
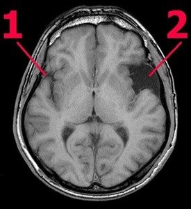
Что же такое «киста головы»? Это образование, которое содержит в себе жидкость, располагающаяся в капсуле в форме пузыря. Анатомически, между височной и теменной долей существует полость, заполненная жидкостью. Когда по каким-либо причинам, которые мы рассмотрим далее, образуются отмершие ткани, жидкость с этой части пытается занять место отмерших тканей, из-за чего образуется капсула, которая и образует кисту. Чаще всего киста появляется в так называемом паутинообразном покрытии коры полушарий мозга. Это связано с тем, что данная часть мозга легко подвергается ушибам, травмам и воспалительным процессам, сопутствующим им. По статистике чаще болеют дети, подростки и мужчины, нежели женщины.
Но не только травмы могут стать причиной появления кисты в голове. Рассмотрим эти причины.
Причины кисты в голове
Существуют врожденные и приобретенные формы кисты головы.
Причина появления врожденных видов кисты:
- Асфиксия. Часто из-за ряда причин у новорожденного происходит кислородное голодание у ребенка, что приводит к отмиранию части клеток головного мозга, вследствие которого и образуется киста.
- Родовые травмы – нередкое явление, когда ребенок, проходя через родовые пути, в силу некоторых обстоятельств, получает ушибы и травмы.
Причина появления приобретенных видов кисты, чаще у взрослых и подростков:
- Ушибы, падения с высоты, и как последствие, сотрясение мозга, нередко являются причиной кисты головы;
- Последствия инсульта, который сопровождается кровоизлиянием, что может привести к образованию кистозной полости.
- Нередки случаи образования кисты вследствие перенесенных инфекций головного мозга, такого как, например, менингит, энцефалит.
- Возможно образование кисты вследствие склеротических процессов, аутоиммунной дисфункции.
- Нередки случаи, когда причиной кисты являются паразиты, проникшие в кровоток и осевшие в участках коры головного мозга.
Образование чаще всего не злокачественное. Но это не дает повода думать о том, что нет необходимости обследоваться и лечиться, поскольку кисты имеют тенденцию к росту. Стремительный рост кисты может привести к сдавливанию жизненно важных областей мозга. А, как нам известно, головной мозг очень тонкая структура и малейшее вмешательство может привести к необратимым процессам.
Врачи отмечают, что киста головного мозга может возникать по различным причинам, включая инфекционные заболевания, травмы, а также генетические предрасположенности. Часто кисты являются бессимптомными и обнаруживаются случайно при проведении нейровизуализации. Однако в некоторых случаях они могут вызывать головные боли, нарушения зрения, судороги и другие неврологические симптомы. Последствия наличия кисты зависят от её размера и расположения. Врачи подчеркивают важность регулярного наблюдения за состоянием пациента, так как некоторые кисты могут увеличиваться и требовать хирургического вмешательства. Своевременная диагностика и лечение играют ключевую роль в предотвращении осложнений и улучшении качества жизни пациентов.

Симптомы болезни

- Тошнота и рвота, после чего легче обычно не становится;
- Бессонница;
- Головные боли и головокружения;
- Шум в ушах без ухудшения слуха;
- Рябь перед глазами;
- Ухудшается координация движений;
- Тремор рук и ног.
Симптомы также могут зависеть от места расположения кисты, Так, например, человек может постоянно мучиться от заложенности носа. Это может говорить о том, что киста расположена в лобной части головного мозга ближе к носовым пазухам.
По статистике у 40% новорожденных детей наблюдается киста головы. Чаще всего их диагностируют еще во внутриутробном развитии. Утешительным фактом является то, что в большинстве случаев, такие образования исчезают бесследно в процессе роста ребенка. Но ребенок, родившийся с данной патологией, должен быть под постоянным контролем специалистов, дабы избежать серьезных осложнений. Поэтому очень важно беременной женщине следить за своим здоровьем. Если во время беременности женщина переносит инфекционные заболевания, например герпес, или, еще хуже, женщина потребляет наркотические средства, алкоголь, то патологии чаще всего неизбежны. Кровообращение в мозге у плода осуществляется неполноценно, вследствие чего часть клеток мозга отмирают и появляются такие образования, как киста. Но есть разновидности кист у младенцев, которые опасны для жизни. Например, субэпендимальная киста.
Диагностика

