Эпендимома – это опухоль центральной нервной системы. Так как такие новообразования формируются непосредственно в ЦНС, их называют ещё первичными опухолями. Эпендимомы бывают чаще доброкачественными, чем злокачественными и образуются из-за мутаций эпендимных клеток. Эпендимные клетки (эпендима) – это эпителиальные клетки тонкой мембраны, которая выстилает центральный канал спинного мозга и стенки желудочков головного мозга.

Код по МКБ-10:
D-33 – доброкачественное новообразование головного мозга и других отделов ЦНС;
D-43 – новообразование неопределённого или неизвестного характера головного мозга и ЦНС.
Важно! Даже доброкачественная опухоль может представлять опасность для жизни в том случае, если она сдавливает участки мозга, регулирующие жизненно необходимые функции организма. Поэтому при появлении подозрительных симптомов необходимо сразу обратиться к врачу.
Причины образования
Точных предпосылок, из-за которых начинают развиваться эпендимомы, до настоящего времени учёными не выявлено. Но большинство исследователей считают, что эти опухоли полиэтиологического происхождения, то есть, вызваны различными причинами, такими как:
- наследственная предрасположенность;
- влияние химических препаратов и лекарственных средств;
- солнечная и ионизирующая радиация;
- травмы органов ЦНС;
- воздействие онкогенных вирусов (вирус папилломы человека, герпеса и прочее);
- курение и злоупотребление алкоголем.

Эпендимомы встречаются чаще всего в детском возрасте, причём большинство заболевших детей младше 5-летнего возраста. Также, именно в детском возрасте чаще диагностируются злокачественные виды эпендимомы. Подобные опухоли могут возникать, если мозг ребёнка подвергали облучению во время лечения рака глаза или острого лейкоза. У детей с нейрофиброматозом имеется большой риск возникновения эпендимомы в позвоночнике. Отмечено, что девочки заболевают намного реже, чем мальчики.
Эпендимома — это опухоль, возникающая из эпендимальных клеток, которые выстилают желудочки мозга и центральный канал спинного мозга. Врачи отмечают, что данное заболевание чаще всего диагностируется у детей и молодых людей, однако может возникать и у взрослых. Симптоматика эпендимомы зависит от ее локализации и может включать головные боли, нарушения координации, изменения в зрении и слухе. Специалисты подчеркивают важность ранней диагностики, так как это значительно повышает шансы на успешное лечение. Лечение может включать хирургическое вмешательство, радиотерапию и химиотерапию. Врачи также акцентируют внимание на необходимости регулярного наблюдения за пациентами после лечения, так как существует риск рецидива.

Разновидности эпендимомы
Современная классификация подразделяет эпендимомы на четыре разновидности, которые отличаются уровнем доброкачественности и особенностями развития:
- миксопапиллярная (папиллярная) эпендимома – доброкачественное новообразование, находится в области конуса спинного мозга (так называемого конского хвоста), наблюдается в основном у взрослых пациентов. Ткани подобных опухолей отличаются слизистой дистрофией и формированием слизистых кист. Имеют 1 степень злокачественности, что означает медленный рост, отсутствие метастазов и чувствительность к лечению;
- субэпендимома – формируется из субэпендимальной глии, имеет форму узла, почти всегда расположена в желудочковой системе мозга. Характеризуется медленным доброкачественным развитием, в частых случаях имеет бессимптомное течение, редко рецидивирует, имеет 1 степень злокачественности;
- классическая эпендимома – встречается чаще всего, имеет локализацию в желудочках головного мозга. Нередко становится причиной окклюзии ликворных путей, даёт рецидивы, имеет способность к трансформации в анапластическую эпендимому. Обладает 2 степенью злокачественности;
- анапластическая эпендимома – выделяется очень быстрым ростом и метастазированием. Имеет названия-синонимы: эпендимобластома, недифференцированная эпендимома, злокачественная эпендимома. Обладает 3 степенью злокачественности.
По местонахождению эпендимомы подразделяются на 2 вида:
- супратенториальные – находящиеся над мозжечковым намётом. Эпендимомы растут подобно глиомам (от которых мало отличаются) вне желудочков больших полушарий головного мозга. Имеют форму узла и имеют мелкобугристую или гладкую поверхность. В некоторых случаях достигают значительных размеров и заполняют резко расширенные полости желудочков.
