Патология, не имеющая инфекционной природы и не опасная для окружающих, которая поражает органы дыхания с поражением легочных тканей и образовывает в ней гранулемы – вот что такое саркоидоз легких.
Общие сведения о саркидозе легких

Саркоидоз легких — это системная патология органов дыхания, при которой происходит поражение легочных тканей и образование гранулем — небольших воспалительных участков (гранулематозное воспаление) в виде плотных узелков – саркоидных гранулем. Эта болезнь классифицируется как доброкачественный гранулематоз.
В большинстве случаев это заболевание сопровождается поражением бронхопульмональных, внутригрудных и трахеобронхиальных узлов. Не менее часто диагностируется саркоидное поражение:
- Кожи — узловатая эритема – 48% случаев;
- Глаз – иридоциклит, кератоконъюктевит – 27%;
- Печени и селезенки – 10-12%;
- Нервной системы (нейросаркоидоз) и слюнных желез – 4-9 %;
- Суставов (синдром Лефгрена), костей – кисты пальцевых фаланг, артрит – 3%;
- Сердца – 3%;
- Почек – нефрокальциноз и нефролитиаз – 1%;
- Органов пищеварения – кишечника, желудка;
- Также возможно поражение органов средостении, мягких тканей, молочной железы и других.
Внешне гранулемы при саркоидозе схожи с туберкулезными, но для узелков саркоидных не является характерным формирование казеозного некроза и присутствие бактерий туберкулеза. По мере развития гранулемы проявляются тем, что могут сливаться в большие очаги. Такие очаги в каком-либо органе срывают его работу и ведут к проявлениям симптоматики саркоидоза.
Обычно это заболевание имеет полиорганное течение. Саркоидоз (Sarcoidosis) поражает альвеолярную ткань, и начинается развитие интерстициального пневмонита или альвеопита, с дальнейшим формированием саркоидных гранулем в области субплевральных и перибронхиальных тканей и меджолевых бороздах. Исходом заболевания бывают фиброзные аномалии пораженного органа или рассасывание гранулем (превращается в стекловидную массу).
Если болезнь прогрессирует, то могут развиваться сбои в вентиляционной деятельности по рестриктивному типу.
Обратите внимание! Саркоидоз – не инфекционное заболевание и не заразно для окружающих больного людей.
По Мкб 10, саркоидоз имеет код D86, одной из его разновидностей даже присвоен отдельный номер – D86.2 – саркоидоз легких с саркоидозом лимфоузлов.
Саркоидоз легких представляет собой системное заболевание, характеризующееся образованием гранулем в легочной ткани. Врачи отмечают, что это заболевание может проявляться различными симптомами, включая кашель, одышку и грудную боль. Часто саркоидоз легких диагностируется случайно при рентгенологическом исследовании, когда обнаруживаются характерные изменения в легких.
Специалисты подчеркивают, что точные причины развития саркоидоза остаются неясными, однако предполагается, что на его возникновение могут влиять генетические факторы, инфекции и воздействие окружающей среды. В большинстве случаев заболевание имеет доброкачественное течение и может самостоятельно регрессировать. Тем не менее, в некоторых случаях требуется лечение, особенно если наблюдаются серьезные симптомы или прогрессирование болезни. Врачи рекомендуют регулярное наблюдение и контроль состояния пациентов, чтобы своевременно выявлять возможные осложнения.

Причины возникновения заболевания
Саркоидоз легких (другие названия — саркоидоз Бека, болезнь Бенье-Бека-Шауманна) – это болезнь с непонятной этиологией. Возможные причины, по которым может появиться это заболевание, таковы:
- Инфекционная теория – возбудители заболевания – микробактерии, спирохеты, гистоплазма, грибы и другие микроорганизмы;
- Генетическая теория – болезнь возникает чаще при наличии этого заболевания у других членов семьи (болезнь передается по наследству);
- Иммунная теория – данное заболевание – ответ организма на воздействие экзогенных факторов и эндогенных (аутоиммунные реакции).

