Кавернома или кавернозная ангиома головного мозга является опухолью, которая не связана с общим кровотоком. Обнаружить ее можно в любой области головного мозга: чаще всего – в коре больших полушарий, также в таламусе, мозолистом теле, стволе мозга, желудочках мозга.
Что такое кавернома головного мозга
Кавернома (сосудистая мальформация) является доброкачественной опухолью. При нажатии она эластичная и мягкая, сначала исчезает, но вскоре принимает первоначальную форму.
Важно! Кавернозная ангиома может кровоточить, что впоследствии может вызвать инфицирование.
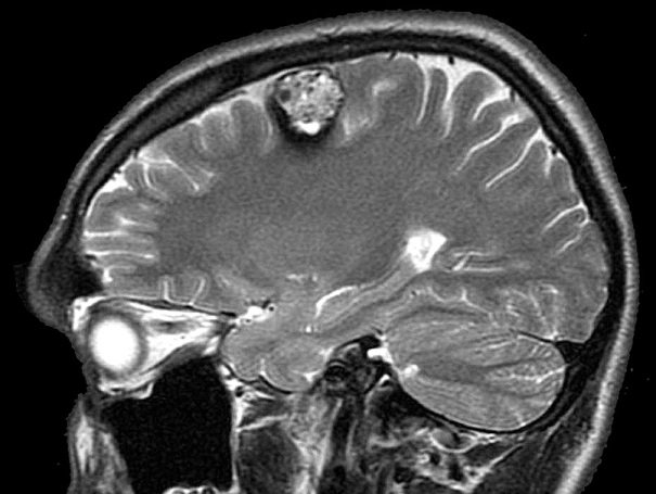
Кавернома (код по Мкб 10 – D33) представляет собой мозговое новообразование в виде сосудистых полостей (каверн), в которых находятся воздух или продукты распада крови. Эти продукты распада состоят из тромбов, соединительной ткани и т.д. Величина каверном и число их может быть различным – несколько новообразований могут прилегать вплотную одна к другой или находиться на некотором отдалении друг от друга. Кавернозная ангиома имеет шишковатую поверхность синюшного цвета разнородной структуры, у опухоли есть четкие границы, отграничивающие ее от остальных тканей, чаще всего она округлой формы. Перегородки между полостями состоят из волокнистой плотной ткани. Размеры каверномы могут быть различны – от совсем маленьких до нескольких сантиметров в диаметре.
Множественные кавернообразования встречаются в 10-15 % случаев. Такие каверномы имеют предрасположенность к частым кровоизлияниям, и мозговое вещество, которое их окружает, вследствие этого становится желтоватого цвета.
Кавернома локализуется в области головы и шеи, поражает головной и спинной мозг. Такая патология возникает из-за генетической мутации во время внутриутробного развития, когда происходит нарушение закладки участков нервной системы. Наличие каверномы ведет к потере человеком способности социально адаптироваться.
Врачи отмечают, что каверномы головного и спинного мозга представляют собой сосудистые аномалии, которые могут вызывать разнообразные неврологические симптомы. Специалисты подчеркивают, что многие пациенты остаются бессимптомными на протяжении долгого времени, что затрудняет диагностику. Однако при наличии симптомов, таких как головные боли, судороги или неврологические дефициты, важно провести тщательное обследование. Врачи рекомендуют использовать магнитно-резонансную томографию для точной визуализации каверномы и оценки ее размера и расположения. Лечение может варьироваться от наблюдения до хирургического вмешательства, в зависимости от клинической ситуации. Важно, чтобы пациенты получали индивидуальный подход и консультации опытных специалистов для выбора оптимальной стратегии лечения.

Причины появления каверномы
Обычно кавернозная ангиома считается врожденным новообразованием. В период внутриутробного вынашивания происходит нарушение структурно-функционального преобразования клеток ткани. Причина может крыться в травме мягких тканей, которая дает толчок для начала формирования опухоли — каверномы.
Другими провоцирующими факторами считаются:
- инфекционные патологии в период вынашивания ребенка;
- трудные или преждевременные роды;
- многоплодная или поздняя беременность;
- родовые травмы, плацентарные патологии;
- вредные привычки беременной (курение, алкоголизм, употребление наркотиков);
- тяжелая интоксикация;
- плохая экология;
- радиационное облучение.
Симптомы каверномы
Кавернома часто протекает бессимптомно, и пациента ничего не беспокоит. В таких случаях ее могут обнаружить при профилактическом осмотре.
На заметку! Появляющаяся симптоматика зависит от месторасположения и размера опухоли. Чем больше размеры опухоли, тем ярче выражены симптомы.