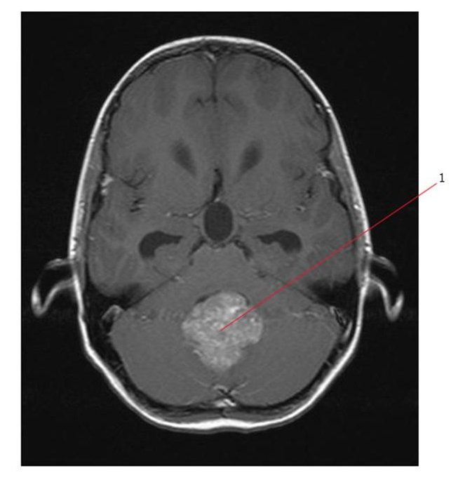
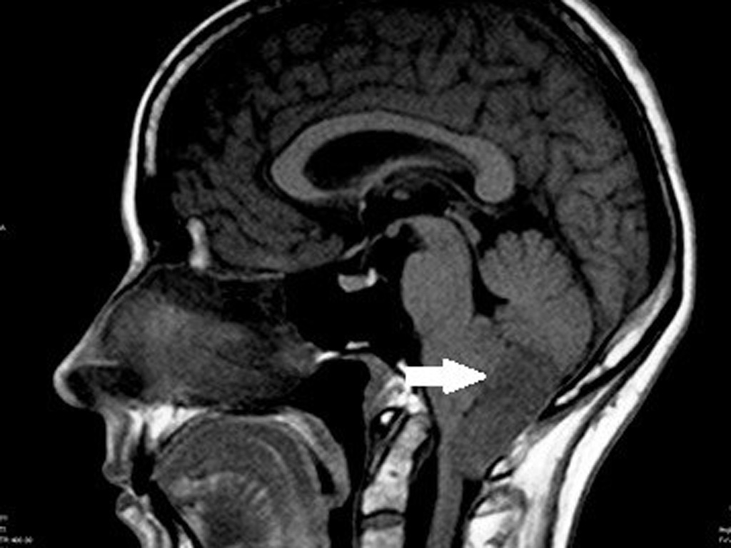
- инфратенториальные (субтенториальные) – расположенные в задней черепной ямке (Зчя), задней области головного мозга, где находятся мозжечок, ствол мозга и четвёртый желудочек.
Симптомы
Симптомы эпендимомы зависят во многом от её локализации. В случае инфратенториального расположения (например, опухоль находится в 4 желудочке), проявления болезни бывают особенно тяжёлыми.
Основные симптомы:
- сильная головная боль, головокружение;
- сбои координации движения, изменение походки и почерка;
- вялость, общая слабость;
- плохой аппетит;
- тошнота с позывами к рвоте;
- ухудшение памяти, внимания;
- изменение характера, резкая смена настроений, немотивированная раздражительность;
- потеря остроты зрения, туман перед глазами;
- приступы судорог, онемение конечностей;
- затруднение глотания.
Специфические проявления указывают на то, где именно расположена опухоль и нормальной работе каких органов она мешает. Если эпендимома локализована в области мозжечка, то может нарушиться равновесие и походка. В случае если опухоль расположена в большом мозге, то возможны судорожные приступы. А если она находится в области спинного мозга, то парализуется какая-либо часть организма. Также могут проявляться нарушения функции черепных нервов, таких как потеря обоняния, онемение лица, сбои в пищеварительной системе, искажение психики и мыслительных процессов, гормональные нарушения и так далее. Возможно появление перитуморального (околоопухолевого) отёка, имеющего форму конуса, направленного основанием в сторону опухоли.