Можно заметить некую зависимость появления саркоидоза от профессиональной деятельности – им в большей мере страдают работники химической промышленности, сельского хозяйства, пожарные, моряки, почтовые служащие.
Важно! Саркоидоз часто встречается среди некурящих пациентов, что до сих пор остается загадкой для ученых.
Классификация саркоидоза легких
Определяют три стадии и их формы:
- I стадия (начальная лимфожелезистая форма саркоидоза) обычно 2-сторонее ассиметричное увеличение лимфоузлов (бронхопульмональных, трахеобронхиальных, паратрехеальных);
- II стадия (медиастинально-легочная форма) – происходит 2-сторонняя диссеминация (милиарная или очаговая), поражение и лимфоузлов внутригрудинного расположения, и инфильтрация легочной ткани;
- III стадия (легочная форма саркоидоза) – пневмосклероз легочной ткани.
По месторасположению распознают саркоидоз:
- Легких;
- Легких и внутригрудных лимфатических узлов;
- Внутригрудных лимфоузлов (ВГЛУ);
- Лимфатических узлов (лимфогранулематоз);
- Дыхательной системы вместе с поражениями прочих органов;
- Генерализованный с множественными поражениями органов.
В процессе заболевания можно выделить активную фазу (обострение), фазу стабилизации и фазу регрессии (или затихания процесса).
По скорости развития можно разделить на следующие типы: хронический, прогрессирующий, замедленный или абортивный характер развития саркоидоза.
Саркоидоз легких — это заболевание, которое вызывает много вопросов и обсуждений среди пациентов и врачей. Многие люди отмечают, что это состояние может проявляться неожиданно, часто без явных симптомов на ранних стадиях. Некоторые пациенты делятся своими переживаниями о том, как диагноз стал для них шоком, особенно когда они сталкиваются с неопределенностью в лечении.
Многие говорят о том, что важна поддержка со стороны близких и врачей, так как информация о заболевании может быть ограниченной. Некоторые пациенты отмечают, что саркоидоз может проходить самостоятельно, но в других случаях требует длительного наблюдения и лечения. Обсуждения в сообществах показывают, что люди ищут не только медицинские советы, но и эмоциональную поддержку, делясь своими историями и опытом.
Саркоидоз легких — это не просто медицинский диагноз, а целая история, которая затрагивает жизни людей, их надежды и страхи.
https://youtube.com/watch?v=dqbGC3hyoTc
Симптомы (патогенез) заболевания
Развитие болезни может сопровождаться общими неспецифичными симптомами:
- Беспокойство;
- Слабость;
- Утомляемость;
- Недомогание;
- Потеря аппетита и веса;
- Лихорадка;
- Потливость (особенно ночью);
- Нарушения сна.
При течении внутригрудной лимфожелезистой формы у части пациентов может происходить процесс бессимптомно, у других – наблюдаться кашель, боли в грудной клетке, повышенная температура.
При медиастинально-легочной форме случается кашель, боли в груди с одышкой. Также могут наблюдаться внелегочные проявления: поражения глаз, костей (синдром Морозова-Юнглинга), кожи, слюнных желез (синдром Херфорда).
При 3 степени заболевания обычны клинические проявления сердечно-легочной недостаточности и эмфиземы.
Когда болезнь переходит в острую фазу, могут возникнуть симптомы:
- Повышение температуры до 40 градусов;
- Отечность и боль в суставах;
- Воспаление сосудов кожи;
- Воспалительные процессы в области глаз;
- Двустороннее увеличение легочных артерий;
- Поражения артритного характера суставов;
- Утолщения пальцевых фаланг и другие.
Запомните! Если болезнь прогрессирует, то развивается опасная форма патологии – хронический саркоидоз.
Осложнения заболевания
Частыми последствиями заболевания могут быть эмфизема, дыхательная недостаточность, бронхообттурационный синдром. Также могут возникать аспергиллез, туберкулез, плеврит и другие неспецифические инфекции.
Также может возникнуть нарушение кальциевого обмена и гиперпаратиреоз, вплоть до смертельного исхода. Болезнь может поражать глаза, что приводит к слепоте.
Вероятность развития осложнений даже после проведения лечения и стабилизации здоровья не исключена.
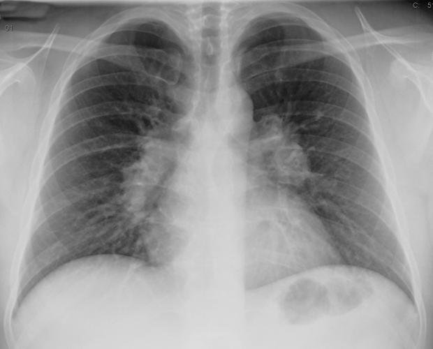
Диагностика заболевания

