
По характеру своего развития пролактинома отличается медленным течением и редко перерастает в злокачественную неоплазию (2%). По степени распространенности пролактинозависимая опухоль мозга стоит на третьем месте в мире – двадцать процентов от общего числа образований, возникающих в центральной нервной системе.
Что есть гипофиз?

Гипофиз состоит из 2 сегментов:
Передняя доля (аденогипофиз), которая формирует до 80% веса железы и состоит из различных видов клеток, продуцирующих определенный тип гормона. При этом, передняя часть делится на: большую часть, промежуточную, и листовидный вырост обвивающий основание гипофиза.
В число гормонов вырабатываемых передней долей входят следующие:
- Прогестерон – стероидный гормон, отвечающий за развитие половой системы и особенно за овуляционный период у женщин, включая процесс образования желтого тела в парных женских половых железах (яичники);
- Пролактин – гормон, выделяющий лактотрофные клетки гипофизной железы и регулирующий менструальный цикл, лактацию, деятельность центральной нервной и иммунной системы;
- Фоллитропин (ФСГ) – гормон, содействующий созреванию женских фолликулов, росту эндометрия и активности мужских сперматозоидов;
- Тиреотропин (ТТГ) – регулирующий гормон, управляющий работой щитовидной железы и стимулирующий синтезирование гормонов тироксин (Т4) и трийодтиронин (Т3). Играет ключевую роль в обмене веществ;
- Соматотропин (СТГ) – гормон, выступающий самым важным элементом процесса развития и роста;
- Адренокортикотропин (АКТГ) – отвечает за выделение стероидных гормонов коры надпочечников.
Задняя часть (нейрогипофиз), состоящая по своей структуре из воронки гипофиза и нервной доли. Она накапливает и высвобождает два вида гормона:
- Антидиуретический гормон (вазопрессин), функцией которого является сужение кровеносных сосудов и удержание влаги в организме;
- Окситоцин – гормон из соединений пептидов (тип молекул белка) и пептидного гормона, контролирующий сокращение мышцы матки и способствующий лактации.
Пролактинома, доброкачественная опухоль гипофиза, может проявляться различными симптомами, включая нарушения менструального цикла у женщин, галакторею и бесплодие. У мужчин признаки могут включать снижение либидо и эректильную дисфункцию. Врачи подчеркивают важность ранней диагностики, так как запущенные случаи могут привести к серьезным осложнениям. Лечение пролактиномы обычно включает медикаментозную терапию с использованием агонистов дофамина, таких как каберголин и бромокриптин, которые помогают снизить уровень пролактина и уменьшить размер опухоли. Избыток пролактина может вызывать не только репродуктивные проблемы, но и негативно сказываться на общем состоянии здоровья, включая увеличение массы тела и нарушения обмена веществ. В то же время недостаток пролактина, хотя и встречается реже, может приводить к проблемам с лактацией и другим гормональным нарушениям. Врачи рекомендуют регулярные обследования для контроля уровня пролактина и своевременного выявления возможных отклонений.

Разновидности аденомы гипофиза
Опухоль гипофиза характеризуется как образование доброкачественной этиологии. Ее локализация – район турецкого седла. Учитывая наличие широкого спектра разновидностей неоплазии гипофиза, в целях их идентификации и дифференциации сформирован классификатор аденом гипофиза. Исходя из него, опухоли разграничивают по следующим особенностям:
По гормональной интенсивности:
- Активные – тиреотропинома (гиперпродуцирование гормона ТТГ, вызывающее нарушение функций щитовидной железы); кортикотропинома (повышенная секреция адренокортикотропина порождающая нейроэндокринную болезнь, при которой увеличивается продукция гормонов коры надпочечников); пролактинома; соматотропин, провоцирующий акромегалию (утолщение черепа, кистей и стоп); неоднородные опухоли, вырабатывающие несколько гормонов.
- Неактивные – хромофобная аденома (гормонально неактивные клетки не вызывающие нарушения эндокринной железы) и онкоцитома (неоплазия злокачественного генеза);
Характер разрастания по направлению к области клиновидной пазухи:
- Интраселлярная микропролактинома – локализуется только в пределах области турецкого седла и не превышает в своем размере 10 мм;
- Экстраселлярная макропролактинома – разрастается за пределы гипофизного углубления и достигает в объеме более 1 сантиметра;
- Инфраселлярные – наклонение опухоли к турецкому седлу;
- Латеральные – рост образования в стороны;
- Супраселлярные – разрастание опухоли вверх;
- Ретроселлярные – рост опухоли назад;
- Антеселлярные – движение опухоли вперед.