: рак головного мозга — симптомы на ранних стадиях
Эпендимома — это редкий тип опухоли, который возникает из клеток эпендимы, выстилающих желудочки мозга и центральный канал спинного мозга. Люди, столкнувшиеся с этой болезнью, часто делятся своими переживаниями о диагностике и лечении. Многие отмечают, что симптомы могут быть неочевидными, включая головные боли, тошноту и проблемы с координацией. Это затрудняет раннее выявление. Обсуждая лечение, пациенты упоминают о хирургическом вмешательстве, радиотерапии и химиотерапии, которые могут быть необходимы в зависимости от стадии заболевания. Важно, что поддержка близких и профессионалов играет ключевую роль в процессе восстановления. Несмотря на сложности, многие находят надежду в успешных историях других людей, преодолевших эту болезнь.

Диагностика
Для диагностики эпендимомы в первую очередь необходима консультация невролога. Подробно изучается анамнез, проводится комплексный осмотр и проверяются рефлексы. После этого назначаются анализы и исследования, такие как:
- МРТ – особенно информативно при обследовании головного мозга. Снимки помогают уточнить размер, структуру и форму новообразования, выяснить состояние сосудов. МРТ безопасно для детей благодаря отсутствию излучения;
- КТ – выявляет очаг патологии и обследует другие органы на наличие метастазов;
- электроэнцефалография – исследует функциональное состояние головного мозга;
- офтальмоскопия — обследуется глазное дно, оценивается состояние зрительного нерва, сетчатки, сосудистой оболочки;
- нейросонография — ультразвуковое исследование головного мозга у новорожденных детей, проводится через большой родничок при подозрениях на патологии головного мозга;
- ангиография – исследование кровеносных сосудов с помощью контрастного вещества;
- люмбальная пункция – исследование методом прокола поясницы для забора спинномозговой жидкости;
- УЗИ – помогает определить симптомы смещения срединных структур мозга;
- стереотаксическая биопсия – хирургическое вмешательство с целью получения фрагментов тканей опухоли для гистологического исследования.
При диагностике эпендимому необходимо дифференцировать с субэпендимарной астроцитомой (самой распространённой опухолью в головном мозге, разновидностью глиомы) и невриномой (доброкачественной опухолью с локализацией в области конского хвоста).
Лечение
Для того, чтобы выбрать тот или иной способ лечения эпендимомы, необходимо учитывать многие факторы: возраст пациента, где сформировалась опухоль (в головном или спинном мозге), тип опухоли, проросла ли опухоль в прилегающие ткани, имеются ли метастазы. Лечение подобных новообразований чаще всего комбинированное — хирургическая операция совмещённая с лучевой терапией. Химиотерапия малоэффективна при эпендимоме, и применяют её очень редко для продления жизни пациентов с рецидивами.
Важно! Успешность лечения в Израиле эпендимомы, глиомы, равно как и других видов опухолей мозга, зависит от своевременной и правильной диагностики. Если лечение начинается на ранней стадии развития опухоли – вероятность успеха увеличивается на 60-80%.
Самым оптимальным методом лечения эпендимомы считается хирургическая операция. Проводится трепанация черепа (вскрывается черепная коробка) для получения доступа к новообразованию, после чего опухоль иссекается. Удаление опухоли не даёт гарантии полного уничтожения опухолевых клеток в мозге, поэтому операция совмещается с лучевой терапией.
Лучевая терапия может быть применима как до оперативного вмешательства (неоадъювантная лучевая терапия, для того, чтобы уменьшить размер новообразования), так и после него, для уничтожения оставшихся опухолевых клеток. В случаях, когда оперировать эпендимому нельзя по каким-либо причинам (опухоль находится в труднодоступном месте, большая вероятность осложнений, тяжёлое состояние больного) единственным методом лечения эпендимомы становится лучевая терапия. Области спинного или головного мозга облучаются пучком радиации. Это останавливает рост и даже немного уменьшает размер опухоли. На сегодняшний день в онкологии используют несколько видов лучевой терапии: конформная, протоновая и другие. Побочными явлениями лучевой терапии являются головные боли, риск лучевого дерматита, выпадение волос на облучённой области головы.
В современной медицине появился ещё один вид лучевой терапии – радиохирургия. Этот метод основан на том, что опухоль облучается пучками радиации со всех сторон. Пучок всё время воздействует на эпендимому, но проходит каждый раз через разные отделы мозга. Это существенно уменьшает влияние радиации на здоровые ткани. Вся доза радиации направляется непосредственно на новообразование. Методами радиохирургии являются:
- кибер-нож;
- гамма-нож;
- новалис.
