
Общие сведения
Код по МКБ-10:
- C40 — Злокачественное новообразование костей и суставных хрящей конечностей.
- C41 — Злокачественное новообразование костей и суставных хрящей других и неуточненных локализаций

Также кости обладают кроветворной способностью. В костном мозге, который расположен во внутренней части некоторых костей, образовываются кровяные клетки – лейкоциты и тромбоциты. В составе костей содержится кальций – жизненно важный минерал для организма.
Кости, как и другие органы, содержат клетки, которые, размножаясь, дают возможность костям держать форму:
- Остеобласты – создают костную матрицу, которая выполняет функцию формирования костей. Она состоит из соединительной ткани и минералов;
- Остеокласты – способствуют разрушению костной матрицы, тем самым предотвращая их накопление. Благодаря остеоклеткам правильная форма костей не деформируется.
Эти две разновидности клеток также помогают тому, чтобы минералы в крови присутствовали в должном количестве.
Врачи отмечают, что остеосаркома, или остеогенная саркома, является одним из наиболее агрессивных видов рака костей, чаще всего встречающимся у подростков и молодых людей. Специалисты подчеркивают важность ранней диагностики, так как это значительно увеличивает шансы на успешное лечение. Симптомы, такие как боль в костях и отеки, могут быть легко проигнорированы, что затрудняет своевременное обращение к врачу.
Медики рекомендуют проводить регулярные обследования, особенно для людей, находящихся в группе риска. Лечение остеосаркомы обычно включает хирургическое вмешательство, химиотерапию и, в некоторых случаях, радиотерапию. Врачи также акцентируют внимание на необходимости комплексного подхода, включающего психологическую поддержку для пациентов и их семей, что играет важную роль в процессе выздоровления.

Остеосаркома: что это?
Остеосаркома (Osteosarcoma) – новообразование в кости, которое носит злокачественный характер и отличается быстрым распространением и метастазированием. Болезней, связанных с костями не так много, но именно остеогенная саркома – наиболее часто встречающееся заболевание костей.
Сарком множество: остеохондросаркомы – рак хрящевой ткани, миосаркомы – рак мышечной ткани, фибросаркомы – рак мягких соединительных тканей, синовиальные саркомы – рак суставных структур, телеангиэктатические саркомы – образование кист в костной ткани и др.

Различают три категории остеосаркомы:
- Остеобластическую – происходит замещение здоровых клеток раковой опухолью, и образовываются костные ткани, отличающиеся по своей структуре от здоровых тканей;
- Остеолитическую — происходит лизис кости (дисбаланс между разрушением и образованием костных тканей). При этом костные ткани не образовываются;
- Смешанную.
Остеосаркома является болезнью молодых. Возрастная граница составляет от 10 до 40 лет. По статистике данное заболевание встречается чаще у мужчин, нежели у женщин. В зоне риска находятся дети подросткового возраста, так как именно в этом возрасте происходит скачок роста, в связи с чем, могут произойти сбои в работе клеток костей. У девочек скачок роста приходится на возраст приблизительно 10-14 лет, у мальчиков – 15-19 лет. Именно в тех местах, где кости растут быстро, например, на концах длинных костей, велика вероятность образования остеосаркомы. Как ни странно, после пятидесятилетнего рубежа болезнь встречается в редких случаях. Но такие случаи все же бывают.

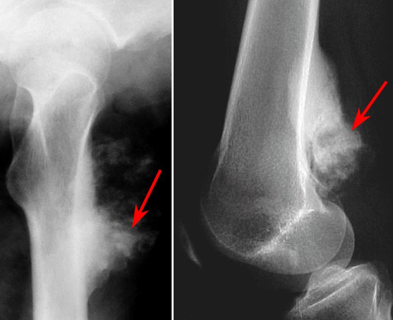
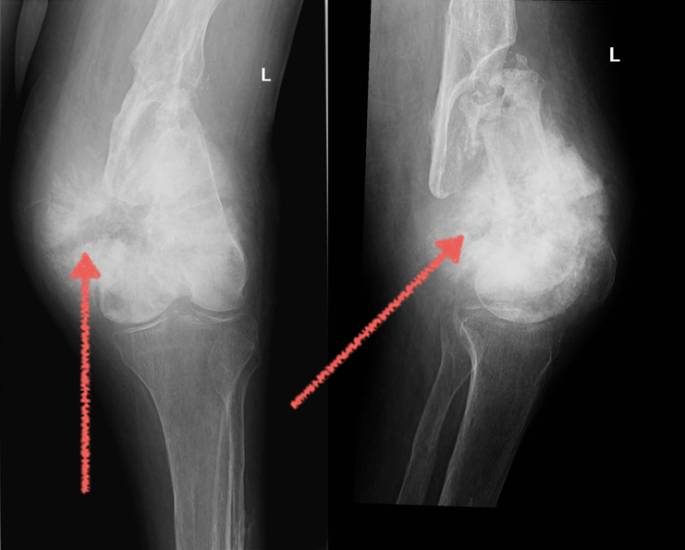
По статистике, в нижних конечностях болезнь образовывается в шесть раз чаще, чем на верхних. В 80% случаях остеосаркома поражает область дистального конца бедренной кости. На втором месте, где больше всего образовывается новообразование, является часть кости плеча – проксимальная плечевая кость. Но кроме данных локализаций в медицине встречаются и остеосаркомы костей бедра, плеча и челюсти, лобной кости. Но, кости черепа очень редко подвержены остеосаркоме, и в основном выявляется у детей и пожилых людей.
