
Хондрома диагностируется почти в 15% случаев всех опухолей скелета. Может встречаться у пациентов любого возраста обоих полов. Но чаще всего бывает у подростков и молодых людей (10-25 лет). Пиком заболеваемости считается 12-15-летний возраст.
В онкологии заболевание считается потенциально опасным, так как опухоль способна перерождаться в злокачественную. Это происходит примерно в 10% случаев, и тогда новообразование называется хондросаркомой.
Описание
Хондрома (Chondroma) может образоваться на любых костях, чаще всего поражает трубчатые кости кисти. В некоторых случаях формируется на хрящах гортани или в мягких тканях, в хрящевых тканях в носу и в области основания черепа. Кроме этого, частым местом локализации опухоли являются ключицы и грудина (от рукоятки до мечевидного отростка), кости стопы, бедренной кости и коленного сустава. При поражении трубчатой кости часто возникают узловатые деформации, и появляется большая вероятность патологического перелома кости.
В процессе развития опухоли она разрушает костные ткани. А в случаях, когда хондрома расположена в области основания черепа, ею может сдавливаться головной мозг. Первые симптомы болезни появляются, когда новообразование достигает больших размеров и начинает оказывать механическое воздействие на прилегающие мягкие ткани и органы. Если хондрома локализуется рядом с суставом, например, нарост на запястье, то она может нарушать его подвижность. Чаще всего новообразование бывает одиночным (солитарным). Код хондромы как доброкачественного новообразования костей и суставных хрящей по МКБ-10 – D-16.
гигрома кисти
Часто встречается такое заболевание хрящей, как костохондрит (межрёберная невралгия, рёберный хондрит). Проявляется воспалением хрящей, которые соединяют грудину и рёбра. Считается самой не опасной и широко распространённой причиной ощущения боли в грудной клетке. Диагностируется в основном у женщин старше 30 лет.
Симптомы костохондрита довольно расплывчаты:
тупые боли в области грудины, усиливающиеся при кашле, чихании, вдохе, движении;
- одышка;
- ощущение болезненности при пальпации;
- боль может напоминать приступ ишемической болезни сердца или стенокардии;
- поднимается температура в месте локализации, покраснение, небольшая отёчность;
- повышенная тревожность, депрессия, страх.
Хондрома представляет собой доброкачественную опухоль, образующуюся из хрящевой ткани. Врачи отмечают, что данное образование чаще всего встречается в костях, особенно в области суставов, и может проявляться в любом возрасте, хотя наиболее часто диагностируется у молодых людей. Специалисты подчеркивают, что хондромы обычно растут медленно и могут долгое время не вызывать симптомов. Однако в некоторых случаях они могут приводить к болям, отекам и ограничению подвижности в пораженной области. Врачи рекомендуют регулярные обследования для мониторинга состояния хондромы, так как в редких случаях она может трансформироваться в злокачественную опухоль. Лечение хондромы обычно включает хирургическое удаление, что позволяет избежать возможных осложнений и улучшить качество жизни пациента.

Причины
Причины возникновения хондромы до сих пор точно не выяснены, но существуют несколько факторов, предположительно влияющих на появление этой опухоли:
- наследственная (генетическая) предрасположенность;
- возраст – в большинстве случаев это подростки и молодые люди от 10 до 25 лет;
- воспалительные процессы в костных тканях;
- травмы.
Иногда хондрома может развиться из-за нарушения внутриутробного развития во время формирования скелета плода, или в первые годы жизни ребёнка в процессе роста костей.
Редкая группа врождённых аномалий опорно-двигательного аппарата – ахондрогенез. Это группа наследственных заболеваний, при которых резко нарушается процесс окостенения — укорочены конечности, недоразвиты рёбра, кости грудной клетки и позвоночника. В наиболее тяжёлых случаях дети умирают ещё до рождения или вскоре после рождения из-за дыхательной недостаточности.
Хондроматоз — болезнь суставной капсулы. От влияния некоторых факторов синовиальная оболочка капсулы перерождается, и на некоторых ее участках образуются островки хрящевой ткани. Они называются хондромным телом. Хондроматоз может перерождаться в хондросаркому.
Разновидности
Хондромы могут быть как доброкачественными, так и злокачественными. Обычно встречаются доброкачественные новообразования. Они отличаются очень медленным ростом и развиваются без явной симптоматики. Подобные опухоли могут развиваться в течение многих лет и не перерождаться в злокачественный вид.
Злокачественные хондромы в большинстве случаев образуются в области плечевой или бедренной кости. В некоторых случаях перерождаться в злокачественную форму могут опухоли, находящиеся в области таза или грудины (гортани).