Также острое течение болезни видно по показателям анализа крови, которые говорят о воспалительном процессе. Первоначальное повышение α- и β-глобулинов, в процессе развития заболевания изменяется на увеличение содержания γ-глобулинов. Применяют данные лимфоцитоза жидкости бронхоальвеолярного лаважа (жБАЛ), однако надежность этого способа при саркоидозе может оказаться невысокой.
Также у большей части пациентов может наблюдаться положительная реакция на пробу Квейма – Зельцбаха – появление узелка темно-красного оттенка после введения под кожу специфичного антигена.
Проведение бронхоскопии и биопсии обнаруживают различные признаки саркоидоза – расширенные сосуды в устьях (корне) долевых бронхов, увеличение лимфоузлов в зоне бифуркации.
Но самым информативным способом определения саркоидоза является гистологическое изучение биоптата, который получают, если делают бронхоскопию, прескальную или открытую биопсии (для онкомаркеров), пункции.
Важно! Если саркоидоз диагностирован у беременной девушки, это не может считаться поводом для прерывания беременности, так как на плод это заболевание влияния не оказывает.
Лечение саркоидоза легких
Показанием к медикаментозному лечению является прогрессирующее течение саркоидоза. Лечение этого заболевания проводится длительными курсами стероидных, противовоспалительных препаратов, а также антиоксидантов и антидепрессантов.
Терапия начинается с ударной дозы, которая постепенно снижается. Если наблюдаются побочные эффекты, то лечиться надо по прерывистой схеме приема глюкокортикоидов. Гормоны следует использовать, если в период 3—6 месяцев не исчезают аномалии на рентгенограммах органов грудной клетки. При гормональном лечении рекомендуется диета с повышенным содержанием белка и ограничение в употреблении поваренной соли.
При проведении комбинированной схемы лечения – полугодовой курс Преднизолона (Дексаметазона) чередуют с нестероидной терапией Диклофенаком или Индометацином, обязательно прописывают прием витамина Е.
Больные с таким заболеванием подразделяются на 2 диспансерные группы:
- I группа – пациенты с активным саркоидозом, эта группа подразделяется на две подгруппы: IА – диагноз первичный, IБ – пациенты с рецидивами;
- II группа – больные с неактивным саркоидозом.
При благоприятном развитии саркоидоза диспансерский учет длится 2 года, в запущенных случаях – 3-5 лет. По излечению пациентов снимают с учета.
Если заболевание в активной хронической форме с острым прогрессирующим течением, то лечение проводят в стационаре, где есть саркоидозный кабинет, в виде терапии, которая направлена на купирование симптоматики и предупреждения рецидива.

В особо тяжелых случаях могут применить трансплантацию пораженного органа.
Часто случается спонтанная ремиссия заболевания, и за этими пациентами устанавливается наблюдение, которое длится до полугода и больше для определения точного пути развития болезни и надобности в назначении специфического лечения.
Лечение народными способами
Использование народных средств при саркоидозе допустимо в качестве дополнительного лечения. Как самостоятельный способ лечения народные методы в медицине не допускаются.
Для укрепления организма надо использовать чаи из отваров лекарственных трав: календулы, душицы, ромашки, плодов шиповника.
Кроме этого применяют для лечения барсучий жир. Некоторые народные целители рекомендуют париться в бане с настоями трав (только без особого экстрима). Умеренные занятия спортом, дыхательная гимнастика, физиотерапия (массаж) – все, что способствует расслаблению, показано при этом заболевании.
Любому заболеванию противопоказан стресс, поэтому менять климат, чтобы погреться на солнце и искупаться на море, не советуют, а вот если вы живете не в дождливой Москве, а в солнечном Сочи, то умеренное пребывание на солнце не страшно, так это не будет стрессом для организма.
Питание при саркоидозе легких
Повышению эффективности медикаментозного лечения способствует правильное питание, особенно это важно при приеме стероидных препаратов. Основной рацион пациента должны составлять продукты, которые содержат углеводы и кальций, так употребление подобных продуктов осложняет течение заболевания.
Основными продуктами во время диеты должны быть крупы, овощи, ягоды, фрукты и нежирное мясо.
Видео по теме:
https://youtube.com/watch?v=WEhXYZlWdt8
Прогноз жизни
Это заболевание характеризуется доброкачественным течением заболевания. Сколько живут с таким диагнозам? Возможность ремиссии составляет около 70%. У большинства больных болезнь может протекать без клинических симптомов, у 30 % пациентов — перейти в ремиссию. Хроническая форма может обнаружиться у 10-30% пациентов. Поражение глаз может провести к слепоте. Иногда в случае генерализованного невылеченного саркоидоза бывает смертельный исход (около 5%).
Профилактика саркоидоза легких
Специфические профилактические меры не выработаны. Неспецифическая профилактика заболевания состоит в уменьшении воздействия на организм у пациентов, входящих в группы риска, а также следует уделить внимание повышению иммунитета.
Вопрос-ответ
Какой врач лечит болезнь саркоидоз?
Подобное заболевание лечит врач-пульманолог или саркоидолог.
Дают ли инвалидность при диагнозе саркоидоз легких?
Да, эта болезнь входит в список болезней, при которых дают инвалидность.
Советы
СОВЕТ №1
Изучите симптомы саркоидоза легких, такие как кашель, одышка и усталость. Это поможет вам своевременно обратиться к врачу для диагностики и лечения.
СОВЕТ №2
Регулярно проходите медицинские обследования, особенно если у вас есть предрасположенность к заболеваниям легких. Раннее выявление саркоидоза может значительно улучшить прогноз.
СОВЕТ №3
Обсудите с врачом возможные методы лечения и контроля заболевания, включая медикаментозную терапию и изменения в образе жизни, такие как отказ от курения и поддержание здорового питания.
СОВЕТ №4
Присоединяйтесь к группам поддержки или форумам, где люди делятся своим опытом борьбы с саркоидозом. Это может помочь вам получить полезные советы и моральную поддержку.