- Доплер: выявляет нарушения в кровоснабжении, в участках, где локализуется киста.
- Электрокардиограмма (ЭКГ) необходима для выявления патологий в сердце.
- Анализ крови необходим для определения качества свертываемости крови и уровень холестерина;
- Контроль артериального давления во избежание новых кровоизлияний в мозг;
- Биохимический анализ крови, который может установить наличие инфекционных заболеваний, в том числе аутоиммунного характера.
Несмотря на доброкачественность кисты головы, ее последствия могут быть плачевными. Необходимо во время установить болезнь и начать своевременную терапию во избежание дальнейшего роста и прогрессирования заболевания.
Киста головного мозга — это полостное образование, которое может возникать по различным причинам, включая травмы, инфекции или генетические факторы. Многие люди, столкнувшиеся с этой проблемой, отмечают, что первоначально не испытывают никаких симптомов, и киста может быть обнаружена случайно при проведении МРТ. Однако со временем, в зависимости от размера и расположения, киста может вызывать головные боли, нарушения зрения или даже проблемы с координацией.
Обсуждая последствия, пациенты часто выражают опасения по поводу возможных осложнений, таких как повышение внутричерепного давления или сдавление окружающих тканей. Важно отметить, что не все кисты требуют лечения; некоторые могут оставаться стабильными на протяжении многих лет. Тем не менее, регулярное наблюдение и консультации с врачом играют ключевую роль в управлении состоянием и предотвращении потенциальных рисков.

Виды кисты головы
Специалисты разделяют три вида кисты. Рассмотрим их:
- Субэпендимальная. Причиной возникновения является плохое кровообращение. Отличается быстрым прогрессированием, что требует своевременной диагностики и адекватной терапии. Чаще всего страдает орган зрения.
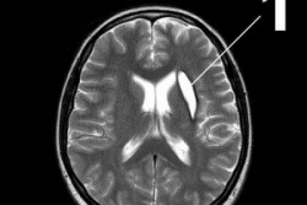
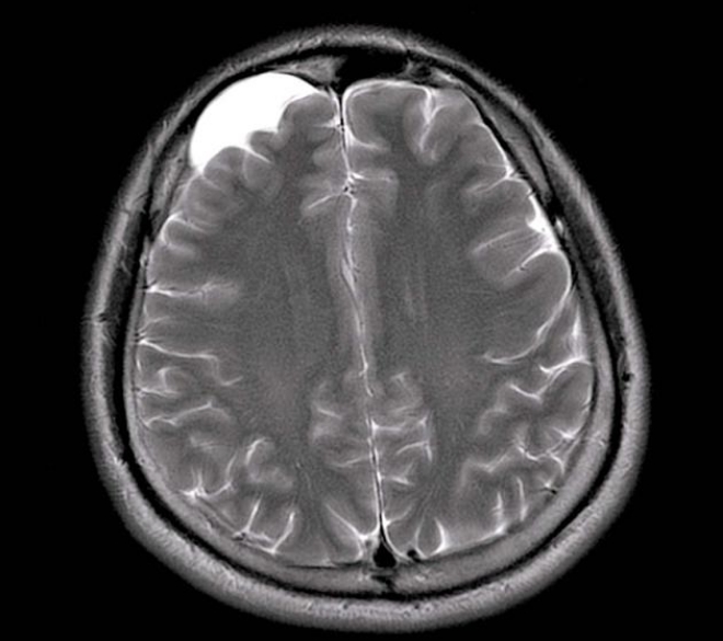
- Арахноидальная. Образуется на оболочке мозга. Чаще всего сдавливает участки мозга, о чем свидетельствуют частые судороги и расстройства неврологического характера больного.
Киста сосудистых соединений. Самый безопасный вид кисти, так как имеет тенденцию к рассасыванию без медицинского вмешательства. Но это отменяет факта о том, что необходимо периодически проходить осмотр у врача.
Лечение
Существуют консервативный (медикаментозный) и радикальный (путем хирургической операции) методы лечения. Какой из них выбирается для устранения кисты или хотя бы улучшения состояния больного, решают только специалисты. Иногда бывают случаи, когда никакой вид лечения не требуется и киста рассасывается самостоятельно. В любом случае надо положиться на врачей и их решение.
Чаще всего в лечении прибегают к медикаментозному лечению, цель назначения которых улучшение циркуляции крови и ликвидация спаек. Противовирусные препараты и антибиотики назначаются в случае обнаружения воспалительного процесса.
Очень важно держать артериальное давление в норме во избежание новых кровоизлияний. Также назначаются холестеринснижающие препараты, так называемые статины, которые препятствуют образованию холестериновых бляшек, и медикаменты, способные удерживать свертываемость крови в норме. Целесообразен прием препаратов, снабжающих мозг глюкозой и также антиоксиданты. Медикаментозное лечение длится в среднем 10-12 недель с периодичностью до полугода.