Причины
Однозначного ответа на вопрос, почему образуется рак, в том числе и остеосаркома, на сегодняшний день нет. Но есть медицинские наблюдения, согласно которым, причиной образования саркомы костей являются:
- Достоверно доказано, что если человек ранее перенес любое другое раковое заболевание и при лечении врачи прибегали к лучевой и (или) химиотерапии, то вероятность образования рака костей спустя несколько лет после применения данных процедур, весьма велика;
- Обычные переломы, ушибы и травмы сами по себе не могут стать причиной остеосаркомы, но если это происходит систематически в районе трубчатых костей, место перелома отличается болезненностью, то существует риск образования остеосаркомы;
- Хронический остеомиелит, при отсутствии необходимого лечения, может стать толчком для образования новообразования в костях, в частности в тазобедренных суставах;
- Разного рода заболевания опорно-двигательной системы, такие как, деформирующий остеоз, остеит хондрома, фиброзная дистрофия, костно-хрящевые экзостозы также могут стать предвестниками остеосаркомы;
- Как и любой другой вид онкологического заболевания, остеосаркома может носить генетический характер. Если в роду кто-либо заболевал данным недугом, то у человека существует предрасположенность к нему;
- Если, в силу своей профессиональной деятельности, человеку приходится работать с разного рода химическими, радиоактивными веществами, то необходимо строго соблюдать все меры защиты, так как длительный контакт с такими веществами может привести к образованию рака, в том числе и остеосаркоме.
- Бывает, что из-за снижения эффективности работы иммунной системы, могут образоваться раковые клетки. Тому причиной могут быть хронические заболевания, которые часто подрывают работу иммунитета.
Остеосаркома — это злокачественная опухоль, которая чаще всего поражает кости, особенно у подростков и молодых людей. Люди, столкнувшиеся с этой болезнью, часто делятся своими переживаниями и страхами. Многие отмечают, что первоначальные симптомы, такие как боль в костях и отеки, могут быть легко проигнорированы, что затрудняет раннюю диагностику. В социальных сетях пациенты и их семьи обсуждают важность осведомленности о болезни и необходимости регулярных медицинских осмотров.
Некоторые рассказывают о своем пути к выздоровлению, делясь историями о химиотерапии и хирургических вмешательствах. Поддержка близких и общение с другими пациентами становятся важными аспектами в борьбе с болезнью. Люди также подчеркивают, что несмотря на сложности, они находят силы в надежде и стремлении к жизни. Остеосаркома — это не только медицинская проблема, но и эмоциональное испытание, которое требует мужества и стойкости.

Признаки

Отличается остеосаркома тем, что внутри суставов жидкость отсутствует. Болевые ощущения усиливаются, при этом пораженный участок растет, мягкие ткани на данном участке выглядят припухлыми. Можно разглядеть мелкое расширение вен, так называемую флебэктазию.
Если же новообразование локализовалось на нижних конечностях, особенно на коленных суставах, человек, практически не может согнуть ногу, передвигается хромая. При ощупывании области поражения, человек ощущает сильную боль.
Со временем, если не предпринимать никаких мер, при данных симптомах, перестают действовать обезболивающие препараты. Боль становится постоянной, вне зависимости от того, в каком положении находится человек: в движении или покое.
Остеосаркома отличается стремительным ростом, быстрым распространением на другие органы. Раковые остеогенные клетки могут транспортироваться через кровь, оседать на других органах, образовывая метастазы. Очень часто метастазы образуются в легких и головном мозге.
Стадии
Специалисты разделяют рак костей на несколько стадий. Разделение на стадии позволяет определить степень распространения болезни и, исходя из этого, выбирается тактика лечения.
- Локализованные саркомы – когда злокачественные клетки не вышли за зону первоначальной локализации;
- Метастатические саркомы – стадия, когда опухоль распространилась на другие органы.
