
Причины заболевания
Врачами до конца не изучены причины возникновения рака в почках, но победить рак вполне возможно.
К возможным причинам образования опухоли в почках можно считать:
- Пожилые мужчины возрастом от 60 лет находятся в группе риска;
Курение. У курящих людей риск образования рака почки возрастает на 60%.
- Избыточный вес;
- Повышенное артериальное давление;
- Сахарный диабет;
- Почечная недостаточность или поликистоз;
- Прием мочегонных препаратов, а также некоторых анальгетиков, антибиотиков и других препаратов, выводящихся из организма с мочой;
- Вредные условия труда, контакт с нефтепродуктами, ионизирующее облучение;
- Наследственная предрасположенность. Риск приобретения рака почек возрастает, если в истории болезни у ближайших родственников диагностировали рак почки, особенно у братьев или сестер;
- Синдром Гиппеля-Линдау.
Врачи отмечают, что продолжительность жизни пациентов с раком почек зависит от стадии заболевания и общего состояния здоровья. На ранних стадиях, когда рак ограничен почкой, пятилетняя выживаемость может достигать 90%. Однако при распространении на лимфатические узлы или другие органы этот показатель значительно снижается. Признаки рака почек часто включают кровь в моче, боли в пояснице и потерю веса. Важно, что ранняя диагностика и своевременное лечение могут существенно улучшить прогноз. Специалисты подчеркивают необходимость регулярных медицинских осмотров, особенно для людей с факторами риска, такими как курение и ожирение.

Виды злокачественных опухолей в почках. Что такое почечно-клеточный рак.
Почки – это парный орган, находится в забрюшинном пространстве. Очищение организма их главная задача. Почки очищают организм от токсичных продуктов, поддерживает артериальное давление.
Рак в почках локализируется в левой или правой почке, возможно сразу в обеих. В самой почке рак развивается в паренхиме или в лоханке почки. Рак в почках образуется чаще всего в паренхиме почек. К ним относится: почечно-клеточный рак, Опухоль Вильмса, саркома.

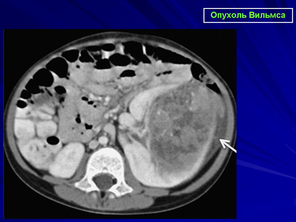
Опухоль Вильмса — это нефробластома(nefro — почка, bl –ma – опухоль), которая встречается у 7 детей из 1 миллиона по всему миру, в возрасте до 5 лет. Встречается среди девочек и мальчиков одинаково. Из-за генетической мутации происходит ненормальный агрессивный рост клеток в паренхиме почки. Ее можно вылечить в 90% случаев.
Светлоклеточный рак или гипернефрома. Ее еще называют аденокарцинома. Образовывается из эпителиальных клеток паренхимы почек. Гипернефроидный рак склонен к быстрому развитию до объемных образований в левой почке или правой почке. Опухоль задевает и давит на паренхиму почки. Ситуация усугубляется от ожирения, сахарного диабета. Отличается от остальных разновидностей рака наличием своеобразной капсулы вокруг опухоли. С ростом опухоли, капсула пропадает.
Также встречаются более редкие разновидности почечно-клеточного рака:
- Папиллярный рак (развивается из клеток выстилающих лоханку почки);
- Хромофобный (развивается из крупных эпителиальных клеток).

По степени злокачественности клетки в отличие от здоровых клеток опухолевую ткань разделяют на 5 типов. G1 – опухоль высоко дифференцирована, G2 – дифференцирована умеренно, G3 – низко дифференцирована, G4 – не дифференцирована, GX – степень дифференцирование определить не возможно.
С помощью всемирной классификации TNM c-r staging (T — первичная опухоль (тумор), N — регионарные лимфатические узлы, М — отдаленные метастазы) онкологические заболевания можно разделить на степени распространения опухоли в почках.
Согласно этой классификации можно определить стадию развития опухоли:
- Первая стадия характеризуется небольшими размерами опухоли (менее 7см в диаметре), опухоль не покинула орган. Скорость роста опухоли медленная.
- На второй стадии опухоль увеличивается, становится более 7 см, опухоль все еще не покинула орган. Заражение лимфоузлов не присутствует.
- На третьей стадии опухоль прорастает в крупные сосуды и проникает в лимфоузлы.
На четвертой стадии появляются отдаленные метастазы в печени, легких, костях, надпочечнике, а также мозге. Происходит распад и некроз опухолевых узлов, из-за этого повышается температура, присутствует лихорадка.
На четвертой стадии метастазирование происходит лимфогенным (через лимфу) и гематогенным путем (через кровь), сопровождается нестерпимыми болями в органах с метастазами.
Видео по теме:

Рак почек — это серьезное заболевание, и многие люди задаются вопросом о продолжительности жизни с этой болезнью. Важно понимать, что прогноз зависит от стадии рака, общего состояния здоровья пациента и своевременности лечения. На ранних стадиях, когда рак ограничен почкой, пятилетняя выживаемость может достигать 90%. Однако на более поздних стадиях, когда рак распространяется на другие органы, этот показатель значительно снижается.
Признаки рака почек могут быть неочевидными. Часто пациенты отмечают кровь в моче, боли в пояснице, потерю веса и усталость. Эти симптомы могут быть связаны и с другими заболеваниями, поэтому важно не игнорировать их и обращаться к врачу. Ранняя диагностика и лечение играют ключевую роль в повышении шансов на успешное выздоровление. Поддержка близких и психологическая помощь также важны для пациентов, сталкивающихся с этой болезнью.

Проявления рака почки
К сожалению, рак почки на ранних стадиях протекает совсем незаметно, признаки не дают о себе знать долгое время.
Уже на поздних стадиях при раке почки проявляются симптомы:
- Наличие кровяных сгустков в моче (гематурия);
- Ощутимое уплотнение;
- Боль в области почек.

Врач может заметить припухлость и уплотнение в брюшной полости при пальпации. Они сильнее заметны у худощавых людей. Больной жалуется на тупые ноющие боли, которые при росте опухоли усиливаются, и становятся постоянными. Сдавливание нижней полой вены (Варикоз, варикоцеле, тромбоз вен нижних конечностей).
К другим характерным признакам заболевания можно отнести повышение артериального давления, анемию, возможны гиперкальциемия, гипогликемия. При метастазах проявляется боль в костях, кашель с кровью — при поражении легких, а также желтуха и невралгические нарушения.
У женщин к симптомам относят также повышенную температуру, изменение состояния кожи, образование родинок и бородавок, которые постоянное меняют внешний вид и размеры.
Если вы заметили хоть один признак из вышеперечисленных, следует немедленно делать диагностику, и выявлять причины данных симптомов.
Диагностика
Диагностику проводят следующими методами:
- УЗИ (ультразвуковое исследование);
Компьютерная томография (КТ), Магнитно-резонансная томография (МРТ);
- Пункционная биопсия опухоли (забор кусочка опухолевой ткани для гистологического исследования);
- Внутривенная урография (рентгенологическое исследование с контрастным веществом в вены);
- Ангиография (рентгенологическое исследование с контрастным веществом);
- Радиоизотопная сцинтиграфия (введение радиофармацевтического препарата в костную ткань);
- Общий анализ крови, с определением уровня эритроцитов, и наличия лейкоцитоза, повышения СОЭ;
- Общий анализ мочи на наличие крови или других примесей.
Как лечить опухоль
Лечение рака почек зависит от стадии рака, размера опухоли, наличия метастазов. В большинстве случаев в онкологии врач использует хирургическое вмешательство вместе с другими видами лечения. Хирургическое вмешательство считается самым эффективным в лечении рака в почках. Без операции излечить рак почки невозможно.
На почках проводят: нефрэктомию и резекцию.