Как показывает клиническая практика, связи между величиной опухоли и временем ее роста не прослеживается, определяющим фактором в данном случае выступает скорость деления клеток аденомы. Большие опухоли могут образоваться за сравнительно небольшой промежуток времени, в то время как микроаденома может развиваться очень длительное время. Примечательно, что клетки крупных аденом у представителей мужского пола наиболее склоны к делению, нежели таковые у женщин.
Почему возникает заболевание?
Обусловленность данной разновидности болезни до сих пор остается не до конца изученной, и ученые-генетики все еще продолжают исследования факторов, способствующих развитию пролактинемии. Среди уже известных причин выделяются:
- Патологические нарушения в гормональной системе, вызванные функциональным сбоем работы эндокринных желез. Эта проблема возникает, в основном, в период полового созревания, состояния беременности и климактерического синдрома. Подобные нарушения провоцируют образование неактивных опухолевидных процессов;
- Травмы головного мозга влекут за собой нарушение кровообращения в области гипофиза, что вызывает сбои в процессе деления и создания клеток;
- Неблагоприятная наследственность (пять процентов больных пролактиномой имеют в своем роду подобный диагноз). Это преимущественно связано с излишним продуцированием гормонов поджелудочной и паращитовидной железами, а также многочисленными язвами.
- Инфекции нейроэндокринной системы: осложнения после ОРВИ, вирус герпеса, менингит, сифилис (венерическое заболевание), энцефалит (воспаление головного мозга в результате инфекционных микроорганизмов), туберкулез и бруцеллез (заразная болезнь, передающаяся от животных к человеку);
- Генная мутация.
Пролактинома — это опухоль гипофиза, которая приводит к избыточной выработке пролактина, гормона, отвечающего за лактацию и репродуктивные функции. Люди, страдающие от этого заболевания, часто отмечают симптомы, такие как нерегулярные менструации, бесплодие, головные боли и проблемы со зрением. Избыток пролактина может вызывать галакторею — выделение молока у женщин, не находящихся в послеродовом периоде, а также снижение либидо у мужчин. Лечение пролактиномы обычно включает применение препаратов, таких как бромокриптин или каберголин, которые помогают снизить уровень гормона и уменьшить размер опухоли. Важно также учитывать, что недостаток пролактина может привести к проблемам с лактацией и нарушению менструального цикла. Поэтому при появлении подозрительных симптомов стоит обратиться к врачу для диагностики и назначения адекватного лечения.

Симптоматика пролактиномы
Проявления рассматриваемого заболевания зависят от того, чем оно вызывается – гипофункцией пролактина или местным сдавливанием ткани мозга. При этом, расстройства психоэмоционального характера и локальные проявления неоплазии одинаково проявляются как мужчин, так и у женщин, разная симптоматика будет наблюдаться в гормональном плане.
Какие симптомы возникают у женщин?
В детородном возрасте признаки заболевания сводятся к нарушениям овуляционого процесса и сбоям в менструации, выделениям из груди, а также невозможностью зачать ребенка. Такие явные проблемы позволяют диагностировать заболевание на ранних стадиях его развития. Перечисленные симптомы возникают как по отдельности, так и в комплексе.
- Галакторея – выделение жидкости из груди как при нажиме на область сосков, так и самопроизвольно. При диагнозе пролактинома галакторея обычно бывает двусторонняя с одновременным развитием мастопатии;
- Нерегулярный менструальный цикл. Повышение пролактина провоцирует нарушение 2 гормонов — прогестрона и фоллитропина, что приводит к проблемам с овуляцией. Это, в частности, проявляется в: существенном удлинении цикла менструации от 35 дней до трех месяцев; непродолжительном менструальном кровотечении (1-2 дня), сменяющимся обильными месячными; отсутствии менструаций; маточными кровотечениями в промежутке между циклами;
- Снижение полового влечения, в результате понижения гормона эстрогена. При таком состоянии, влагалище утрачивает способность выделять смазку, вследствие чего во время полового акта женщина испытывает боль;
- Невозможность забеременеть, как следствие нарушение работы яичников;
- Появление угрей на лице, в связи с увеличением выработки мужских гормонов;
- Повышенная волосатость (как у мужчин) на подбородке, губах, в зоне живота и спины, а также около сосков. Увеличенный в крови пролактин начинает усиливать работу надпочечников, отвечающих за выработку гормонов характерных для мужчин;
- Маленькие размеры органов малого таза, особенно свойственные, при таком заболевании, молодым девочкам, у которых диагностируется «детская матка», нестандартный размер половых органов;
- Остеопороз. Поскольку при заболевании пролактиномой происходит вымывание кальция из костной ткани, кости становятся очень хрупкими и подвержены частым повреждениям;
- Изменения эмоционального фона, выражающиеся в апатии, постоянной депрессии, чрезмерной нервной возбудимости, резкой смене настроения, нарушении концентрации внимания и процессов запоминания, усталости и беспокойном сне;
- Задержка жидкости в организме и увеличение веса.
