Метастазы в голове диагностируются в 10 раз чаще, чем первичные опухоли мозга. Эта патология довольно тяжело поддается лечению.
По статистике, каждый четвертый пациент с онкологией имеет метастазы в головной мозг.
Что такое метастазы в голове и чем они опасны
Метастазы в головном мозге представляют собой тяжелое осложнение, которое может привести к летальному исходу, если не проводить никакого лечения. Метастазы в голове (код по Мкб 10 – С71) являются серьезным осложнением рака.
Врачи отмечают, что метастазы в головном мозге представляют собой серьезную проблему в онкологии. Они возникают, когда раковые клетки из других органов распространяются в мозг, что может значительно ухудшить качество жизни пациента. Специалисты подчеркивают важность ранней диагностики, так как симптомы могут быть неочевидными и включать головные боли, изменения в поведении и когнитивные нарушения. Лечение метастазов требует комплексного подхода, включая хирургическое вмешательство, радиотерапию и химиотерапию. Врачи также акцентируют внимание на необходимости индивидуального подхода к каждому пациенту, учитывая тип первичной опухоли и общее состояние здоровья. Понимание механизмов метастазирования и разработка новых методов лечения остаются актуальными задачами для медицинского сообщества.

Как происходит метастазирование в головном мозге
Обратите внимание! Процесс появления метастаз довольно сложен, он не происходит спонтанно, а считается следствием некоторых этапов развития болезни.
Появление происходит таким образом:
- Начинается образование первичной опухоли, этому может способствовать сбой на клеточном уровне, из-за которого начинают усиленное размножение мутировавшие клетки;
- Первичная опухоль растет, увеличиваясь в размерах и проникая в соседние ткани;
- Следующим этапом идет непосредственно само перемещение раковых клеток с помощью кровеносной или лимфатической системы по организму, к примеру, в головной мозг;
- Перемещенные раковые клетки на новом месте начинают быстро расти, образуя очаги вторичной опухоли – метастазы.
Иногда, при распространении опухолевых клеток гематогенным способом не всегда могут найти первичный очаг заболевания.
Метастазы в головной мозг могут дать опухоли разной локализации.
Важно! Самой распространенной опухолью, дающей метастазы в голову, считается рак легкого (около 50 % всех случаев).
От рака молочной железы (груди) в головной мозг диагностируется около 15% случаев метастаз, органов мочеполовой системы (почек), остосаркома – 10%, от меланомы – 9%, от раковых опухолей других органов – процент ниже. Также возможны метастатические поражения в головном мозгу при базалиоме (раке эпителия), раке кожи, раке ЖКТ.
Симптомы
При появлении метастаз в голове можно наблюдать множество общих симптомов:
- Сильные головные боли, головокружение;
- Изменение в восприятии и нарушения когнитивной функции;
- Проблемы с вестибулярным аппаратом (приступы тошноты, иногда рвота);
- Кратковременная или длительная потеря памяти;
- Расстройство зрения;
- Парестезия;
- Атаксия и паралич Белла.

Симптомы метастазирования в голову напрямую зависят от того, в какую именно часть головы проникли метастазы. Все симптомы обычно подразделяют на головномозговые и костномозговые.
: признаки опухоли головного мозга
Если распределить симптоматику по локализации, то можно увидеть такую клиническую картину:
- Нарушение зрения (могут выпадать отдельные поля) возникает при локализации метастаз возле иннервационных глазных структур;
- Признаки пареза характерны при проникновении метастаз в ствол или мозжечок головного мозга;
- Нарушения деятельности опорно-двигательного аппарата и возникновение агрессии могут наступать при локализации в лобной области;
- Рост внутричерепного давления, головокружение, двоение в глазах, угнетенное состояние типично при расположении в височной доле;
- Если пропадает внятность речи, пациент тянет слова, иногда проглатывает окончания – метастазы затронули речевой отдел;
- Ухудшение чувствительности конечностей с одной из сторон с признаками невралгии, говорит о поражении одного из полушарий мозга (если страдают левые конечности – правое полушарие и наоборот).
В большинстве случаев вся симптоматика связана с повышением внутричерепного давления. Также наблюдаются судороги, подобные эпилептическим.
К неспецифическим симптомам относят:
- Ухудшение работоспособности, которое сопровождается быстрой утомляемостью;
- Частые случаи общего недомогания и плохого самочувствия;
- Повышения температуры без явных на то причин;
- Бледность кожи (развивается анемия);
- Беспричинное снижение массы тела (без употребления лекарств и диет).
Усиление всех этих симптомов и наличие некоторых других говорит о приближении летального исхода для пациента. Перед смертью можно наблюдать:
- Отсутствие аппетита;
- Резкая потеря веса;
- Депрессивное состояние;
- Неуемные сильные головные боли;
- Проблемы с дыханием;
- Общая болезненность всего организма;
- Нарушения сна.
Высока вероятность того, что больной даже может впасть в кому.
Метастазы в головном мозге вызывают множество эмоций и обсуждений среди людей, столкнувшихся с этой проблемой. Многие пациенты и их близкие описывают чувство неопределенности и страха, так как диагноз часто звучит как приговор. Врачи подчеркивают важность ранней диагностики и индивидуального подхода к лечению, что может значительно улучшить качество жизни. Люди делятся историями о борьбе с болезнью, о поддержке со стороны семьи и друзей, что помогает им справляться с трудностями. В социальных сетях можно встретить группы, где пациенты обмениваются опытом, советами и надеждой. Несмотря на сложность ситуации, многие находят в себе силы продолжать жить и бороться, вдохновляя других на позитивные изменения.

