
Гипофиз

Опухолями, которые чаще всего встречаются в гипофизе, являются микроаденомы и макроаденомы. Около 20 % всех новообразований в черепе — это аденомы гипофиза. По причине малых размеров, обнаружить опухоли гипофиза бывает затруднительно. Микроаденома гипофиза образуется из-за усиленного роста клеток в железе.
Аденомы подразделяются по размерам и по гормональной активности. Примерно четверть подобных новообразований не вырабатывает гормоны. Микроаденомы не изменяют строение турецкого седла, не сдавливают окружающие ткани, и их размер не превышает 10 миллиметров в диаметре. Крупную форму опухоли называют макроаденомой.
Врачи отмечают, что микроаденома гипофиза может проявляться различными симптомами, включая головные боли, нарушения зрения и изменения в гормональном фоне. Эти опухоли, как правило, небольшие и часто не вызывают выраженных проявлений, что затрудняет их раннюю диагностику. Однако при увеличении размеров микроаденомы могут возникать более серьезные последствия, такие как гипопитуитаризм или синдром Кушинга.
Лечение микроаденомы обычно включает медикаментозную терапию, направленную на нормализацию гормонального фона, а в некоторых случаях — хирургическое вмешательство. Врачи подчеркивают важность индивидуального подхода к каждому пациенту, так как выбор метода лечения зависит от размеров опухоли и ее влияния на организм. Регулярное наблюдение и контроль за состоянием пациента также играют ключевую роль в предотвращении осложнений и улучшении качества жизни.

Микроаденома — что же это такое?
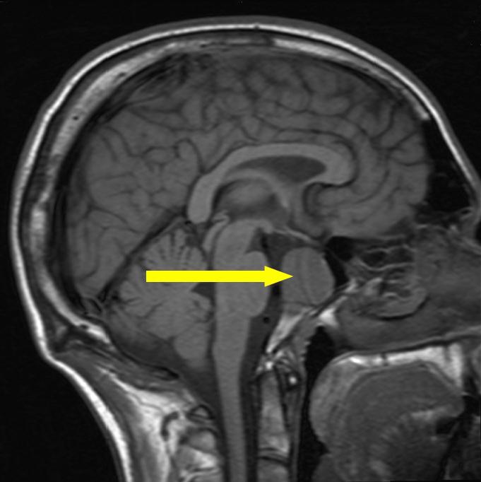
Микроаденома — опухоль доброкачественного характера, которая состоит из железистых клеток гипофиза. Маленькие размеры новообразования и отсутствие симптомов во многих случаях затрудняют раннее выявление и диагностику заболевания. Чаще всего подобные новообразования обнаруживаются случайно, при обращении пациента к врачу по поводу других заболеваний. Очень часто врач невропатолог назначает компьютерную или магнитно — резонансную томографию головного мозга. А бывает и сам пациент по каким-то причинам решает пройти подобное исследование.
Микроаденома гипофиза возникает и у мужчин, и у женщин. Считается, что аденома половых различий не имеет. Но среди больных с микроаденомой, женщин всё-таки немного больше. К самой вероятной причине такой статистики можно отнести повышенную нагрузку на орган в период беременности и родов, лактации, ЭКО (десенситизация), когда клетки гипофиза интенсивно вырабатывают гормоны для нормальной работы других органов. По своей сути, микроаденома является гиперплазией некоторых частей гипофиза, при которой начинает увеличиваться размер всей железы, чаще всего происходит увеличение вертикального размера гипофиза.
Опухоли гипофиза обладают единым кодом по МКБ-10 – D35-2. Структура микроаденомы бывает однородной и кистозной (неоднородной структуры), которая появляется от незначительных кровоизлияний.
Хотя большинство таких новообразований не имеют признаков злокачественности, они способны прорастать в соседние к гипофизу органы и сдавливать их, что приводит к неврологическим, зрительным и эндокринным нарушениям. Помимо этого, аденома гипофиза может вызвать такое осложнение, как апоплексия (кровоизлияние в опухоль, выявляет МРТ) и переродиться в микрокисту или кистозное образование.
Причины возникновения
На сегодняшний день точной причины образования микроаденомы в гипофизе не обнаружено. Однако имеются факторы риска, при которых это новообразование может начать развиваться:
- Наследственная предрасположенность;
- Заболевания нервной системы (острые и хронические);
- Использование гормональных препаратов;
- Различные травмы черепа;
- Прерывание беременности;
- Беременность и роды;
- Грудное вскармливание ребёнка.
Микроаденома гипофиза — это доброкачественная опухоль, которая может вызывать различные симптомы в зависимости от ее размера и гормональной активности. Многие пациенты отмечают головные боли, нарушения зрения и изменения в уровне гормонов, что может приводить к проблемам с обменом веществ и репродуктивной функцией. Лечение микроаденомы часто включает медикаментозную терапию, направленную на нормализацию гормонального фона, а в некоторых случаях — хирургическое вмешательство. Люди, столкнувшиеся с этой проблемой, подчеркивают важность ранней диагностики, так как это значительно улучшает прогноз. Последствия могут варьироваться: от полного выздоровления до необходимости постоянного наблюдения у эндокринолога. Важно помнить, что каждый случай индивидуален, и подход к лечению должен быть комплексным.