Разделяют три вида операции на головной мозг с целью удаления кисты:
- Трепанация черепа – считается самым травмоопасным и сложным методом. Но данный вид операции самый эффективный при кистозном образовании, особенно когда опухоль находится в труднодоступном участке мозга.
- Шунтирование. Врачи устанавливают специальную дренажную трубку. Через эту трубку вытекает жидкость внутри кисты,после. Но при данном методе лечения вероятность попадания инфекции высока из-за открытого доступа бактерий и вирусов к ране.
- Эндоскопия. К этому виду хирургического вмешательства прибегают при легкой доступности кисты. Делается прокол кисты и оттуда выкачивается жидкость, после чего киста рассасывается. Пациент быстро восстанавливается после операции, что является главным преимуществом эндоскопии.
Вне зависимости от того, какой метод будет выбран для лечения кисты головы, главное, своевременное ее обнаружение. Если во время не обратиться к специалистам, возможен такой страшнейший вид осложнения как гидроцефалия, часто приводящая к смерти больного.

Как и при любом другом заболевании, очень важна профилактика образования кист. Необходимо избегать травмоопасных ситуаций, грозящих травмой головы. Беременность – очень ответственный период как для матери, так и для будущего ребенка. Беременной женщине важно вести здоровый образ жизни, правильно питаться, часто бывать на свежем воздухе и избегать заражения вирусами и бактериями в любой период беременности. Чтобы заражение паразитами не стало причиной болезни, необходимо соблюдать личную гигиену, пить очищенную и кипяченую воду, тщательно мыть овощи и фрукты. Если дома содержатся домашние животные, необходимо во время делать прививки и чаще посещать ветеринара.

Вопрос-ответ
Опасны ли для жизни кисты головного мозга?
Лечение коллоидных кист. При наличии гидроцефалии необходимо незамедлительное лечение. При угрожающей жизни гидроцефалии врач сначала установит дренаж для удаления избытка спинномозговой жидкости из головного мозга. После этого лечение будет сосредоточено на удалении самой коллоидной кисты.
Опасна ли операция по удалению кисты головного мозга?
Операция может быть отложена из-за активного воспалительного процесса в организме. Последствиями операции по удалению кисты при непрофессиональном подходе могут стать: проблемы со зрением и слухом, нарушение двигательных функций, появление новых кист.
Советы
СОВЕТ №1
Регулярно проходите медицинские обследования, особенно если у вас есть предрасположенность к заболеваниям нервной системы. Это поможет выявить кисты на ранних стадиях и предотвратить возможные осложнения.
СОВЕТ №2
Обратите внимание на свои симптомы. Если вы испытываете головные боли, изменения в зрении или слухе, а также другие неврологические проявления, не откладывайте визит к врачу. Раннее обращение за медицинской помощью может значительно улучшить прогноз.
СОВЕТ №3
Изучите информацию о возможных методах лечения кисты головного мозга. В зависимости от размера и расположения кисты, врач может предложить наблюдение, медикаментозное лечение или хирургическое вмешательство. Знание своих вариантов поможет вам принимать обоснованные решения.
СОВЕТ №4
Поддерживайте здоровый образ жизни, включая сбалансированное питание, регулярные физические нагрузки и управление стрессом. Это может помочь укрепить вашу иммунную систему и снизить риск развития различных заболеваний, включая кисты.

