Наиболее часто встречающееся новообразование печени злокачественного характера у детей носит название гепатобластома. Обычно гепатобластома у детей выявляется до 5 лет, в основном – на первом году жизни. Новообразование поражает, как правило, правую часть печени.
Что такое гепатобластома
Рак печени, или гепатобластома, относится к низкодифференцированным новообразованиям печени, имеет эмбриональное происхождение, встречается у взрослых довольно редко.
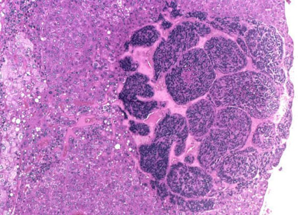
Гепатобластома печени у детей развивается из эмбриональных клеток печени и имеет незрелые гепатоциты, которые находятся в различных стадиях развития и не могут выполнять свои обычные функции. У гепатобластомы сложное строение, так как ткани анормальной области представлены различными клетками, похожими на гепатоциты.
Гепатобластома имеет свой код по Мкб10 — C22.2.
Гепатобластома — это редкая злокачественная опухоль печени, которая чаще всего встречается у детей младше трех лет. Врачи отмечают, что данное заболевание может проявляться различными симптомами, такими как увеличение живота, потеря аппетита, тошнота и желтуха. Диагностика гепатобластомы включает в себя ультразвуковое исследование, компьютерную томографию и анализы крови. Специалисты подчеркивают важность раннего выявления заболевания, так как это значительно увеличивает шансы на успешное лечение. Лечение может включать хирургическое удаление опухоли, химиотерапию и, в некоторых случаях, трансплантацию печени. Врачи призывают родителей быть внимательными к здоровью своих детей и при появлении подозрительных симптомов незамедлительно обращаться за медицинской помощью.

Гепатобластома у детей
Это злокачественное новообразование, сформированное в печени ребенка, очень опасно. Оно имеет низкую степень дифференцирования и высокую степень агрессии, что провоцирует быстрый смертельный исход.
Имея обыкновение формироваться в первые 3 года жизни младенца, опухоль имеет 2 пика заболеваемости, связанные с возрастным распределением. Первый пик приходится на время сразу после появления на свет, а второй — на 16-18 месяцы жизни. Одной из особенностей детской гепатобластомы считается высокая степень агрессии при начале метастазирования после 5 лет, а характер развития опухоли схож с гепатоцеллюлярным раком.
Другие характерные особенности эмбрионального поражения печени:
- поражение печени обычно правостороннее – опухоль образуется в тканях правой доли органа;
- внешне опухоль выглядит как один или несколько узлов, бескапсульного строения, которые имеют плотную структуру желтовато-белого оттенка и могут продуцировать желчь;
- гепатобластома печени имеет дольчатое строение с участками некроза, которые видны на поверхности.
Важно! К опасным особенностям гепатобластомы печени можно отнести бессимптомное течение болезни на первых стадиях развития и предрасположенность к рано развивающимся сильным кровотечениям в печеночную паренхиму. Это несет прямую угрозу жизни ребенка.
Гепатобластома у взрослых
Взрослые подвержены поражению печени таким заболеванием очень редко. Изредка возникновение зародышевых участков озлокачествления обнаруживается у пациентов до 35 лет, у женщин гепатобластома диагностируется чаще, чем у мужчин в 2 раза.
Гепатобластома, развивающаяся у взрослых, как и у детей, имеет свои особенности:
- опухоль имеет один узел довольно крупного размера (до 25 см), локализованный в правой части печеночной паренхимы;
- новообразование часто сопровождается возникновением кист и очагов фиброза (рубцовых трансформаций);
- от здоровых тканей органа опухоль ограничена тонкостенной капсулой.
У взрослых опухоль печени выглядит как зеленовато-коричневая припухлость объемного вида, в паренхиме могут быть следы кровоизлияний и некрозные участки.
Гепатобластома — это редкая форма рака печени, которая чаще всего встречается у детей младше трех лет. Многие родители, столкнувшись с этим диагнозом, испытывают страх и неуверенность. Важно понимать, что это заболевание, хотя и серьезное, но поддается лечению. Врачи отмечают, что ранняя диагностика играет ключевую роль в успешном исходе. Симптомы могут включать увеличение живота, потерю аппетита и общую слабость. Родители делятся своими историями, подчеркивая важность поддержки со стороны медицинских специалистов и близких. Несмотря на трудности, многие семьи находят надежду в современных методах лечения, таких как хирургия и химиотерапия. Обсуждение гепатобластомы в обществе помогает повысить осведомленность и способствует раннему выявлению заболевания.

