
Но когда возникает патология, весь процесс созревания полностью ломается. Белые кровяные тельца (лейкоциты) перестают полностью созревать до полноценных зрелых клеток и начинают быстро хаотично делиться. Функционирование кроветворной системы нарушается: изменённые клетки миелоидного ряда вытесняют здоровые и замещают их в костном мозге. В крови больного лейкозом мало здоровых лейкоцитов, эритроцитов (красных клеток крови) и тромбоцитов (кровяных пластинок).
Описание
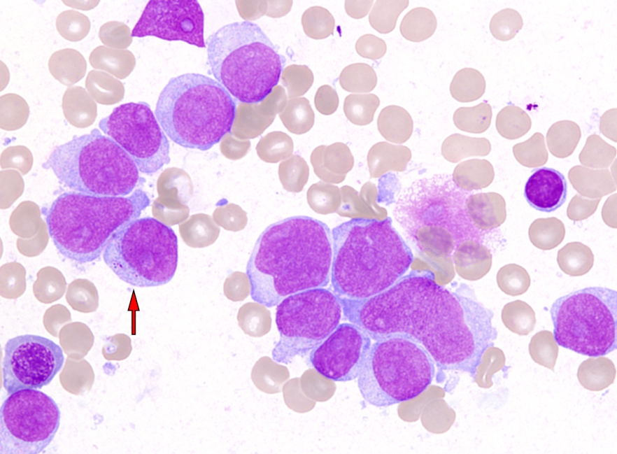
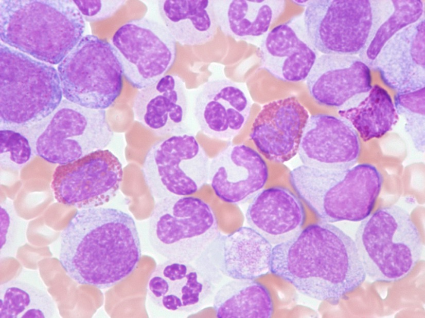
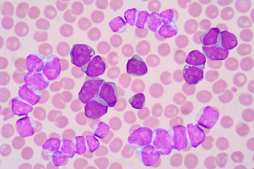
Миелоидный лейкоз (лейкемический миелоз) – это одна из разновидностей лейкемии с высоким уровнем злокачественности, когда патологические процессы начинают происходить в миелоидных клетках крови. Изменённые лимфоциты мешают расти и развиваться здоровым кровяным тельцам, и через какое-то время костный мозг полностью прекращает производить здоровые клетки. Поэтому у больных лейкозом часто появляются анемия (малокровие), частые кровотечения и различные инфекционные заболевания.
С самых ранних этапов миелоидный лейкоз не находится в какой-то одной определённой части тела. Из костного мозга он разносится кровотоком по всему организму: в лимфоузлы и в другие органы. Нарушаются функции всей системы органов, а значит работа всего организма в целом. Поэтому миелоидный лейкоз называется системным злокачественным заболеванием.
Болезнь распространяется чрезвычайно быстро. В случаях, когда лечения нет, лейкозные клетки расходятся по всему организму беспрепятственно. Органы, в которые они проникли, перестают нормально функционировать и в них возникают тяжёлые заболевания. Без лечения больные умирают через несколько недель или месяцев.
Миелогенная лейкемия считается самой распространённой у взрослых людей. Риск появления этого заболевания резко возрастает после 50-ти летнего возраста, средний возраст больных – 60 лет. В молодом и среднем возрасте мужчины и женщины болеют одинаково часто. В более зрелом возрасте чаще заболевают мужчины. Код миелоидного лейкоза (гранулоцитарного и миелогенного) по МКБ-10– C92.
Также в медицинской практике встречается другой вид лейкоза – лимфобластный. Отличие лимфобластного лейкоза от миелобластного состоит в том, что он развивается из группы предшественников лимфоцитов (лимфобластов).
Миелоидный лейкоз — это злокачественное заболевание, которое поражает костный мозг и приводит к аномальному размножению миелоидных клеток. Врачи отмечают, что это заболевание может проявляться различными симптомами, такими как усталость, частые инфекции, кровотечения и анемия. Специалисты подчеркивают важность ранней диагностики, так как это значительно увеличивает шансы на успешное лечение. Лечение миелоидного лейкоза может включать химиотерапию, таргетную терапию и, в некоторых случаях, трансплантацию костного мозга. Врачи также акцентируют внимание на необходимости комплексного подхода к лечению, включая поддержку пациентов и их семей, что играет ключевую роль в процессе восстановления.

