Патология, поражающая соединительную ткань, покрывающую все органы кроветворной системы и компоненты лимфоидной ткани, называется лимфосаркомой. Она является злокачественной опухолью, которая формируется из ретикулярных клеток.
Что такое лимфосаркома, клиническая картина заболевания
Лимфосаркома (код по Мкб 10 – С85.0) — это одна из коварных форм рака, – на ранних стадиях заболевание протекает почти бессимптомно, а опухоль стремительно растет.
Лимфосаркома состоит из аномально трансформированных клеток лимфоткани. Это говорит о том, что она может возникнуть на любом органе, включая костные структуры. Клетки лимфосаркомы внешне похожи на нормальные ретикулярные клетки, но гистохимический анализ показывает в этих тканях в большом количестве аргирофильные волокна.
Лимфосаркома (лимфоцитарная лимфома, лимфобластома) второй по частоте вид гемобластозов – опухолей кроветворной и лимфосистем. Она относится к группе злокачественных неходжкинских лимфом. Формируются лимфосаркомы из Т- и В-клеточных лимфобластов или пролимфоцитов.
Особенности лимфосаркомы – это раннее метастазирование и способность инфильтрировать ткани возле первичного очага и близлежащие органы.
Первоначально лимфосаркома формируется в лимфоузле или отдельном органе, после опухолевые клетки перемещаются по лимфотоку или кровотоку, оседая в прочих органах. Развивается генерализация процесса, формируются вторичные опухоли.
Это заболевание может диагностироваться в любом возрасте – оно достаточно распространено и у пожилых людей, и у детей. Статистика заболеваемости детей говорит, что мальчики чаще страдают от этого заболевания, чем девочки того же возраста.
Видео по теме:
https://youtube.com/watch?v=OHxgICtDpHc
Врачи отмечают, что лимфосаркома, являясь одной из форм лимфомы, представляет собой злокачественное новообразование, возникающее из лимфатической ткани. Основные причины ее развития до конца не изучены, однако генетические факторы, воздействие радиации и определенные вирусные инфекции, такие как вирус Эпштейна-Барра, могут играть значительную роль. Классификация лимфосаркомы включает несколько подтипов, среди которых наиболее распространены диффузная крупноклеточная лимфома и фолликулярная лимфома. Лечение заболевания зависит от стадии и типа опухоли. Врачи часто применяют комбинацию химиотерапии, радиотерапии и, в некоторых случаях, иммунотерапии. Раннее выявление и комплексный подход к лечению значительно повышают шансы на успешное выздоровление.

Формы и стадии лимфосаркомы
Симптомы болезни зависят от типа заболевания, который определяется по виду роста аномальных клеток, и от стадии.
Чаще всего встречается диффузная лимфосаркома, характерным признаком которой является присутствие отдельно расположенных пластов, не образующих структурный элемент. Очаги опухолевого процесса могут располагаться на разных участках соединительной ткани, их местоположение носит хаотичный характер. Эта форма заболевания имеет более агрессивный вид течения и плохой прогноз.
Реже встречается нодулярный вид опухоли. Эта форма заболевания имеет очаговое распространение.
Диффузная форма лимфосаркомы имеет такую классификацию лимфоидных опухолей по гистологическому типу, как:
- лимфоцитарная;
- пролимфоцитарная;
- модулярная (фолликулярная лимфома);
- иммунобластная;
- лимфома Бёркитта;
- лимфоплазмоцитарная;
- лимфобластная.
Также лимфосаркомы можно разделить на крупноклеточные и мелкоклеточные в зависимости от их структуры.
Классифицирование лимфосарком также происходит в зависимости от стадии опухолевого процесса:
1 стадия – опухоль в одном лимфоузле или группе лимфоузлов;
2 стадия (регионарная) – опухолевый процесс начинает развиваться в двух и более лимфоузлах, которые расположены на одной стороне диафрагмы;
3 (генерализованная) — в раковый процесс вовлекаются лимфоузлы, которые расположены по разные стороны диафрагмы, и один из органов, находящийся вне пораженной лимфоткани;
4 стадия (диссеминированная) – метастазы распространяются на селезенку и прочие органы.
Вместе со стадией обычно указывают категорию А или В, в зависимости от симптоматики:
А – характерных симптомов нет;
В – наблюдаются температура и потливость, может возникать сильное снижение веса.
Причины появления заболевания
Точные причины возникновения лимфосаркомы не установлены, но имеются факторы, которые могут повлиять на возникновение мутаций в лимфоцитах.