Классификация гепатобластомы
Рак печени у взрослых и детей обычно классифицируют по гистологическим признакам и делят на 2 морфологические разновидности:
- зародышевый эпителиальный тип. Структура опухоли обозначена 2 типами клеток – фетальными (они мелкие, имеют крупное ядро и склонны к более частому делению) и эмбриональными (они остановили свое развитие на определенном этапе внутриутробного периода и не могут выполнять обычные функции);
- смешанный, эпителиально-мезенхимальный тип. При этом типе в опухоли кроме эпителиальных клеток присутствуют соединительнотканные костные, жировые, хрящевые элементы. Иногда могут также наблюдаться включения микроскопических зародышевых слизистых или мышечных (поперечно-полосатых) структур.
Для назначения оптимального курса терапии и дальнейшего прогноза выживаемости врачу необходимо знать стадию формирования процесса малигнизации. Фазы развития опухоли определяются в зависимости от уровня проникновения новообразования в паренхиму печени, величины опухоли и присутствия метастазов.
Опухолевая структура проходит в своем формировании 4 этапа:
1 стадия – озлокачествлению подвергается только один из секторов печени, другие 3 не имеют признаков поражения. Нет прорастания в кровеносные сосуды и лимфоузлы. Метастазы не наблюдаются..
2 стадия гепатобластомы характеризуется началом разрастания новообразования – происходит ее увеличение в объеме, что ведет к поражению второго сектора органа. Начинается прорастание раковых клеток в стенки кровеносных сосудов, в близлежащих и отдаленных органах метастазов еще нет.
3 стадия – гепатобластома сильно увеличилась. Поражена большая часть печеночной паренхимы (2 противоположных сектора или 3 соседних). Разрушению подвержены один или несколько лимфоузлов, которые находятся рядом с опухолью. Может быть распространение новообразования за границы печеночной паренхимы и возникают отдаленные метастазы, которые появились гематогенным путем. Эту стадию разделяют на подстадии: 3А – когда новообразование не больше 5 см и не дает метастазов, 3В – величина новообразования такая же, как и при стадии 3А, но есть регионарное метастазирование.
4 стадия – гепатобластома сильно увеличена в объеме — она поражает все 4 сектора и становится единым конгломератом. Наблюдается обширное метастазирование с поражением костных структур и отдаленных участков организма. Как и предыдущая стадия, 4 стадия может быть подразделена на подстадии. 4А — размер опухоли больше 5 см, идет прорастание опухоли в близлежащие органы (брюшина, поджелудочная железа, желудок, плевра), присутствуют регионарные очаги метастазирования. 4В – величина опухоли может быть любой, имеются отдаленные метастазы при отсутствии регионарных. При достижении этой стадии развития опухоли больного переводят в группу неизлечимых больных.
Важно! При гепатобластоме 4 стадии у пациента нет шансов на излечение. Увеличить сроки жизни на небольшой промежуток можно при помощи паллиативной терапии, которая поможет также облегчить симптоматику заболевания.
Причины возникновения заболевания
Точные причины появления гепатобластомы не выяснены. Новообразование часто обнаруживается при наследственных аномалиях, которые имеют склонность к формированию злокачественных новообразований (гемигипертрофии, семейном аденоматическом полипозе, синдроме Беквита-Видеманна). Сбой внутриутробного развития из-за генных мутаций или воздействия определенного онкогена может способствовать дифференцированию незрелых клеток и формированию эмбриональных опухолей.
Гепатобластома способна сочетаться с прочими детскими опухолями, например, с нефробластомой (опухолью Вильмса).
Высокий риск развития гепатобластомы может наблюдаться у детей, которые перенесли в период новорожденности гепатит B, имеющих глистную инвазию, злокачественные новообразования в почках, порфирию, нарушение обмена железа, нарушения метаболического характера — гликогеновую болезнь I типа, наследственную тирозинемию, прочие заболевания. Также высок риск заболевания при наличии в рационе ребенка и матери (кормящей грудью) веществ, подобных нитрозамину и афлатоксину.
