прожить свыше 40 недель даже при удачном проведении лечения. Также не известно случаев, чтобы онкобольной пересек пятилетний рубеж выживаемости после определения диагноза глиобластома.
Такая низкая продолжительность жизни связана с такими последствиями лечения:
- более 80% пациентов ожидает появление рецидива болезни даже при успешном проведении лечения;
- глиобластома активно разрастается, из-за отсутствия возможности оперативного вмешательства, оказывая опасное воздействие на те отделы мозга, которые отвечают за дыхательную функцию и функцию кровообращения;
- невозможность абсолютного иссечения опухоли приводит к появлению неврологических нарушений (может дойти даже до полного паралича пациента).
В среднем срок жизни после постановки диагноза – глиобластома, около 1-2 лет. Без проведения терапии смерть может наступить в течение пары месяцев. Иногда, когда расположение опухоли глубже 30 мм, и она распространена на оба полушария, опухоль считается неоперабельной.
Больные с диагнозом «глиобластома 4 степени» проводят последние моменты своей жизни в сильнейших муках. Как умирают такие онкобольные? У них случаются сильнейшие головные боли, начинаются нарушения умственной деятельности, случаются припадки эпилепсии, психические расстройства, параличи, и все это на фоне упадка сил и общей слабости организма.
Видео по теме:
https://youtube.com/watch?v=XL9Hbk0SoVQ
Вопрос-ответ
Ребенку поставили диагноз липобластома. Что это за болезнь?
Это довольно редкое заболевание, которое можно обнаружить у детей до трех лет и поражает подкожную клетчатку конечностей. Заболевание относится к доброкачественным новообразованиям.
Советы
СОВЕТ №1
Изучите информацию о глиобластоме: Понимание природы этого заболевания, его симптомов и стадий поможет вам лучше ориентироваться в процессе диагностики и лечения. Используйте надежные источники, такие как медицинские журналы и сайты специализированных организаций.
СОВЕТ №2
Обсуждайте свои опасения с врачом: Если у вас есть подозрения на глиобластому или вы столкнулись с симптомами, не стесняйтесь задавать вопросы своему врачу. Чем больше информации вы получите, тем более осознанно сможете принимать решения о своем здоровье.
СОВЕТ №3
Ищите поддержку: Заболевание, такое как глиобластома, может быть эмоционально тяжелым как для пациента, так и для его близких. Присоединяйтесь к группам поддержки или общайтесь с людьми, которые сталкивались с подобными проблемами, чтобы получить моральную поддержку и полезные советы.
СОВЕТ №4
Следите за новыми исследованиями: Научные исследования в области лечения глиобластомы постоянно развиваются. Подписывайтесь на новости медицинских учреждений и научных организаций, чтобы быть в курсе последних достижений и возможных новых методов лечения.