При данной болезни, первая стадия очень быстро переходит во вторую. При первом обнаружении опухоли, в 80% случаях остеосаркома уже является метастазирующей.
Нередки случаи, когда злокачественная опухоль образуется в нескольких местах скелета одновременно. Такой вид саркомы костей носит название «мультифокальная конвенциональная остеосаркома».
Неутешительным является тот факт, что спустя несколько лет после излечения, болезнь может вернуться. Говоря медицинским языком, болезнь рецидивирует. Рецидив остеосаркомы в основном выявляется в легких. После первого рецидива, последующие рецидивы маловероятны.
Диагностика
Диагноз «остеосаркома» может быть поставлен после тщательного обследования, лабораторных и инструментальных методов исследования. Не всегда остеосаркома, на ранних стадиях болезни, проявляет себя отечностью в области наличия опухоли. При первом осмотре, врача настораживает наличие необъяснимых болей в суставах, что является поводом направить пациента на дополнительное обследование. На сегодняшний день существуют несколько видов диагностики. Рассмотрим их:
- Общий анализ крови. Этот довольно таки простой анализ позволяет выявить патологические изменения, указывающие на раковую опухоль в костях. Так, показатели СОЭ и фосфатазы увеличиваются в разы, в 50% случаев количество лейкоцитов также повышено. Низкий уровень гемоглобина свойственен и остеосаркоме, как и многих другим видам онкологических заболеваний;
- Рентгеновское обследование является одним из самых эффективных методов диагностики. На снимке специалист, при наличии болезни, обнаруживает так называемый «треугольник Кодмэна», представляющий собой треугольный козырек. Кроме того обнаруживаются игольчатые спикулы;
- Биопсия (забор ткани), как самый достоверный метод обследования, при остеосаркоме делается с большой осторожностью. Выполняется данная процедура хирургом. На сегодняшний день хорошо зарекомендовала себя трепанобиопсия, при которой, вероятность задевания близлежащих с опухолью тканей сводится к минимуму;
- Компьютерная томография (КТ) – современный метод диагностики, позволяющий в точности определить место локализации опухоли, ее размеры и степень распространения. В отличие от рентгенологического исследования, КТ позволяет выявить не только метастазы больших размеров, но и микрометастазы;
- Магнитно-резонансная томография еще более точный вид диагностики, к которому часто прибегают, чтобы оценить результат применяемых методов лечения. В организм вводится специальное контрастное вещество, которое накапливается вокруг новообразования. Аппарат выдает результат, подсчитывая количество раковых клеток в процентном соотношении, что позволяет оценить результат химиотерапии до и после ее применения;
- Остеосцинтиграфия – еще один вид диагностики остеосаркомы, при котором о наличии или отсутствии раковых образований можно судить по содержанию изотопа. Чаще всего применяется для оценки результативности применения химиотерапии. Если количество изотопов после терапии стало меньше, врачи констатируют положительный гистологический результат на лечение химиотерапией;
- Ангиография применяется для определения уровня распространенности новообразования на сосуды. Чаще всего это делается до хирургического вмешательства. Если в сосудах присутствуют раковые клетки, то врачи прибегают к удалению органа.
Лечение
Лечебные мероприятия при остеосаркоме подбираются индивидуально, в зависимости от стадии болезни и степени распространенности. Чаще всего применяются комплексная терапия с использованием химиотерапии, радиотерапии и хирургического вмешательства. Рассмотрим их подробнее:
- Химиотерапия на сегодняшний день позволяет уменьшить размеры опухоли до хирургического вмешательства и устранить остатки раковых клеток после нее. Когда химиотерапия впервые стала применяться, она не давала должных результатов и к ней практически не прибегали. На сегодняшний день учеными разработаны так называемые полихимиотерапевтические методы. Применяемые при них вещества метотрексат, лейковорин, адриамицин, ифосфамид эффективно борются с раковыми клетками. Опухоль и степень ее распространения заметно уменьшается;
- Лучевая терапия была широко распространена во времена, когда химиотерапия не давала должных результатов. Но, статистика говорила о том, что приблизительно через полгода после радиотерапии, обнаруживались метастазы. На сегодняшний день к лучевой терапии, как методу борьбы с остеосаркомой, прибегают крайне редко, лишь в случаях, кода локализация опухоли не позволяет осуществить хирургическое вмешательство (позвоночник, тазовые кости). Также применяют радиотерапию для устранения боли;
- Хирургическая операция проводится после тщательного изучения всех обстоятельств, таких как место локализации, степень распространения, состояние пациента. Хирургическому вмешательству чаще всего предшествует химиотерапия, которая позволяет уменьшить размеры опухоли. Обычно, после лечения остеосаркомы химиотерапевтическими препаратами, ее удаляют хирургическим методом. На сегодняшний день возможна органосохраняющая операция, если опухоль не затронула большую площадь органа. Если болезнь обнаружена в конечностях, в частности, в голени или пальцах рук, то ампутации можно избежать. Врачи стараются избежать радикальной ампутации тазобедренной кости, костей плечевого пояса, рук. Однако при патологическом переломе, прорастании новообразования в мягкие ткани или сосудисто-нервный пучок она остается единственной мерой. В последующем возможно протезирование металлическими имплантами удаленный участок. Если процесс распространения новообразования велик, то приходится прибегнуть к ампутации. После хирургического вмешательства целесообразен дополнительный курс химиотерапии, который уничтожает возможные оставшиеся раковые клетки.