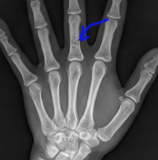
Энхондромы (центральные) – самый распространённый вид хрящевых опухолей. Локализуются в местах, где в норме нет хрящевых тканей, и располагаются внутри кости. Предполагается, что новообразование формируется из остатков хрящевых пластинок, которые со временем постепенно увеличиваются. В процессе развития энхондромы деформируют кость, распирая её изнутри. Обычно образуются в костях кисти (на фалангах пальцев) и стопы. Реже встречаются в подкожной клетчатке и межмышечной ткани, в яичках, в молочной и подчелюстной железе, в околоушной и слёзной железе, в головном мозге, лёгких и яичниках. Чаще всего энхондромы бывают одиночными, но встречаются и множественные – энхондроматоз, который называется ещё болезнью Оллье.
Ещё одна разновидность хондромы – остеохондрома. Это распространённая костная опухоль доброкачественного характера. Обычно формируется в длинных трубчатых костях (плечевых, бедренных, большеберцовых). Новообразование большого размера может деформировать соседние кости. Возможно перерождение в злокачественный вид.
Хондробластома – редкое новообразование (менее 2% первичных опухолей костей). Возникает обычно у ребёнка в большеберцовой, бедренной и плечевой кости, в редких случаях в лопатке и в костях таза.
Хондрома — это доброкачественная опухоль, образующаяся из хрящевой ткани. Многие люди, столкнувшиеся с этой проблемой, отмечают, что симптомы могут быть неочевидными. Часто хондромы обнаруживаются случайно при рентгенографическом исследовании, так как они могут не вызывать боли или дискомфорта. Однако некоторые пациенты сообщают о болях в области опухоли, особенно при физической активности. Важно отметить, что хондромы могут возникать в различных частях тела, включая кости и суставы. Люди делятся опытом, что лечение может варьироваться от наблюдения до хирургического вмешательства, в зависимости от размера и расположения опухоли. Многие подчеркивают важность регулярных медицинских осмотров для своевременного выявления и контроля за состоянием.

Симптомы
На ранних стадиях, хондрома развивается без проявления видимых явных симптомов. Признаки болезни появляются постепенно. Самым первым симптомом хондромы является ощущение боли, а также утолщение в месте нахождения опухоли.
По причине медленного развития болезни, признаки могут проявляться в течение долгого времени и не замечаться больным. Это основная причина позднего выявления хондромы, что часто вызывает осложнения. Когда новообразование значительно разрослось, оно начинает деформировать костные ткани. В случаях, когда хондрома локализуется на кистях рук (шишка на пальце) или на стопах, то нарушает их двигательные функции.
При локализации хондромы на длинных костях рук или ног, то характер боли зависит от места расположения опухоли и от глубины поражения ею близко расположенного крупного сустава. Чем ближе к суставу расположен опухолевый очаг, тем сильнее ощущается боль. Несмотря на то, что хондромы растут медленно, они могут развиваться до больших размеров и внушительной массы.
Типичные признаки хондромы возникают только на развитой запущенной стадии болезни. К симптомам хондромы причисляют:
- прогрессирующий болевой синдром (ноющие боли);
- иррадиирующие боли в соседних суставах;
- нарушается подвижность суставов;
- ломкость костей, патологические переломы костей.

Проявления симптомов становятся ярче при разрастании новообразования до больших размеров. Хондромы с локализацией в области трахеи, в пазухах носа и внутри черепа, сдавливая соседние ткани и органы, вызывают болевые синдромы и нарушения дыхания. Опухоли, находящиеся на рёбрах и в грудине, могут распространяться в плевру и поражать нервные волокна. В подобных случаях, у пациентов деформируется грудная клетка, и возникают боли в области рёбер.
Диагностика
Энхондрому в костях скелета, кроме области основания черепа, можно выявить обычным рентгенологическим исследованием. Например, при локализации подобной опухоли на рёберной дуге слева, сделав рентген, можно увидеть очаг дисплазии и кистозную опухоль. Экхондрома не рентгеноконтрастна, её невозможно разглядеть на рентгеновских снимках на фоне мягких тканей.
Кроме рентгена обычно назначаются следующие исследования:
- КТ;
- МРТ;
- биопсия;
- микропрепарат – исследование под микроскопом предметного стекла с расположенным над ним объектом.