Признаки развития пролактиномы у мужчин
Выявить данное заболевание у мужчин намного сложнее, поскольку симптомы видны уже на поздних сроках развития аденомы. Превышение нормы пролактина вызывает пониженную выработку тестостерона, что проявляется в следующем:
- Увеличение грудной железы у мужчин (пролактиновое гино);
- Отсутствие сексуального влечения как реакция организма на уменьшение гормона тестостерона;
- Проблемы с психосферой в виде хронического плохого настроения, угнетенности, раздражительности, снижения памяти и внимания;
- Недоразвитие половых признаков. Показателями являются: маленький размер парных мужских органов (яички), вырабатывающих половые клетки; внешняя моложавость лица; неширокие плечи; ожирение в районе малого таза, нижней части живота, бедер и ягодиц; негустые волосы на лицевой части;
- Ранние признаки импотенции, когда появляются проблемы с эрекцией, мочеиспусканием и жизнедеятельностью сперматозоидов;
- Бесплодие, возникающее вследствие сокращения объема спермы и малоподвижности сперматозоидов.
Особенность давления опухоли на мозг
Симптомы возникают тогда, когда размер образования разрастается за границы турецкого седла и становится больше 10 миллиметров. При этом, наблюдается:
- Проблема со зрением, когда происходит раздваивание в глазах, притупляется возможность видеть остро и четко, появляется косоглазие и темные пятна в поле зрения и снижается зрительное восприятие яркости цветов;
- Постоянная головная боль с преимущественной локализацией в височной зоне;
- Болевой синдром в лицевой части, в особенности по уголкам глаз, в щеках, по краям носа, в области губ. При этом, мимика не нарушается.
Характерным симптомом такого заболевания может также стать острый инфаркт гипофизарного образования, который проявляется спонтанной резкой болью в районе головы, позывами к рвоте и спутанностью сознания. При идентификации симптоматики пролактиномы важно знать, что иногда повышение пролактина может быть вызвано обыкновенными причинами, среди которых, потребление обогащенной белками еды, сокращение глюкозы в крови, период покоя, эмоциональный всплеск, физические нагрузки и хирургическое вмешательство.
Кроме того, концентрация пролактина варьируется в зависимости от применения определенной группы медикаментов, среди которых препараты антипсихотического действия, подавляющие рвотный рефлекс, противоязвенные и гормональные.
Как диагностировать пролактиному?
Чтобы исключить или подтвердить наличие рассматриваемого заболевания рекомендуется провести внутреннее исследование костной и мягкой ткани головного мозга посредством:
- Рентгенографического снимка кости черепа прямо и по бокам. В данном случае, симптомами наличия пролактиномы будет увеличение объема и трансформация формы самого турецкого седла;
- Компьютерной томографии, позволяющей оценить степень разрушения кости черепа;
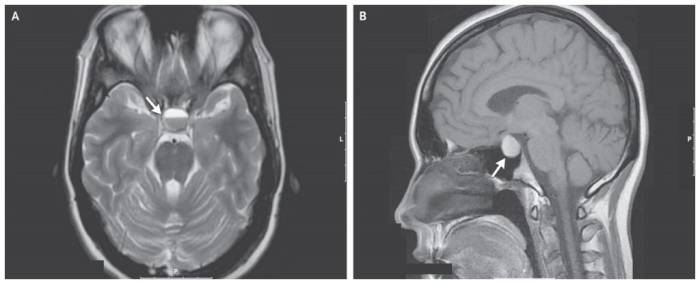
- Магнитно-резонансной томографии (МРТ) при повышенном пролактине, с использованием контрастного вещества для более детального изучения структуры аденомы гипофиза и ее разрастания;
- Обращения к офтальмологу, поскольку давление на зрительные нервы сразу делает диск глаза белесого цвета и приводит к потере остроты зрения (чаще одного глаза) и консультации у мамолога с проведением УЗИ и мамографии;
- Сдачи анализа на выявление степени причастных к данному заболеванию гормонов в крови – наличие опухоли диагностируется, если пролактин выше 200 нг/л. Тест на определение уровня пролактина делается не меньше 3 раз;
Методы лечения заболевания
Как же лечить эту болезнь? Лечение пролактиномы осуществляется гинекологами совместно со специалистами эндокринологами. В этих целях назначаются дофаминомиметики, задача которых довести уровень пролактина до нормы, восстановить менструацию и активность сперматозоидов, стимулировать деятельность гипофиза. Эта группа медикаментов уже через две-четыре недели позволяет минимизировать размер пролактиномы и остановить развитие болезни. В число таких препаратов входят Достинекс, Абергин, Квинаголид, Бромокриптин, Пролонгин.