Видео на тему: Остеосаркома
https://youtube.com/watch?v=2uOT0ZRc0Ck
Прогнозы
На вопрос «можно ли вылечить саркому» однозначного ответа нет. На прогноз при остеосаркоме влияют многие факторы: стадия болезни, степень распространения, место расположения опухоли, возраст пациента, сопутствующие заболевания. Так, например, при остеосаркоме конечностей, врачи дают благоприятные прогнозы, особенно если раковые клетки стремительно погибают после химиотерапии. Если же болезнь развивается в костях туловища, в частности ребрах, а также позвоночнике и костях головы, болезнь тяжело поддается лечению, и удалить новообразование бывает крайне сложным. К тому же локализация опухоли данного типа стремительно метастазирует на другие органы. В таких случаях прогнозы врачей неутешительные.
Существуют также некоторые вида остесарком, которые являются высокодифференцированными (схожими со здоровыми клетками) и медленно распространяются. К такому виду остеосаркомы относится паростальная остеосаркома. При ней прогнозы благоприятные, так как опухоль хорошо поддается лечению.
Благодаря современным методам терапии и комплексном их применении, пятилетняя выживаемость достигла 70-80%. Хотя не так давно, данный показатель не превышал десяти процентного рубежа. При обнаружении же болезни на стадии локализованной саркомы, процент выживаемости достиг 90%.
Вопрос-ответ
Что такое остеогенная саркома?
Остеосаркома – это редкая злокачественная опухоль, рак костей. Эта болезнь относится к солидным опухолям и появляется из-за мутации клеток, из которых обычно вырастают кости. Так как опухоль вырастает в самих костях (в костной ткани), её поэтому называют первичной опухолью костей.
В чем разница между остеосаркомой и остеосаркомой?
Остеосаркома и саркома Юинга — наиболее распространённые злокачественные новообразования костной ткани у детей. Остеосаркома, более распространённый из двух типов, обычно поражает кости вокруг колена. Саркома Юинга может поражать кости таза, бедра, плеча или рёбра.
Можно ли полностью вылечить остеосаркому?
Однако, если остеосаркома не дает метастазов, примерно 3 из 4 человек могут полностью выздороветь. К сожалению, выживаемость людей с метастазами составляет всего 30%. Остеосаркома, как и любой вид рака, является очень серьезным заболеванием.
Какая форма остеогенной саркомы встречается наиболее часто?
Сегодня пятилетняя выживаемость составляет уже 70-90%. Типичная локализация остеогенной саркомы — трубчатые кости конечностей. Чаще всего новообразование появляется в районе коленного сустава. Данный вид рака врачи клинической онкологии чаще всего фиксируют у подростков и молодежи.
Советы
СОВЕТ №1
Обратитесь к специалисту при первых симптомах. Если вы заметили необычные боли в костях, отеки или изменения в физической активности, не откладывайте визит к врачу. Раннее обращение может значительно повысить шансы на успешное лечение.
СОВЕТ №2
Изучите информацию о заболевании. Понимание остеосаркомы, ее симптомов и методов лечения поможет вам лучше подготовиться к общению с врачами и принятию решений о лечении. Используйте надежные источники информации, такие как медицинские сайты и публикации.
СОВЕТ №3
Поддерживайте связь с группами поддержки. Общение с людьми, которые сталкиваются с подобными проблемами, может оказать значительную эмоциональную поддержку. Узнайте о местных или онлайн-группах, где вы сможете поделиться опытом и получить советы.
СОВЕТ №4
Обсудите все варианты лечения с врачом. Остеосаркома может требовать комплексного подхода, включая хирургическое вмешательство, химиотерапию и радиотерапию. Убедитесь, что вы понимаете все доступные варианты и их возможные последствия, чтобы сделать осознанный выбор.