Радиохирургия – самый щадящий метод лечения эпендимомы. Не делаются никакие разрезы и трепанации, не бывает таких последствий, как после операции. Сеансы лучевой терапии и радиохирургии безболезненны. Больной может сразу пойти домой после облучения. Курс радиохирургии проводится в течение нескольких недель. Это хорошая альтернатива хирургическому вмешательству при неоперабельных новообразованиях.
Помните! Даже после успешного проведённого лечения необходимо регулярно проходить осмотры специалистов и обследования, для того чтобы обнаружить те или иные возможные патологии.

Прогноз
Прогноз длительности жизни пациентов с эпендимомой напрямую зависит от своевременности обнаружения и лечения, степени злокачественности и стадии развития новообразования. По статистике, 5-летнего рубежа выживаемости после лечения достигают более 50% больных. Летальность после операции – около 10%.
Отрицательными факторами для прогноза являются:
- возраст младше 5 лет – у детей в таком возрасте 5-летняя выживаемость около 25%;
- локализация новообразования в задней черепной ямке;
- анапластическая разновидность эпендимомы;
- частичное удаление опухоли во время операции.
Положительными факторами прогноза считаются:
- образование эпендимомы у взрослых людей, в этой группе 5-летняя выживаемость 75%;
- супратенториальная локализация опухоли (над намётом мозжечка);
- отсутствие анаплазии;
- полное удаление опухоли во время операции.
Последствия эпендимомы
Оттого, что эпендимомы очень часто появляются у детей в раннем возрасте, а лечение проводится в периоды, имеющие большое значение для развития ребёнка, могут появляться осложнения даже после успешно проведённого лечения. Возможны затруднения с координацией движений, поведенческие изменения, различные нарушения психики. Могут возникнуть задержки в росте и развитии ребёнка, возникают трудности с обучением. Также могут понизиться зрение и слух.
Основные осложнения, которые могут появиться после операции:
- понижение трудоспособности или полное её отсутствие;
- быстрая утомляемость;
- предрасположенность к депрессии;
- расстройства слуха и речи;
- изменённое восприятие окружения;
- появление судорог;
- гидроцефалия (чрезмерное накопление в головном мозге жидкости, водянка).
В случаях, если наблюдаются какие-либо осложнения после лечения или операции, назначают специальную восстановительную терапию. Всем пациентам после лечения эпендимомы необходимо в течение длительного времени обследоваться у онколога.
Вопрос-ответ
Эпендимома доброкачественная или злокачественная?
Эпендимома — злокачественное новообразование головного и спинного мозга, которое чаще встречается у детей, чем у взрослых. Такие опухоли вырастают в центральной нервной системе из-за мутации клеток.
Что такое эпендимома простыми словами?
Эпендимома — это опухоль головного и спинного мозга. Она является третьей по распространенности злокачественной опухолью головного мозга у детей. В США ежегодно регистрируется 200 новых случаев эпендимомы у детей. Чаще всего эпендимомы возникают у детей младше 5 лет, однако они могут развиваться в любом возрасте.
Советы
СОВЕТ №1
Обратитесь к специалисту. Если у вас или у ваших близких есть симптомы, которые могут указывать на эпендимому, такие как головные боли, изменения в зрении или координации, не откладывайте визит к врачу. Ранняя диагностика может существенно повлиять на исход лечения.
СОВЕТ №2
Изучите информацию о заболевании. Понимание природы эпендимомы, ее типов и методов лечения поможет вам лучше подготовиться к разговору с врачом и принимать обоснованные решения о лечении.
СОВЕТ №3
Поддерживайте эмоциональное здоровье. Заболевание может вызывать стресс и тревогу. Рассмотрите возможность обращения к психологу или участия в группах поддержки, чтобы поделиться своими переживаниями и получить помощь от людей, которые сталкиваются с подобными проблемами.
СОВЕТ №4
Следите за новыми исследованиями и методами лечения. Научные исследования в области онкологии постоянно развиваются, и новые методы лечения могут появляться. Подписывайтесь на медицинские журналы или ресурсы, чтобы быть в курсе последних новостей.