Ярко выраженные симптомы присутствия каверномы наблюдаются у пациентов с опухолью в стволе головного мозга, его лобной доли или височных долях (правой или левой):
- постоянные головные боли;
- судороги;
- эпилептический синдром;
- рвота;
- нарушение чувствительности;
- шаткая походка, нарушение координации движения;
- потеря остроты слуха, звон и шум в ушах;
- расстройство зрения, памяти, внимания;
- снижение умственных способностей;
- паралич.
При сильных головных болях есть высокий риск (4-23%) разрыва стенки каверномы и последующего кровоизлияния. Если кровоизлияние возникает повторно (рецидив), то в 30% случаев оно ведет к инвалидности пациента.
Кавернома головного и спинного мозга — это сосудистые образования, которые вызывают много вопросов и обсуждений среди пациентов и специалистов. Многие люди, узнав о наличии каверномы, испытывают страх и неопределенность. Некоторые отмечают, что это состояние может протекать бессимптомно, что порой вызывает недоумение: как такое образование может не проявляться? Другие же делятся историями о головных болях, судорогах и других неврологических симптомах, которые заставляют их искать медицинскую помощь.
Врачи подчеркивают важность регулярного наблюдения и диагностики, так как каверномы могут изменяться со временем. Обсуждения в интернет-сообществах часто касаются методов лечения: от наблюдения до хирургического вмешательства. Люди делятся опытом, как они справляются с диагнозом, и находят поддержку в общении с теми, кто сталкивается с аналогичными проблемами. В целом, отношение к каверномам варьируется от тревоги до оптимизма, и каждый случай уникален.

Симптоматика, связанная с месторасположением каверномы
Некоторые симптомы заболевания характеризуются локализацией мальформации:
| Месторасположение опухоли | Симптомы |
|---|---|
| Лобная доля | Сложность с контролем психоэмоционального состояния, проблемы с социальной адаптацией, памятью и моторикой рук (становится неразборчивым почерк, начинаются непроизвольные подергивания конечностей) |
| Левая височная доля | Речевые и слуховые расстройства. Человеком трудно воспринимается чужая речь, информация, которую он получает, не усваивается, при разговоре он часто воспроизводит одни и те же фразы |
| Правая височная доля | Возникают сложности с анализом шумов и звуков. Человек испытывает сложность с узнаванием голосов даже знакомых людей |
| Теменная область | Происходят интеллектуальные расстройства – пациент не может решать простые математические задачи, происходит утрата логического, технического мышления |
| Мозжечок | Теряется внятность речи, возникают судороги, появляется «пьяная» походка. Пациент неправильно держит голову, принимает неадекватные позы |
| Правая лобная доля | Возникает гиперактивность. Человек излишне эмоционален, много говорит и создает впечатление неадекватного. Если из полостей носа в мозговую область распространяются инфекционные заболевания – возникает тромбозная ангиома (симптомы: увеличение температуры, повышенное потоотделение, жар) |
Последствия заболевания
Наличие каверномы вызывает последствия, связанные, прежде всего, с неврологическими расстройствами и очаговыми поражениями головного мозга. Новообразование растет, сдавливая вещество мозга, и начинают проявляться описанные выше симптомы. После произошедшего кровоизлияния мозговое вещество пропитывается гемосидерином и другими продуктами обмена, результатом является отключение некоторых функций. При повреждении лобной доли пациент теряет практические навыки, не может критически оценивать себя и окружающих. При поражении правой или левой височных долей могут происходить выпадение полей зрения (гемианопсия), нарушение работы органов слуха, нарушается способность произносить слова (афазии). Если поражение произошло не в доминантной области височной доли – характерно развитие психических расстройств.
Если диагностирование каверномы произошло на позднем этапе развития, когда начался воспалительный процесс или дистрофические трансформации, то могут наблюдаться такие осложнения:
- кровоизлияния;
- нарушение мозгового кровообращения;
- разрыв сосудов и нарушение местного кровотока;
- увеличение сосудистых скоплений и каверн;
- смерть.

Диагностика каверномы
Данная патология диагностируется с помощью следующих исследований:
- КТ;
- МРТ помогает установить наличие каверн в спинномозговой и головномозговой структурах;
- ЭЭГ;
- функционально магнитно-резонансная томография;
- ангиография – для обследования сосудов, выявления их состояния и обнаружения патологии;
- развернутый анализ крови – для обнаружения воспалительного процесса;
- исследование спинномозговой жидкости для выявления наличия кровоизлияния.
Противопоказания при каверноме
Для лечения такой патологии не допускается применение народных средств для лечения – это повышает риск возникновения кровоизлияния или разрыва сосудов. Также при каверноме под запретом находятся различные физиотерапевтические процедуры, массажи, прогревания – то, что стимулирует кровообращение.
Лечение каверномы
Кавернозная ангиома не поддается медикаментозному лечению. Требуется хирургическое вмешательство – опухоль желательно удалить. Но иногда из-за своего местоположения это не представляется возможным. Также операцию могут не проводить, если пациент против операции, так как она ему не причиняет неудобств. Операцию не проводят, но риски остаются, и пациент находится под наблюдением невролога.