К ним относятся:
- влияние специфических вирусов (Эпштейна-Барра, Т-клеточного лейкоза, Хеликобактер пилори и другие);
- генетические отклонения в строении хромосом (синдромы Вискотта-Олдрича, Клайнфельтера, Чедиака-Хигаси, вариабельное иммунодефицитное состояние);
- продолжительное угнетение иммунной системы (лимфомы могут возникнуть при гипогаммаглобулинемии, ятрогенной иммуносупрессии, ВИЧ-инфекции);
- аутоиммунные заболевания (целиакия, системная красная волчанка, ревматоидный артрит, синдром Шегрена);
- облучения радиацией.
В сочетании с хроническими воспалительными заболеваниями, плохой экологией, неправильном питанием, влиянием канцерогенов, курением и прочим, лимфоциты могут превратиться в раковые и начать воспроизводить подобные клетки, формируя опухоль.
Лимфосаркома — это злокачественная опухоль, возникающая из лимфатической ткани. Люди часто обсуждают причины ее возникновения, среди которых генетическая предрасположенность, воздействие химических веществ и вирусные инфекции. Классификация лимфосаркомы включает несколько типов, таких как лимфома Ходжкина и неходжкинские лимфомы, каждая из которых имеет свои особенности и подходы к лечению.
Мнения о лечении варьируются: некоторые пациенты положительно отзываются о химиотерапии и радиотерапии, отмечая их эффективность, в то время как другие сталкиваются с тяжелыми побочными эффектами. Иммунотерапия и таргетная терапия также становятся все более популярными, предлагая новые надежды на выздоровление. Важно, чтобы пациенты получали индивидуальный подход и поддержку, так как борьба с лимфосаркомой требует не только медицинских, но и психологических усилий.

Симптомы лимфосаркомы
На первых стадиях у заболевания нет специфических признаков. Часто первым признаком болезни является увеличение размеров периферических лимфоузлов, что присуще большинству воспалительных заболеваний. Специфичностью этого вида лимфом считается поражение локтевых, затылочных, подбородочных областей. У других видов заболеваний новообразования развиваются в подмышечных, шейных, забрюшинных, паховых лимфоузлах. При пальпации обычно боли не наблюдается, даже при наличии больших опухолей.
Общим признаком лимфосарком бывает слабость и повышенная температура. Она может меняться от 37-37,3 до 39-40 в разные периоды заболевания.
Другие симптомы:
- резкая и внушительная потеря веса за короткий срок;
- сильное потоотделение по ночам;
- потеря аппетита;
- головные боли;
- кожный зуд.
Важно знать! Из-за снижения иммунитета могут присоединяться вторичные инфекции. Пациент легко заражается вирусами и чувствителен бактериям, которые ведут к тяжелым осложнениям.
У каждого вида опухолей есть своя симптоматика.
Симптоматика лимфосаркомы при разной локализации
Лимфосаркома грудной клетки
При поражении грудной клетки и средостения (этот вид считается наиболее агрессивной разновидностью) наблюдается следующая симптоматика, которую легко спутать на начальных стадиях с симптомами простудных заболеваний:
- сухой кашель длительного приступообразного характера, иногда с кровью;
- боль в груди (обычно тупого характера средней интенсивности);
- повышение температуры;
- боли при вдохе;
- учащение пульса;
- одышка.
Боли в грудной клетке возрастают при чихании и наклонах вперед. Позже могут появляться и другие признаки: отечность лица, чаще очагового характера, но иногда отеки могут распространяться на все лицо. Отличительный признак лимфосаркомы органов средостения — расширение вен грудной клетки, которые становятся выпуклыми, виден четкий рисунок вен, их цвет изменяется с синего на фиолетовый (бордовый). Такие симптомы напоминают признаки варикозной болезни.
Лимфосаркома носоглотки
Лимфосаркома носоглотки – самая часто диагностируемая форма лимфосарком у взрослых. Болезнь имеет быстрое течение, а диагностика на ранних стадиях может быть затруднена из-за отсутствия специфичных признаков.
Когда лимфосаркома развивается в лимфоидных тканях глоточного кольца, состоящего из глоточной, гортанной, язычной и небной миндалины, симптомы заболевания похожи на симптоматику воспалительного процесса. Ткани небной миндалины краснеют, делаются рыхлыми, изменяется их структура. Такой признак может сопровождаться прозрачными выделениями из носа, но нет других симптомов ринита, подобно чиханию, заложенности носа не наблюдается, температуры также нет.