Причины
До настоящего времени учёным так и не удалось установить точные предпосылки, от которых появляется новообразование миелоидного ростка и возникает злокачественное изменение клеток крови.
Указывается только ряд факторов, способных спровоцировать начало развития миелолейкоза:
- хромосомные патологии – наследственная предрасположенность или врождённые генетические нарушения (синдром Дауна или Блума);
- возраст – риск появления заболевания увеличивается с возрастом и наиболее часто встречается у пожилых людей;
- курение – табачный дым содержит бензол и другие канцерогены;
некоторые заболевания крови – миелодисплазия, полицитемия, тромбоцитемия. У пациентов, имеющих в анамнезе эти заболевания, большая вероятность развития лейкоза;
- ионизирующее излучение;
- перенесённая лучевая терапия при других формах злокачественных опухолей;
- применение химиотерапии при других видах онкологии – болезнь начинается как аномальная реакция на терапию. Поэтому во время лечения необходимо регулярно контролировать показатели крови;
- перенесённые аутоиммунные, инфекционные заболевания – большому риску подвержены больные с такими болезнями, как туберкулёз, злокачественная анемия, идиопатическая тромбоцитопения, ВИЧ и прочее;
- перенесённые онкологические заболевания в анамнезе – возможность провоцирования развития вторичного лейкоза;
- неблагоприятная экология – проживание в районах с вредными химическими или радиоактивными условиями может негативно отразиться как на каждом человеке, так и на их детях.
Нужно знать! У 10% новорожденных с синдромом Дауна наблюдается транзиторный миелопролиферативный синдром. В большинстве случаев заболевание не имеет симптомов, за исключением циркулирующих бластов в периферической крови, и проходит без лечения через 3-6 месяцев.
Разновидности
Миелоидный лейкоз подразделяется на две формы: острую и хроническую. Формы миелолейкоза не могут переходить из острой в хроническую. Это разные заболевания с особенными типичными признаками. Для острого миелобластного лейкоза типично чрезмерное размножение и рост незрелых бластных клеток. ОМЛ очень тяжёлое и трудно поддающееся лечению заболевание. При остром миелобластном лейкозе развитие болезни происходит стремительно, что требует своевременного лечения.
У этого заболевания три стадии развития:
- начальная – чаще всего проходит незамеченной. При лабораторных исследованиях наблюдаются изменения в биохимии крови. У больного развиваются бактериальные инфекции, обостряются хронические заболевания;
- развёрнутая – проявляются признаки заболевания. Иногда чередуются обострения и стадии ремиссии. Очень часто наступает полная ремиссия. Если выздоровление не наступило, происходит обострение заболевания и переход в терминальную стадию;
- терминальная – характеризуется широкомасштабным нарушением процесса здорового кроветворения.
Острый миелоидный (или миелобластный) лейкоз может развиваться у людей любого возраста, но чаще всего он встречается у пациентов старше 50 лет. Это один из распространённых видов рака крови у детей и подростков. В детской онкологии миелолейкозы стоят на втором месте, уступая лишь острому лимфолейкозу. У детей это заболевание встречается почти в 25% случаев.
Миеломоноцитарный (миеломонобластный) лейкоз – это форма миелолейкоза, когда поражаются клетки красного костного мозга в крови: монобласты и миелобласты. В бластах отсутствуют тельца Ауэра – красные белковые клетки в цитоплазме миелоцитов и миелобластов. Миеломоноцитарный лейкоз имеет три клинических типа: острый, хронический и ювенильный.
Важно! Миеломоноцитарный лейкоз в большинстве случаев наблюдается у пациентов детского возраста. У детей до 4-х лет частота выявления этого заболевания стоит на первом месте.
Для хронического миелолейкоза характерно чрезмерное аномальное образование и рост зрелых и созревающих лейкоцитов. Болезнь развивается медленно и не имеет заметных симптомов на ранних стадиях. Очень часто обнаруживается случайно при лабораторном анализе крови по поводу других заболеваний.
Хронический лейкоз также имеет три стадии развития:
- доброкачественная – протекает в течение длительного времени бессимптомно, выражается неуклонным повышением количества лейкоцитов в крови;
- развёрнутая – проявляются клинические признаки болезни, уровень лейкоцитов растёт;
- терминальная – здоровье пациента резко ухудшается. Отмечается низкая чувствительность к назначенному лечению, развиваются инфекционные осложнения.