Лечение
Чаще всего для лечения хондромы требуется хирургическая операция. Основная цель терапии – остановить рост новообразования и предотвратить рецидивы заболевания. Хирургическим вмешательством хондрому удаляют в любой части организма. Если новообразование локализовано около головного мозга, удалить опухоль можно без анестезии и без рассечения. В этом случае во время операции применяют кибер-нож. Наиболее подходящий вариант лечения рекомендуется, опираясь на результаты инструментальных исследований, возраст пациента и степень развития новообразования.
Лечение хондромы проводится тремя основными методами:
- хирургическая (радикальная) операция – удаление опухоли вместе с поражённой костью;
лучевая терапия – рекомендуется в случае риска осложнений или имеющихся противопоказаний. Облучение проводят, если больному по каким-то причинам нельзя делать операцию. Чаще всего назначается пациентам с опухолью в области основания черепа;
- химиотерапия – применяется как до хирургического вмешательства, так и после него. Рекомендуется пациентам с хондросаркомами для уничтожения метастазов.
Внимание! Независимо оттого, что хондромы чаще всего являются доброкачественными новообразованиями, лечить их необходимо в специализированной медицинской клинике под наблюдением врачей-онкологов. Прогноз выживаемости при грамотном лечении чаще всего положительный.
Для лечения хондромы широко применяются и народные средства. Но перед тем как использовать тот или иной рецепт народной медицины, необходимо посоветоваться с лечащим врачом.
Отзывы
Ольга, 60 лет. Меня долго мучили боли в правом колене. Хирург по месту жительства лечил артроз коленного сустава. В клинике было установлено, что у меня энхондрома. Сделали операцию, боль прошла.
Евгений, 30 лет. 5 лет назад оперировался по поводу второй плюсневой кости правой стопы. Биопсия определила доброкачественность. Наблюдаюсь в поликлинике. Хирург говорит, что рецидива быть не должно.
Татьяна,25 лет. Из-за хондромы пястной кости правой кисти у меня был осколочный перелом от лёгкой травмы. Перелом оперировали, а через 6 месяцев была операция по пересадке кости. Через год контроль.
Вопрос-ответ
Как лечить хондрому?
Лечение хондром обычно осуществляется исключительно хирургическим методом. Это включает в себя удаление опухоли методом экскохлеации, а также резекцию кости с последующей костной пластикой.
Чем опасна хондрома?
Опухоль нужно обязательно удалять, даже если она не доставляет боли или дискомфорта, не влияет на качество жизни. Кроме того, что есть риск перерождения в злокачественный процесс, осложнением может стать истончение костной ткани и, как следствие, частые патологические переломы.
Какой врач лечит хондрому?
Лечением данного заболевания занимается травматолог-ортопед. Энхондрома – медленно растущее доброкачественное новообразование хрящевой ткани.
Как быстро растет хондрома?
Растет медленно. Прогноз в большинстве случаев благоприятный. В практике травматологов и ортопедов такая опухоль встречается часто (более 10% от всех новообразований костей). Ее обычно выявляют у молодых людей. Пик приходится на возраст 12-15 лет.
Советы
СОВЕТ №1
Изучите симптомы хондромы. Обратите внимание на любые необычные боли или опухоли в области суставов или костей, так как это может быть признаком хондромы. Ранняя диагностика важна для эффективного лечения.
СОВЕТ №2
Регулярно проходите медицинские обследования. Если у вас есть предрасположенность к опухолям или заболеваниям костей, регулярные осмотры помогут выявить хондрому на ранней стадии и предотвратить возможные осложнения.
СОВЕТ №3
Обсудите с врачом возможные методы лечения. Если у вас диагностирована хондрома, важно знать о доступных вариантах лечения, включая хирургическое вмешательство, наблюдение или другие терапевтические подходы, чтобы выбрать наиболее подходящий для вас.
СОВЕТ №4
Поддерживайте здоровый образ жизни. Правильное питание и регулярные физические упражнения могут помочь укрепить кости и суставы, что может снизить риск развития опухолей, включая хондрому.
тупые боли в области грудины, усиливающиеся при кашле, чихании, вдохе, движении;
лучевая терапия – рекомендуется в случае риска осложнений или имеющихся противопоказаний. Облучение проводят, если больному по каким-то причинам нельзя делать операцию. Чаще всего назначается пациентам с опухолью в области основания черепа;