Прослеживается связь между возникновением гепатобластомы и употреблением матерью оральных контрацептивов комбинированного типа, алкогольным синдромом плода.
Гепатобластома способна развиться у ребенка на фоне врожденных нарушений обмена отдельных микроэлементов. Это могут быть сбои в метаболизме меди (болезнь Вильсона-Коновалова) и железа (гемохроматоз).
У взрослых появление рака печени связывают с наличием цирроза и гепатита. Большое влияние на появление данной патологии оказывает тирозинемия, которая возникает при совместном нарушении функций печени, поджелудочной железы и почек.
Симптомы гепатобластомы
Ранние этапы заболевания могут протекать бессимптомно, развернутая клиническая картина характерна для стадии метастазирования опухоли. У детей при гепатобластоме может наблюдаться выбухание живота, его увеличение, в правом подреберье ощущается объемное уплотнение, наличествует болевой синдром.
Развитие заболевания сопровождается снижением или потерей аппетита, уменьшением веса, тошнотой, общим недомоганием. Расстройства диспепсического характера встречаются редко. Возникновение фебрильной температуры, проявлений желтухи, рвота, указывают на сильно запущенный опухолевый процесс.
Иногда при гепатобластоме возможно раннее половое созревание из-за синтеза опухолью хорионического гонадотропина.
Ярких симптомов при такой опасной болезни, особенно на начальных этапах развития, нет. Заподозрить болезнь можно по общей симптоматике, которая сопровождает развитие любых онкоопухолей. К таким симптомам гепатобластомы у детей относят: слабость, постоянное недомогание, субфебрильная температура, которая не сбивается жаропонижающими средствами, невосприимчивость к отдельным видам продуктов (чаще чувство отвращения могут вызывать мясные или рыбные блюда), резкое похудение без явных причин, потеря аппетита.
У детей могут присутствовать также более специфичные симптомы гепатобластомы:
- у малыша в пальпируемом животике прощупываются неспецифические уплотнения, похожие на ощупь на твердые узелки;
- увеличение брюшной полости и ее сильное выпирание. Такой симптом гепатобластомы носит название «симптом головы медузы»;
- возникают острые боли, о чем можно судить по непрекращающемуся надсадному ору младенца.
На поздних стадиях симптоматика гепатобластомы становится более специфичной и может указывать на появление патологического процесса.
Среди самых тревожных симптомов отмечают:
- необъяснимое пожелтение кожи и склер глаз;
- обесцвечивание кала;
- потемнение мочи.
Диагностика гепатобластомы
Для диагностирования гепатобластомы проводят общий осмотр больного и пальпацию живота (она позволяет обнаружить образование в правом подреберье).
Далее назначают следующие инструментальные и лабораторные обследования:
- УЗИ брюшной полости и печени — этот метод помогает уточнить местоположение опухоли, ее распространенность, количество узлов и прочее;
- КТ;
- МРТ;
- ПЭТ;
- радиоизотопное сканирование печени;
- рентгенография брюшной полости и грудины;
- ангиография;
- общий анализ крови;
- печеночные пробы;
- анализы крови на онкомаркеры;
- биопсия печени (проводят в случае сомнительного диагноза).
Обязательно проводят дифференциальную диагностику с псевдокистой поджелудочной железы, опухолью Вильмса, нейробластомой надпочечника, кистозоподобным расширением желчного протока и ее метастазами в печень.
Лечение гепатобластомы
Лечение рака печени проводится обычно хирургическим методом путем частичной гепатэктомии. Чаще проводят удаление одного или нескольких сегментов печени, которые затронуты раком (лобэктомия или гемигепатэктомия). Печень обычно самовосстанавливается, так как обладает высокими регенерирующими свойствами.
В более запущенных случаях перед операцией проводят курс химиотерапии для уменьшения размеров гепатобластомы, что помогает сократить объем оперативного вмешательства
Как правило, детям химиотерапию назначают до и после оперативного вмешательства для уничтожения оставшихся раковых клеток. Отдельное применение противоопухолевых цитостатических препаратов оправдано только в том случае, когда они поступают непосредственно в опухоль (вводятся через печеночную артерию). Системная химия при данном заболевании совершенно бесполезна и довольно опасна своими побочными эффектами.