Симптоматика
Проявление микроаденомы зависит от вида новообразования и от того, какие гормоны вырабатывает опухоль. В большинстве случаев очень сильно выражены различные нарушения зрения. Встречаются и другие симптомы такие как, тупые головные боли, которые ощущаются возле глаз и не проходят после приёма лекарств. Встречаются различные гормональные нарушения, зависящие от вида опухоли и проявляющиеся от количества выработки гормонов. Микроаденома гипофиза, производящая гормон роста, вызывает акромегалию у взрослых и резкое увеличение размеров тела у детей (гигантизм).

Разновидности
Аденомы бывают неактивными и активными. Гормонально неактивные новообразования никаким образом не проявляются и не вызывают негативных симптомов. Активные микроаденомы вырабатывают гормоны, соответственно симптомы будут сильно выраженными и разнообразными. Больной не сможет их не заметить и оставить без внимания.
Важно! Подобную форму опухоли нельзя игнорировать. Необходимо срочно обратиться к эндокринологу, который назначит нужное лечение.
На ранних стадиях болезни можно полностью предотвратить последствия и избавится от осложнений, которые могут возникнуть в дальнейшем. Сделать это намного сложнее, если опухоль разрослась и появилось очаговое изменение структуры гипофиза. В данном случае, даже после проведения операции, человек может на всю жизнь остаться инвалидом. Иногда запущенная опухоль перерастает в объемное злокачественное новообразование (рак), вести борьбу с которым намного сложнее, пациента переводят в онкологию.
По локализации в гипофизе различают опухоли аденогипофиза (передней доли) и нейрогипофиза (задней доли). Микроаденома гипофиза, по положению относительно турецкого седла и соседних органов, бывает эндоселлярной (выходит за границы турецкого седла) и интраселлярной. Гипофиз расположен интрасселярно, значит то, что он расположен в пределах костного ложа турецкого седла.
Разновидности опухолей в гипофизе
Новообразования в гипофизе делятся на виды, в зависимости от того, какие гормоны они производят:
- Пролактинома – чаще всего встречающийся вид опухолей гипофиза, производящих гормоны.
- Соматотропинома и кортикотропинома – выявляются намного реже, чем микропролактиома.
- Тиреотропинома и гонадотропиома – встречаются очень редко, определяются у менее 1% людей с опухолями в гипофизе.
- Cмешанные опухоли – содержат в себе сразу несколько разновидностей и диагностируются у одного человека.
Диагностирование микроаденомы