При наличии эпилептических приступов проводится терапия антиконвульсантами, но рекомендуется операция по удалению опухоли.
Операция по удалению новообразования обязательна, если:
- опухоль провоцирует судороги и эпилептические припадки;
- находится близко к жизненно важным областям;
- провоцирует неоднократные кровоизлияния и неврологические нарушения;
- находится в функционально значимой зоне.
При этом учитываются такие показатели, как: возраст и общее состояние здоровья пациента, наличие сопутствующих заболеваний, размер и форма опухоли и другие.
Если удаление опухоли невозможно хирургическим путем, есть другие методы удаления, кроме традиционной:
- радиохирургия — гамма-нож (кибер-нож). Применяют в случае труднодоступного расположения новообразования. Риск кровоизлияния при этом отсутствует, опухоль устраняется полностью;
- лазеротерапия. Используют для удаления поверхностных каверном. Риск возникновения кровотечения и рубцевания – минимальный;
- диатермокоагуляция показана, если опухоль небольшого размера и большой риск кровотечения. Прижигание проводят переменным током;
- криолечение. Удаление жидким азотом используют для удаления поверхностных опухолей.
Кроме этих способов могут применяться:
- гормональная терапия. Применяется при быстрорастущей опухоли, этим методом добиваются остановки ее роста или регрессии;
- склеротерапия – введение склерозирующих препаратов в каверну, из-за чего ее клетки склеиваются, размеры уменьшаются.
В каждом случае решение использовать тот или иной способ для удаления новообразования принимается индивидуально.
После операции по удалению каверномы обязательно проводятся сеансы восстановительных процедур, чтобы как можно раньше ввести пациента в обычную жизнь и избежать инвалидности. Для каждого пациента составляется индивидуальная реабилитационная программа в соответствии с его потребностями.
Прогноз заболевания
Удаление каверномы при ее прогрессировании в течение 6 месяцев имеет лучший прогноз – у 70% пациентов прекращаются кровоизлияния, у 55 % с эпилептическим синдромом приступы уменьшаются или исчезают совсем.
Если заболевание выявлено до возникновения осложнений – прогнозы положительные, а после операции и курса реабилитации он возвращается в привычную жизнь.
Так как заболевание, в основном, является врожденным, то профилактические меры невозможны. Можно лишь избежать последствий после операции, вовремя начав курс реабилитации.
Вопросы посетителей:
У меня диагностировали каверному в теменной области. Она меня никак не беспокоит, но врач рекомендует удалить. Могу ли я отказаться от операции?
Если врач рекомендует удаление опухоли, возможно, у него есть веские основания для этого: размер опухоли, быстрый рост новообразования.
Отзывы
После того, как без видимых причин стала страдать забывчивостью, возникли проблемы с письмом (почерк стал неразборчивым, чего раньше не наблюдалось), – обратилась к врачу, который поставил диагноз кавернома. Провели операцию, потом прошла реабилитационный курс. Теперь иду на поправку. Хорошо, что вовремя спохватилась.
Вопрос-ответ
Является ли кавернома опухолью головного мозга?
Является ли кавернома опухолью головного мозга? Кавернозные мальформации представляют собой кровеносные сосуды неправильной формы. В отличие от раковых опухолей головного мозга, они не состоят из быстро делящихся клеток и не распространяются на другие части тела. Несмотря на то, что они не считаются опухолями, около 20% новообразований развиваются в стволе мозга.
Нужно ли удалять каверному головного мозга?
Из-за существенного риска разрыва стенок новообразования рекомендуется операция по удалению каверномы. Современные медицинские технологии и оборудование позволяют проводить микрохирургические вмешательства с минимальным риском повреждения окружающих структур головного мозга.
Советы
СОВЕТ №1
Обязательно проконсультируйтесь с нейрохирургом или неврологом, если у вас есть подозрения на каверномы. Ранняя диагностика и профессиональная оценка состояния могут существенно повлиять на выбор метода лечения и прогноз.
СОВЕТ №2
Следите за своим состоянием и обращайте внимание на любые изменения в здоровье, такие как головные боли, судороги или неврологические симптомы. Ведение дневника симптомов может помочь врачу лучше понять вашу ситуацию.
СОВЕТ №3
Изучите доступные методы лечения каверном, включая наблюдение, медикаментозную терапию и хирургическое вмешательство. Понимание различных подходов поможет вам принимать более обоснованные решения вместе с вашим врачом.
СОВЕТ №4
Поддерживайте здоровый образ жизни, включая регулярные физические упражнения и сбалансированное питание. Это может помочь улучшить общее состояние здоровья и снизить риск осложнений, связанных с каверномами.