Резекция – это частичное удаление почки, где находится сама опухоль. Почка удаляется на треть или наполовину. Применяется, когда опухоль не превышает 4 сантиметров в диаметре и в случае нарушения функционирования второй почки.
Одиночные метастазы также удаляют хирургически. На множественные метастазы используют химиотерапию и иммунотерапию.
Химиотерапия при раке почки практически не используется, так как показала свою неэффективность.
Лучевая терапия как вариант лечения рака почки очень редко. Опухоль не чувствительна к облучению. Облучение используют для облегчения болей при метастазировании в кости и головной мозг. Стоит отметить, что облучение хорошо влияет на опухоль Вильмса у детей, но радиоактивное излучение имеет плохие последствия в развитии ребенка.
Иммунотерапия – это терапия, проводимая при лечении рака почки, для увеличения сопротивляемости организма к раковым клеткам. Используется на последних стадиях рака. Существуют случаи регресса рака почки у больных с метастазами. Иммунотерапию могут прекратить вследствие большого количества побочных эффектов. К ним относятся: тошнота, рвота, лихорадка, снижение веса, снижение аппетита, головные и мышечные боли, усталость.

Прогноз выздоровления при раке почек
Выявление заболевания на первых стадиях позволяет добиться выздоровления в 90% случаев.
На второй стадии, при комплексном лечении, прогноз составляет около 60-70% выздоровлений. Благодаря тому, что на второй стадии 
К сожалению, рак выдает свои признаки уже на поздних стадиях. И больной обращается к врачу с симптомами на третьей стадии, когда рак начинает метастазировать. Прогноз выживаемости по статистике составляет около 50%.
Рак почки очень агрессивный вид рака, и очень часто проявляется рецидив или вторичный рак в отдаленных метастазах. Поэтому сказать, сколько живут больные на четвертой стадии не, сможет сказать ни один врач.
Профилактика рака
Врачами еще точно не определены причины проявления рака почек, соответственно трудно сказать какие профилактические меры стоит предпринимать. Определенно, что пойдет вам на пользу – это отказ от курения. Так же желательно перейти на здоровое питание, и следить за своим артериальным давлением.
Вопрос-ответ
Каковы основные стадии рака почек?
Рак почек обычно классифицируется на четыре стадии. На первой стадии опухоль небольшая и не распространяется за пределы почки. На второй стадии опухоль может быть больше, но также остается в пределах почки. На третьей стадии рак может распространиться на близлежащие лимфатические узлы. На четвертой стадии рак может метастазировать в другие органы, такие как легкие или печень, что делает его более сложным для лечения.
Какие симптомы могут указывать на рак почек?
Симптомы рака почек могут включать кровь в моче, боль в пояснице, потерю веса без видимой причины, усталость и увеличение живота. Однако многие из этих симптомов могут быть связаны с другими заболеваниями, поэтому важно обратиться к врачу для диагностики.
Какова средняя продолжительность жизни пациентов с раком почек?
Продолжительность жизни пациентов с раком почек зависит от стадии заболевания и общего состояния здоровья. В среднем, пятилетняя выживаемость для ранних стадий (I и II) может достигать 70-90%, тогда как для более поздних стадий (III и IV) она значительно снижается и может составлять 10-30%. Однако каждый случай индивидуален, и важно обсудить прогноз с врачом.
Советы
СОВЕТ №1
Регулярно проходите медицинские осмотры и обследования, особенно если у вас есть предрасположенность к заболеваниям почек. Раннее выявление рака почек может значительно повысить шансы на успешное лечение.
СОВЕТ №2
Обратите внимание на симптомы, такие как кровь в моче, боль в пояснице или боках, а также резкое снижение веса. Если вы заметили что-то необычное, не откладывайте визит к врачу.
СОВЕТ №3
Поддерживайте здоровый образ жизни: сбалансированное питание, регулярные физические нагрузки и отказ от курения могут снизить риск развития рака почек и других заболеваний.
СОВЕТ №4
Не стесняйтесь задавать вопросы своему врачу о стадиях рака почек и возможных вариантах лечения. Понимание вашего состояния поможет вам принимать более осознанные решения о лечении и уходе за собой.
Курение. У курящих людей риск образования рака почки возрастает на 60%.
На четвертой стадии появляются отдаленные метастазы в печени, легких, костях, надпочечнике, а также мозге. Происходит распад и некроз опухолевых узлов, из-за этого повышается температура, присутствует лихорадка.
Компьютерная томография (КТ), Магнитно-резонансная томография (МРТ);