Лечение
Как только диагноз поставлен, с лечением тянуть нельзя. Если симптомов нет, то и терапия пока не потребуется. Тем не менее, нужно постоянно наблюдаться у врача, чтобы своевременно выявить и избежать перехода в активную фазу. МРТ надо проходить дважды в год. Если же фаза новообразования гормонально активная, требуется незамедлительно начинать лечение. Для лечения применяется консервативное воздействие, оперативное вмешательство и радиологическое облучение опухоли.
Безоперационный способ лечения применяется в тех случаях, когда опухоль положительно реагирует на лекарства, которые принимает больной. Этот метод благоприятно влияет на пролактиному, которая во время лечения убавляется в размерах и может совсем исчезнуть. Но в некоторых случаях медикаментозное лечение не помогает и приходится прибегнуть к вмешательству хирургическим путём.
При хирургическом методе лечения через носовой проход вводится эндоскоп. С его помощью новообразование иссекается. Операция по удалению микроаденомы проводится под общим наркозом. В клиновидной кости сверлят небольшое отверстие, из которого извлекают опухоль. После операции отверстие закрывают фрагментом кости и прикрепляют клеящим составом к основанию черепа. При такой операции повреждение тканей незначительное. Больной быстро восстанавливается и может покинуть стационар спустя несколько дней.
Лечение радиохирургическим методом помогает избавиться от опухоли без операции, воздействуя на микроопухоль пучком излучения. Подобная процедура производится под контролем с помощью КТ или МРТ. После обработки новообразование постепенно уменьшается в размерах, однако в некоторых случаях продолжает производить гормоны. Тогда назначается ещё и медикаментозное лечение.
Следует знать! Если врач считает, что лучше применить хирургическое вмешательство, то следует прислушаться к его мнению, делать всё, что назначает специалист. Ведь у разных видов микроаденомы гипофиза имеются свои показания и противопоказания к каждому методу лечения.
Основные противопоказания к лечению при микроаденоме:
- Аллергические реакции;
- Непереносимость наркоза при хирургической операции;
- Осложненные опухоли;
- Наличие сопутствующих серьезных заболеваний.
Профилактика
Для предотвращения возникновения микроаденомы, специальной профилактики пока не существует. Но есть некоторые способы, которые помогут предупредить прогрессирование заболевания. Нужно чаще проходить плановую диспансеризацию. Очень важно сразу обратиться к врачу при обнаружении каких-либо косвенных симптомов заболевания. Необходима профилактика инфекционных заболеваний нервной системы и незамедлительное лечение в случае заболевания ими. Также необходимо правильное питание. При аденоме нельзя использовать в рационе питания консерванты, красители, усилители вкуса. Если возникли гормональные нарушения в организме, то необходимо корректировать эти изменения. При диагностированной опухоли следовать всем рекомендациям врача и пройти активное лечение назначенное специалистом.
Видео по теме:

Прогноз
Прогноз при микроаденоме гипофиза напрямую зависит от гормональной функции новообразования и от его размеров (возможности удаления). Может ли рассосаться подобная опухоль? При соматотропиномах и пролактиномах нормализация выработки гормонов («гормональное выздоровление») отмечается почти в 30% случаев. При микрокортикотропиномах вылечить больного удаётся почти в 90% случаев. Если макроаденома гипофиза больше 20 мм в диаметре, полностью удалить новообразование невозможно. Через 2 -3 года после операции опухоль может развиться повторно.
Отзывы.
Милана. Этот диагноз мне поставили еще в раннем детстве, осложнение после родовой травмы. Микроаденома не злокачественная опухоль, многие люди живут с этим заболеванием до глубокой старости. В моем случае это отразилось на зрении, которое резко ухудшилось.
Светик. Долго не могла забеременеть. Пока один из врачей не направил на МРТ. Так и обнаружилась моя микроаденома. Полгода принимала достинекс. После лечения забеременела и благополучно родила. После родов опухоль рассосалась.
Вопрос-ответ
Как чувствует себя человек при аденоме гипофиза?
Если аденома вырабатывает тиреотропин, развивается гипертиреоз. Пациент жалуется на учащенное сердцебиение, у него снижена масса тела, чрезмерная потливость. Гонадотропных гормонов. В основном возникают неспецифичные симптомы, такие как головная боль, галакторея.
Что провоцирует рост микроаденомы гипофиза?
Провоцировать возникновение опухоли гипофиза могут такие факторы: воспаление оболочек мозга, абсцесс, нейроинфекции (туберкулез, нейросифилис).
Советы
СОВЕТ №1
Обратите внимание на симптомы: Если вы заметили изменения в зрении, постоянные головные боли или изменения в уровне гормонов, такие как нехарактерное увеличение веса или изменения в менструальном цикле, не откладывайте визит к врачу. Раннее обнаружение микроаденомы гипофиза может значительно улучшить прогноз лечения.
СОВЕТ №2
Регулярно проходите медицинские обследования: Если у вас есть предрасположенность к заболеваниям эндокринной системы или в вашей семье были случаи микроаденом, важно регулярно проходить обследования у эндокринолога. Это поможет выявить проблему на ранней стадии.
СОВЕТ №3
Изучите варианты лечения: Микроаденомы гипофиза могут лечиться как медикаментозно, так и хирургически. Обсудите с врачом все доступные варианты, их преимущества и недостатки, чтобы выбрать наиболее подходящий для вас метод.
СОВЕТ №4
Поддерживайте здоровый образ жизни: Правильное питание, регулярные физические нагрузки и управление стрессом могут помочь улучшить общее состояние здоровья и поддержать работу эндокринной системы. Это особенно важно при наличии заболеваний, связанных с гипофизом.