При начале метастазирования происходит рост шейных лимфоузлов. У пациента изменяется голос: он становится гнусавым, понижается его тембр и тональность, возможно появление охриплости и сиплости. Во время глотания пищи и в процессе разговора пациент может испытывать боли, которые часто принимают за симптоматику воспаления.
Лимфосаркома кишечника
Когда опухолевый процесс происходит в одном из отделов кишечника, начальные симптомы схожи с синдромом раздраженного кишечника.
Симптоматика лимфосаркомы кишечника такова:
- чередование запоров и приступов диареи;
- в каловых массах присутствуют кровь, слизь;
- боли внизу живота;
- отхождение газов с болью;
- проблемы с дефекацией, в запущенные стадиях при опорожнении кишечника также возможны сильные боли.
Если опухоль достигла большой величины, она может перекрыть толстую или тонкую кишку и мешать продвижению переваренной пищи к прямой кишке. Развивается острая кишечная непроходимость, она сопровождается сильной интоксикацией и резким повышением температуры. Большинство лимфосарком кишечника диагностируются на этом этапе.
Лимфосаркома брюшной полости
Этот вид опухоли наиболее сложно диагностируемый из-за того, что его симптоматика даже на поздних этапах развития болезни похожа на симптомы других заболеваний пищеварительного тракта.
На ранних этапах лимфосаркомы брюшной полости пациент может жаловаться на боли неясного характера в животе, желудке, которые не связаны с приемом пищи и возникают в любое время суток. Диспепсические явления не наблюдаются, но могут присутствовать рвота, тошнота, отсутствовать аппетит.
По мере развития лимфосаркомы усиливается интенсивность болевых ощущений – они усиливаются и могут иметь обширный характер. Возникает поражение селезенки и прочих органов, а при большом размере опухоли происходит сдавливание здоровых тканей. Это вызывает болевой синдром в разных отделах живота. Могут возникнуть проблемы с дефекацией.
Лимфосаркома костей
Это форма заболевания характеризуется стремительным ростом опухоли и низкими прогнозами выживаемости. Симптомы появляются довольно быстро из-за наличия большого количества нервных окончаний около суставов и крупных костей.
Лимфосаркома чаще встречается в костях таза, бедер, поясничном, грудном отделах позвоночника, реже в костях челюсти и прочих.
Начальные симптомы лимфомы костей таковы:
- возникновение шишек и узелков;
- болевые ощущения при ходьбе и физической нагрузке;
- ограниченность подвижности суставов;
- изменение в месте поражения окраса кожи.
При раке костей часто случаются патологические переломы. Новообразования в позвоночнике сжимают спинной мозг, из-за чего у пациента возникают неврологические нарушения.
Другие лимфосаркомы
Лимфосаркому селезенки можно диагностировать по уплотнению и тяжести в области левого подреберья. Анализ крови говорит о гиперспленизме.
Лимфосаркома крови имеет симптомы, которые связаны со сбоем работы системы кроветворения: гемморагический диатез, анемия, посинение (побледнение) кожи и появление синяков.
Симптомы лимфосаркомы щитовидной железы: воспаление шейных лимфоузлов, дисфагия, одышка, изменение голоса.
Лимфосаркома шеи развивается очень быстро, начинается ее отек. Может случиться прорыв опухоли и изъязвление.
Диагностирование заболевания
При диагностировании заболевания первичным методом обследования является осмотр пациента, при котором устанавливается количество опухлых лимфоузлов, их локализация, величина, структура и степень болезненности. Также обследуется носоглотка и миндалины.
После этого выполняются такие диагностические процедуры, как:
- общий анализ крови и мочи;
- анализ крови на онкомаркеры (ЛДГ, микроглобулин, фосфатаза);
- анализ на сифилис и ВИЧ-инфекцию.
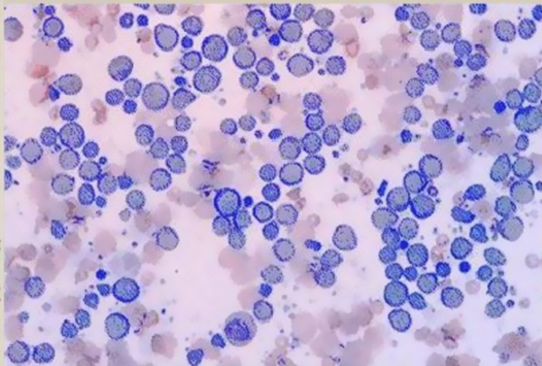
При лимфосаркоме анализ крови долгое время не показывает сильные отличия от нормы, но может измениться количество лейкоцитов и иммуноглобулинов. После лейкемизации увеличивается СОЭ и возникают бластные клетки.