Сублейкемический тип хронического миелолейкоза чаще всего встречается у пациентов пожилого возраста. Заболевание сопровождает разрастание соединительных тканей костного мозга и их замещение рубцовыми соединительными тканями. Отличительной чертой этого вида лейкоза является отсутствие симптомов и жалоб со стороны пациента в течение длительного времени. Также встречаются хронические миелоцитарные лейкозы – группа заболеваний, при которых образуются опухолевые клетки типа цитарных или процитарных предшественников миелоидного ряда.
Систематизация ОМЛ по версии ВОЗ разделяет несколько десятков видов болезни на несколько групп:
- ОМЛ с типичными генными изменениями;
- ОМЛ с нарушениями, связанными с дисплазией;
- вторичные ОМЛ, начинающиеся в результате терапии других болезней;
- заболевания с пролиферацией миелоидного ростка при синдроме Дауна;
- миелоидные саркомы (миелосаркомы);
- бластные плазмоцитоидные дендритноклеточные опухоли;
- другие разновидности ОМЛ.
Согласно FAB классификации также существует несколько вариантов острых миелоидных лейкозов:
- M0 – недифференцированный ОМЛ;
- M1 – ОМЛ без созревания клеток;
- M2 – ОМЛ с неполным созреванием клеток;
- M3 – промиелоцитарный лейкоз;
- M4 – миеломоноцитарный лейкоз;
- M5 (M5a и M5b) – монобластный лейкоз;
- M6 – эритролейкоз;
- M7 – мегакариобластный лейкоз.
Миелоидный лейкоз — это группа заболеваний, характеризующихся аномальным разрастанием миелоидных клеток в костном мозге. Люди часто описывают его как серьезное и угрожающее жизни состояние, которое требует немедленного медицинского вмешательства. Симптомы могут включать усталость, частые инфекции, легкие кровотечения и синяки. Многие пациенты отмечают, что диагноз становится шоком, и они сталкиваются с множеством вопросов о лечении и прогнозе. Лечение может включать химиотерапию, трансплантацию костного мозга и целевые терапии, что вызывает надежду на выздоровление. Важно, чтобы пациенты получали поддержку от близких и медицинских специалистов, так как эмоциональная нагрузка может быть значительной. Обсуждение миелоидного лейкоза в обществе помогает повысить осведомленность о болезни и важности ранней диагностики.

Симптомы
Для симптоматики миелоидного лейкоза характерны следующие первичные признаки:
- общее недомогание, слабость, сонливость;
- одышка, повышенная утомляемость;
появление петехий – мелких кровоизлияний под кожей, а также на слизистых оболочках щёк, дёсен, половых органов;
- изменение цвета дёсен – дёсна становятся сизо-синими или бордовыми, кровоточат при чистке зубов и во время приёма пищи;
- затяжные менструации и ацикличные кровотечения у женщин;
- плохой аппетит и ощущение тяжести в левом подреберье;
- резкое похудение и кахексия (состояние крайнего истощения организма);
- нарушение функций нервной системы: ухудшение памяти, спутанность сознания;
- слабый иммунитет – повышенная восприимчивость к вирусным и бактериальным заболеваниям, синуситам, бронхитам;
- бледность кожи и голубоватый оттенок склеры глаз – признаки развивающейся анемии.
У пациентов наблюдается истончение хрящей и повышается хрупкость костей. Селезёнкой вырабатывается всё больше тромбоцитов, чтобы компенсировать их недостаток, вследствие чего сильно увеличивается. Также наблюдается типичная картина заболевания с характерными симптомами: повышение температуры тела, ночное потоотделение, учащённое сердцебиение, ощущение сильных болей в суставах, увеличение лимфатических узлов, высыпания на коже и слизистых.
Реже замечаются такие признаки болезни, как головные боли, нарушение зрения, рвота, не двигаются лицевые мышцы, у мальчиков может увеличиться яичко (иногда оба). Отмечаются гипертрофия тканей дёсен и появляются хлоромы – опухолевидные образования зелёного или голубоватого цвета, которые появляются в лимфоузлах, на костях или вокруг глаз.
У больных с хроническим миелоидным лейкозом развивается лейкостаз, который может проявляться и приапизмом. При отсутствии лечения повышенная кровоточивость, которая вначале выражается петехиями, приводит к таким серьёзным осложнениям, как внутренние кровотечения или геморрагический инсульт.
Диагностика
Диагностика миелоидной лейкемии проводится исследованием различных параметров крови пациента и инструментальными исследованиями, такими как:
- общий анализ крови и на биохимию;
- цитогенетическое исследование – изучаются аномальные клетки, в которых выявлена патология (филадельфийская хромосома);
- стернальная пункция;
- люмбальная пункция;
- пункция лимфатических узлов;
- МРТ и КТ;
- УЗИ;
- рентгенография;
- сцинтиграфия костей скелета.