Терапия гепатобластомы с помощью радиации до последнего времени не применялась, так как гепатоциты довольно восприимчивы к радиации и даже мизерная доза радиации при облучении может вызвать их гибель.
Лучевая терапия при гепатобластоме чаще используется при паллиативной терапии — для уменьшения проявлений желтухи и купирования болевых ощущений.
В некоторых случаях могут назначить трансплантацию печени.
Чаще всего для повышения результативности лечения применяют комплексную терапию.
После проведения курса лечения пациент обязан пройти длительную реабилитацию. На протяжении многих лет требуется наблюдение гепатоонколога, так как данный метод предупреждения позволяет обнаружить начало процесса обострения и своевременно начать активную терапию вторичного этапа заболевания.
Осложнения гепатобластомы и ее последствия
Рак печени часто имеет склонность к раннему рецидивированию. Причиной этого считается рано начинающийся процесс отдаленного метастазирования. Метастазы обычно распространяются по организму гематогенным путем. Это объяснимо наличием обильного кровоснабжения тканей печени. Большой риск появления опухолей есть в органах брюшной полости, легких, костных структурах и головном мозге.
Прогноз заболевания
Прогноз гепатобластомы обычно зависит от наследственности, возраста и состояния здоровья больного, стадии развития опухоли, радикальности хирургической операции, степени чувствительности организма к назначенному лечению. Ранняя диагностика заболевания дает больше шансов на излечение.
Выживаемость пациентов после операционного вмешательства в течение 2,5 лет при диагностировании гепатобластомы начальной стадии составляет около 90% и более, на последней стадии — менее 30%.
Добавочные курсы химио- и лучевой терапии увеличивают сроки жизни до пяти лет у 65% онкобольных.
Видео по теме:
https://youtube.com/watch?v=aoXXgKOsx4I
Профилактика заболевания
Снизить риск развития рака можно при помощи соблюдения нескольких правил:
- консультирование пары, решившей зачать ребенка, у специалиста в области генетики, который может просчитать риск появления малыша с подобным диагнозом;
- адекватное ведение беременности;
- здоровое питание;
- раннее выявление и полное устранение всех патологических этиологических факторов, способных привести к формированию гепатобластомы;
- регулярное посещение педиатра и прохождение полного обследования в медицинском учреждении.
Вопрос-ответ
Каков прогноз при гепатобластоме?
Прогноз при гепатобластоме в целом благоприятный. Он зависит от того, распространилась ли опухоль по другим органам и системам организма. Большое значение имеет то, удалось ли удалить опухоль хирургически. По статистике, при удалении опухоли 70% пациентов достигают 5-летней выживаемости.
Можно ли вылечить гепатоцеллюлярный рак?
Хирургическое лечение гепатоцеллюлярной карциномы. Хирургическое лечение — резекция или трансплантация печени — единственная возможность избавиться от гепатоцеллюлярной карциномы.
К группе высокого риска при Гепатобластоме относят пациентов?
Гепатобластома “высокого риска” – локализованные опухоли, не подпадающие под критерии группы стандартного риска и группы очень высокого риска. Как правило, в данную группу попадают пациенты со значительным поражением печени (PRETEXT IV или PRETEXT III с вовлечением магистральных сосудов).
Советы
СОВЕТ №1
Обратите внимание на симптомы. Гепатобластома может проявляться через различные признаки, такие как увеличение живота, потеря аппетита, тошнота или желтуха. Если вы заметили у ребенка подобные симптомы, не откладывайте визит к врачу.
СОВЕТ №2
Регулярно проходите медицинские осмотры. Ранняя диагностика играет ключевую роль в успешном лечении гепатобластомы. Регулярные осмотры у педиатра помогут выявить любые отклонения на ранних стадиях.
СОВЕТ №3
Изучите информацию о лечении. Гепатобластома требует комплексного подхода, включая хирургическое вмешательство, химиотерапию и, в некоторых случаях, трансплантацию печени. Ознакомьтесь с возможными вариантами лечения и обсудите их с врачом.
СОВЕТ №4
Поддерживайте эмоциональное состояние ребенка. Диагноз гепатобластомы может быть стрессом как для ребенка, так и для всей семьи. Обеспечьте поддержку и понимание, а также рассмотрите возможность обращения к психологу для помощи в преодолении трудных моментов.