Кроме этого проводят УЗИ для выяснения степени распространенности процесса.
Также проводят цитологическое и гистологическое исследование пораженных лимфоузлов. Проводят аспирационную или эксцизионную биопсию с иммунофенотипированием. Выполняют анализ мазков-отпечатков, иммуногистохимию.
Другими методами обследования являются:
- рентген или КТ для обследования печени, легких, кишечника, селезенки и других органов. Иногда могут назначить МРТ головного мозга;
- радиоизотопное сканирование скелета, чтобы обнаружить саркому кости;
- биопсия и миелограмма костного мозга, в связи с тем, что лимфобластомы часто дают метастазы;
- люмбальная пункция. Она нужна при подозрении на вовлечение в процесс ЦНС.
Эти методики помогают определить стадию болезни, составить схему лечения.
Проводят дифференцированную диагностику с ретикулосаркомой. Так как ее довольно сложно отличить от лимфосаркомы даже специалисту (она имеет схожую морфологическую картину — пролиферация лимфоидно- ретикулярных клеток), в помощь идет анализ на наличие неспецифической эстеразы и отсутствие гранулярного гликогена (в клетках ретикулосаркомы его нет).
Лечение заболевания
Терапия лимфосаркомы любой стадии и любого типа состоит из высокодозной полихимиотерапии, проводимой до наступления ремиссии.
Чаще всего для терапии применяют следующие схемы лечения:
- COP («Циклофосфамид», «Онковин», «Преднизолон»);
- CHOP к предыдущему составу препаратов добавляют «Адриамицин»;
- В схеме лечения — такие же препараты, как и при CHOP, но добавляется «Блеомицин».
Могут вводиться схемы лечения химиотерапией 2 и 3 поколения:
- mBACOD («Метотрексат», «Блеомицин», «Онковин», «Циклофосфамид», «Адриамицин», «Дексаметазон»);
- COMLA («Циклофосфан», «Винкристин», «Метотрексат», «Лейковорин», «Цитозар»).
Терапию проводят циклами, между ними — 1-3 недельный перерыв. При необходимости курс повторяют. При 1 стадии достаточно двух-трех циклов лечения по схеме СНОР, СОР или лечение монохимиотерапией «Флударабином». На 2 стадии – 6 циклов. На последних стадиях применяют полихимиотерапию (6-8 курсов), затем курс лучевой терапии.
При некоторых гемобластозах вводят «Бортезомиб», «Ритуксимаб», «Зевалин». Это препараты угнетающе влияют на клетки лимфомы. Цитостатики применяются внутривенно или перорально. Сочетание нескольких цитостатиков увеличивает шанс ремиссии на 10-20% (в сравнении с монохимиотерапией). Монохимиотерапия («Циклофосфан», «Пафенцил», «Хлорбутин») обычно применяется по отношению к пожилым пациентам с низкой степенью злокачественности заболевания, при наличии сопутствующих заболеваний.
При единичных опухолях кишечника, яичек, щитовидной и молочной железы, кости проводят операции по резекции опухоли. Удаляется как можно больше опухолевых клеток с сохранением функционирования органа.
Еще один метод лечения лимфосарком – трансплантация. У больного перед началом химиотерапии берут костный мозг, а через несколько месяцев после ее проведения пересаживают обратно, для восстановления показателей крови. Эта операция невозможна, если онкология диагностирована в костном мозге. В этом случае стволовые клетки изымают у донора, но присутствует риск отторжения чужеродных тканей.
При некоторых формах лимфосарком в дополнение к химиотерапии применяют лучевую терапию. Для замедления развития опухоли на 3 и 4 стадиях подвергают облучению все лимфатические узлы. Продолжительность терапии – около месяца.
Лучевая терапия способна облегчить состояние пациентов, которые страдают от болевого синдрома (при лимфомах позвоночника, кости, головного мозга).
Пациенту назначают иммуномодулирующие средства на базе интерферона, а при необходимости – антибиотики.
Вместе с основным заболеванием проводят лечение осложнений лимфомы.
Лечение лимфосаркомы народными методами
В дополнение к классическим методам лечения применяют и терапию народными средствами.
Часто рекомендуют настойку болиголова, но ее следует применять с осторожностью, точно соблюдая дозировку. Советуют использовать в лечении лимфосарком и янтарную кислоту, которую принимают согласно инструкции или готовят из нее так называемый «янтарный квас» для лечения.