Необходимо помнить! Острая миелобластная лейкемия характеризуется стремительным развитием, поэтому имеет огромное значение раннее определение точного диагноза и назначение грамотного лечения.

Лечение
Лечение миелоидного лейкоза — это длительная комплексная терапия в специализированной медицинской клинике и строгий контроль за течением заболевания. Основным видом лечения этой болезни является химиотерапия. При химиотерапии применяют специальные препараты цитостатики, которые блокируют рост раковых клеток. Один подобный препарат не способен уничтожить все поражённые клетки, поэтому врачи используют комбинации из нескольких препаратов, по-разному действующих на клетки опухоли. Таким образом, достигается максимальная эффективность лечения. Использование комбинации нескольких цитостатиков называется полихимиотерапией.

Тем больным, у которых заболевание не реагирует на проводимое лечение, или если произошёл рецидив заболевания, назначаются курсы высокодозной химиотерапии. После этого производят трансплантацию костного мозга. Основной целью этой процедуры является полное уничтожение лейкозных клеток во всём организме, чтобы восстановились нормальные функции костного мозга. Для предотвращения осложнений после лечения, применяется так называемая сопроводительная терапия, то есть вспомогательное поддерживающее лечение.
Прогноз
Каким станет прогноз жизни больных с миелобластным лейкозом, зависит от стадии болезни во время определения диагноза. Очень большое значение имеет реакция организма больного на проводимое лечение. Современные методы биотерапии позволяют добиваться стойкой долговременной ремиссии и предотвращают рецидивы заболевания. Неблагоприятный прогноз может быть в случаях, когда заболевание поздно обнаружили.
На продолжительность жизни больных с миелолейкозом могут оказывать влияние множество причин.
Риск смертности от этого заболевания возрастает если:
- возраст пациента более 55 лет;
- в анамнезе имеется другое онкологическое заболевание;
- имеются генетические мутации в клетках;
- очень большое количество белых клеток на момент установления диагноза;
- проведение двух или более курсов химиотерапии.
Важно! В настоящее время благодаря современным методикам лечения прогноз при миелоидном лейкозе стал более благополучным: пятилетний процент выживаемости пациентов превысил 75%, а долговременная ремиссия наблюдается у более 50% больных.
По статистике, у взрослых пациентов с миелолейкозом следующие прогнозы:
- у людей пожилого возраста старше 60 лет есть шанс дожить до 5-летнего рубежа чуть более 10%;
- выживаемость людей 50 — 60 лет — 25%;
- выживаемость пациентов 40 — 45 лет – 50%;
- у пациентов молодого возраста имеются большие шансы на выздоровление.
Вопрос-ответ
Сколько живут с миелоидным лейкозом?
Возможность прожить более пяти лет у пациентов с острым миелоидным лейкозом зависит от формы заболевания и возраста. В некоторых случаях выживаемость составляет менее 20%, при других формах болезни превышает 70%.
Что такое миелолейкоз простыми словами?
Миелолейкоз – это злокачественное заболевание крови и костного мозга, при котором образуется избыточное количество гранулоцитов (нейтрофилов, эозинофилов и базофилов) и их предшественников. Гранулоциты являются разновидностью лейкоцитов и отвечают за защиту организма от инфекций.
Советы
СОВЕТ №1
Изучите информацию о миелоидном лейкозе, чтобы лучше понимать заболевание. Ознакомьтесь с его симптомами, стадиями и методами диагностики. Это поможет вам быть более осведомленными и подготовленными к общению с врачами.
СОВЕТ №2
Обратитесь к специалисту для получения точного диагноза и индивидуального плана лечения. Не стоит полагаться на самодиагностику или советы из интернета — только врач может назначить правильное лечение и контролировать его эффективность.
СОВЕТ №3
Поддерживайте здоровый образ жизни, включая сбалансированное питание и регулярные физические нагрузки. Это поможет укрепить иммунную систему и улучшить общее состояние здоровья, что особенно важно при лечении миелоидного лейкоза.
СОВЕТ №4
Не забывайте о психологической поддержке. Заболевание может вызывать стресс и тревогу, поэтому важно общаться с близкими, а также рассмотреть возможность обращения к психологу или участию в группах поддержки для пациентов с онкологическими заболеваниями.
некоторые заболевания крови – миелодисплазия, полицитемия, тромбоцитемия. У пациентов, имеющих в анамнезе эти заболевания, большая вероятность развития лейкоза;

появление петехий – мелких кровоизлияний под кожей, а также на слизистых оболочках щёк, дёсен, половых органов;