Выбор лекарств от этой болезни и их дозировка должны производится в индивидуальном порядке, поскольку в ином случае лечение может не дать должного эффекта, и даже привести к очень неприятным побочным последствиям. Для определения эффективности указанных медикаментов рекомендуется раз в месяц тестировать уровень пролактина.

Сегодня, более безопасной и действенной заменой использованию луча, считается радиохирургия (сфокусированный пучок ионизирующего излучения строго на клетки опухоли), позволяющая избежать повреждение соседних с пролактиномой органов. Данный метод используется, если размер пролактиномы составляет от 4 до 22 мм.
Хирургическое вмешательство показано к применению при: продолжающемся росте аденомы на фоне применения агонистами дофаминовых рецепторов и при беременности, серьезном поражении зрения, некрозе опухоли вследствие геморогии. Не рекомендуется проводить операцию в случае: воспалительных процессов в пазухах носа и лобной части, наличия серьезной патологии в дыхательной, сердечно-сосудистой и почечной системах.
Современная хирургия отдает предпочтение (в 70% случаев) эндоскопическому транссфеноидальному удалению опухоли (через пазухи носа), что позволяет не затрагивать головной мозг, являясь более щадящей процедурой, нежели трепанация черепа (метод используют тогда, когда опухоль становится огромных размеров или если больной имеет нестандартное строение костей лицевой части).
Насколько эффективен хирургический способ лечения?
Если задаться вопросом, можно ли вылечить пролактиному методом хирургии, то здесь все зависит от ее размеров – удаление микроаденомы обеспечивает практически стопроцентный положительный результат, в то время как, макроаденома в размере от одного до трех сантиметров лишь до 80%. Когда же пролактинома является чрезмерно большой и не может быть отсечена, единственной задачей врачей становится ее уменьшение. Индикатором успешности хирургической процедуры является нормализация степени пролактина через одни сутки после операции.
Учитывая, что современная медицина до сих пор не установила однозначную причину развития данной болезни, единственной профилактической мерой является периодический контроль за уровнем пролактина (2 раза в год), прохождение томографии (1 раз в год) и наблюдение у врача-окулиста.
Видео по теме: Гормон пролактин

Вопрос-ответ
Какие симптомы могут указывать на наличие пролактиномы?
Симптомы пролактиномы могут включать нерегулярные менструации или их отсутствие у женщин, галакторею (выделение молока из груди), снижение либидо и эректильную дисфункцию у мужчин, а также головные боли и проблемы со зрением, если опухоль давит на зрительные нервы.
Как диагностируется избыток пролактина в организме?
Диагностика избытка пролактина обычно начинается с анализа крови на уровень пролактина. Если уровень повышен, могут быть назначены дополнительные исследования, такие как МРТ или КТ, для выявления пролактиномы или других причин повышения пролактина.
Какие методы лечения используются для коррекции недостатка пролактина?
Лечение недостатка пролактина может включать гормональную терапию, направленную на восстановление нормального уровня этого гормона. В некоторых случаях может потребоваться лечение основного заболевания, если недостаток пролактина вызван другим медицинским состоянием. Конкретный подход зависит от причины и индивидуальных особенностей пациента.
Советы
СОВЕТ №1
Регулярно проходите медицинские обследования, особенно если у вас есть симптомы, такие как изменения в менструальном цикле, бесплодие или проблемы с либидо. Это поможет своевременно выявить возможные нарушения уровня пролактина и другие гормональные дисбалансы.
СОВЕТ №2
Обратите внимание на свое питание и образ жизни. Употребление продуктов, богатых витаминами и минералами, а также регулярные физические нагрузки могут помочь поддерживать гормональный баланс и снизить риск развития пролактиномы.
СОВЕТ №3
Если у вас уже диагностирована пролактинома, следуйте рекомендациям врача и не прерывайте курс лечения. Регулярные контрольные анализы помогут отслеживать уровень пролактина и эффективность терапии.
СОВЕТ №4
Не стесняйтесь обращаться за поддержкой к специалистам, таким как эндокринологи или психотерапевты, если вы испытываете эмоциональные или психологические трудности, связанные с вашим состоянием. Психологическое здоровье также важно для общего благополучия.