Важно! В любом случае лечение народными методами должно происходить с разрешения лечащего врача и только дополнять основное лечение, но не заменять его.
Рецидив и осложнения лимфосаркомы
После лечения в течение нескольких лет возможны рецидивы заболевания. Повторное появление опухоли происходит у пациентов с агрессивными типами лимфосаркомы, при единичных опухолях большого размера или множественных новообразованиях. Также предрасполагающим фактором для возникновения повторения болезни считают нерадикальное лечение и пожилой возраст.
Помните! Рак способен возникнуть и на том же месте, и в другом органе. Если это происходит не один раз, шансы на излечение очень малы.
Прогноз зависит и от того, через какое время возник рецидив: если в первый год после проведения терапии, то лечение может не помочь. Рецидив лимфосаркомы лечат так же, как и первичную опухоль.
Самыми частыми осложнениями лимфосаркомы считаются:
- сильный рост лимфатических узлов, с сжатием окружающих структур. Вероятно перекрытие пищевода, трахеи, мочевыводящих и желчных путей, сдавливание вен и сосудов;
- инфильтрация в окружающие органы. При проникновении в ЖКТ, лимфосаркома вызывает кровотечения, открытие язв и перфорацию;
- нарушение процесса кроветворения с анемией тромбоцитопенией, нейтропенией;
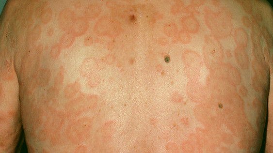
- болезни кожи (крапивница, дерматомиозит, эритема, дерматит);
- повреждение головного и спинного мозга, черепных нервов;
- нарушение метаболизма, снижение функции почек и почечная недостаточность.
Осложнением лучевой терапии может быть возникновение онкологии в другом органе, а частое осложнение после химиотерапии – бесплодие.
Метастазы при лимфосаркоме
Распространение метастаз лимфосаркомы протекает лимфогенным и гематогенным путем. Процесс распространения раковых клеток по лимфатической системе называют генерализацией. Начинается он уже на начальных стадиях болезни. Первоначально метастазы возникают в региональных и отдаленных лимфатических узлах. После заражаются органы, в которых присутствует лимфоидная ткань.
Лимфосаркома кожи, наоборот, изначально проникает в кожу и мягкие ткани, а потом – в лимфоузлы.
Чаще метастазированию подвержены печень, костный мозг, селезенка, легкие, кожа, миндалины. Метастазирование в отдаленные органы приводит к лейкемизации. Поражение костного мозга сопровождается лейкемизацией с развитием картины острого лимфобластного лейкоза.
Прогноз заболевания
Сколько живут с подобным диагнозом? Прогнозы зависят от разных факторов. Основное значение имеют стадия и форма рака, общее состояние здоровья и возраст больного. В среднем показатели 5-летней выживаемости для 1 и 2 стадий — 80-90%.
При генерализации опухолевого процесса длительность жизни — не более 3 лет. С 4 стадией рубеж в 5 лет переходят только 15-20% пациентов. Прогноз для диссеминированной формы также неблагоприятный.
Профилактика
Специальной профилактики лимфосаркомы нет, но можно снизить риск возникновения болезни, соблюдая правила здорового питания, контролируя эмоциональное состояние. Желательно избавиться от вредных привычек. Пациентам, которые трудятся на вредных предприятиях или живут в экологически неблагоприятных зонах, рекомендуется ежегодно проводить санаторно-профилактическое лечение.
Вопрос-ответ
Что такое лимфотоксикоз и чем он опасен?
Для этой патологии характерно скопление вредных веществ в лимфорусле и его загрязнение. Угревая сыпь, аллергия, дерматиты, частые простудные заболевания – все это говорит о том, что с лимфатической системой непорядок. Это состояние называется лимфотоксикозом. При лимфотоксикозе, помимо перечисленных проблем, повышается нагрузка на внутренние органы, больше всего — на печень, почки и кишечник.
Советы
СОВЕТ №1
Регулярно проходите медицинские обследования. Лимфосаркома может развиваться незаметно, поэтому важно своевременно выявлять любые изменения в состоянии здоровья. Обсуждайте с врачом необходимость регулярных анализов и обследований, особенно если у вас есть предрасположенность к онкологическим заболеваниям.
СОВЕТ №2
Обратите внимание на симптомы. Если вы заметили увеличение лимфатических узлов, необъяснимую потерю веса, ночные поты или постоянную уст