Диагностирование метастаз в голове
Для точной постановки диагноза прибегают к различным методам диагностирования:
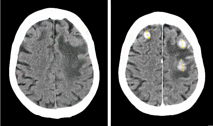
- КТ. Этот метод помогает визуализировать даже бессимптомнее поражения у пациентов с экстракраниальными повреждениями (находящимися на поверхности органа);
- УЗД. Используют с тонкоигольной аспирационной техникой, в режиме сонографии, дуплексной сонографии и 3D эхографии;
- ФДГ ПЭТ. Используют для визуализации очагов небольшого размера (до полутора сантиметров в диаметре);
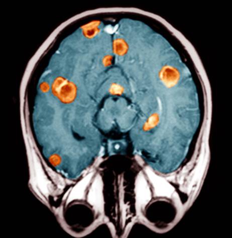
- МРТ – наиболее информативный вид диагностики для исследования метастаз.
Также берется на анализ цереброспинальная жидкость, опухолевая ткань на биопсию. Проводятся патопсихологическое, отоневрологическое, нейроофтальмологическое обследования для выявления метастаз в различных областях головы.
Лечение
Среди способов лечения можно выделить следующие:
- Хирургическая резекция и следующая за ней стереотаксическая радиохирургия (или облучение всей головы). Это метод дает хорошие прогнозы лечения;
- Лучевая терапия. Она часто используется для больных с множеством метастаз и предполагаемым сроком жизни менее 3 месяцев и малым показателем эффективности Карновского;
- Стереотаксическая радиохирургия. Этот метод рекомендуем для тех больных раком, у которых количество очагов ограничено;
- Химиотерапия. Используется довольно редко при данном виде заболевания, но некоторые виды опухолей (лимфома, мелкоклеточный рак легких) могут координироваться с помощью химиотерапевтических препаратов.

Решение об использовании того или иного способа лечения принимается исходя из вида первичного образования, количества метастаз в голове, вида уже проведенной терапии, общего состояния здоровья пациента. Все виды лечения подразделяют на радикальные и паллиативные (поддерживающие).
Радикальное лечение имеет основной целью – регрессию образования. А паллиативное старается уменьшить размеры опухоли, снять основные симптомы, улучшить качество жизни онкобольного. Обычно такой способ назначается на последней – 4 стадии заболевания.
Отдельное место в ряде способов лечения занимает кортикотерапия – прием кортикостероидов («Преднизолон», «Дексаметазон»), которые существенно продлевают жизнь больного. Эти препараты уменьшают отек (он сопровождает опухолевый процесс), влияют на состояние и работу мембраны клеток. Благодаря такому влиянию у онкобольного наблюдается снижение внутричерепного давления, исчезают некоторые неврологические симптомы.
Также назначают противосудорожные препараты – «Топирамат», «Вальпроат». При возможном тромбообразовании (а это чревато кровоизлиянием в мозг) назначаются антикоагулянты «Гепарин», «Варфарин», «Фенилин». На последней стадии ракового процесса прописывают применение сильных обезболивающих средств для облегчения состояния больного.
После проведения лечения пациенты проходят реабилитацию, которую разрабатывают каждому индивидуально. Задачей реабилитации является укрепление организма (проводится иммунотерапия, витаминотерапия), устранение последствий вмешательства и недопущение рецидива.

Прогноз заболевания
Продолжительность жизни пациента зависит от первичного типа ракового заболевания, числа очагов, места их расположения, возраста пациента, его общего состояния. Если метастазы расположены в области мозжечка и ствола, то прогнозы заболевания малоутешительны.
Средняя выживаемость пациентов с метастазированием в головной мозг – около 2-3 месяцев. Если возраст больного меньше 65 лет, опухоль расположена лишь в одном месте без экстракраниального расширения, то прогноз гораздо оптимистичнее – около года.
Без проведения соответствующего лечения жизнь пациентов ограничивается одним месяцем. После хирургического вмешательства у пациентов с несколькими ограниченными метастазами продолжительность жизни может достигать одного года. Если метастазы единичные, то срок жизни увеличивается.
Проникновение метастаз в ствол мозга, мозжечок, еще и при наличии агрессивных множественных очагов или при диагностировании глиобластомы человеку остается жить несколько дней. Если метастазы оказываются операбельными, то можно говорить о некотором увеличении жизни.
Проведенная радиохирургия дает больному шанс прожить около 1-1,5 лет.
В общих случаях, если метастазы пошли в голову – обнаружились в головном мозге, то это считаются наиболее опасным заболеванием и прогноз весьма неутешителен, все будет зависеть от конкретного случая.
Вопрос-ответ
Можно ли вылечить метастазы в голове народными способами?
Это очень тяжелое заболевание, которое не всегда поддается лечению оперативным способом, поэтому терапия народными способами здесь просто бессильна.
Советы
СОВЕТ №1
Обязательно проконсультируйтесь с врачом-онкологом при появлении любых симптомов, таких как головные боли, изменения в зрении или когнитивные нарушения. Раннее выявление метастазов может значительно повысить шансы на успешное лечение.
СОВЕТ №2
Изучите доступные методы лечения, включая хирургическое вмешательство, радиотерапию и химиотерапию. Понимание различных подходов поможет вам и вашим близким принимать обоснованные решения о лечении.
СОВЕТ №3
Поддерживайте здоровый образ жизни, включая сбалансированное питание и регулярные физические нагрузки. Это может помочь укрепить иммунную систему и улучшить общее состояние здоровья во время лечения.
СОВЕТ №4
Не забывайте о психологической поддержке. Общение с психологом или участие в группах поддержки может помочь справиться с эмоциональными трудностями, связанными с диагнозом и лечением.

