Злокачественное новообразование, которое формируется из эпителия и слизистых – это и есть плоскоклеточный рак. Эта онкология стремительно развивается и довольно агрессивна. Формируется он в коже или слизистой, а потом опухоль поражает местные лимфоузлы и проникает в близлежащие органы и ткани, нарушая их структуру и работоспособность. Итогом такого течения заболевания является полиорганная недостаточность и смерть.
Общие сведения о плоскоклеточном раке
Плоскоклеточный рак развивается из клеток эпителия. А так как клетка рака под микроскопом выглядит плоской, то и опухоль, которая состоит из множества таких клеток, называется «плоскоклеточным раком». Поскольку эпителий широко распространен в организме, плоскоклеточные опухоли могут начать свое формирование практически в любом органе.
Существуют две разновидности эпителия – ороговевающий (это вся совокупность кожных покровов) и неороговевающий (слизистые человека – поверхности носа, ротовой полости, желудка, пищевода, влагалища, горла и т.д.). Кроме клеток эпителия новообразования такого вида могут сформироваться и в других органах — из клеток, которые подверглись метаплазии (переродились сначала в эпителиоподобные, потом в раковые).
Врачи отмечают, что плоскоклеточный рак кожи чаще всего возникает в результате воздействия ультрафиолетового излучения, что делает людей с светлой кожей особенно уязвимыми. Кроме того, факторы, такие как курение, хронические воспалительные процессы и ослабленный иммунитет, могут способствовать развитию этого заболевания. Прогноз при ранней диагностике и адекватном лечении, как правило, благоприятный. Однако при запущенных формах рак может метастазировать, что значительно ухудшает исход. Специалисты подчеркивают важность регулярных осмотров и самоконтроля, чтобы выявить изменения на коже на ранних стадиях. Своевременное обращение к врачу может спасти жизнь и обеспечить успешное лечение.

Плоскоклеточный рак – кому он свойственен
Обратите внимание! Эта онкология диагностируется примерно в 25 % случаев всех видов раковых заболеваний кожи и слизистых. В большинстве случаев (75%) опухоль находится на коже лица или головы.
Основная часть пациентов с таким диагнозом – мужчины после 65 лет. Также отмечено, что плоскоклеточным раком (сквамозно-клеточной карциномой) чаще заболевают представители европеоидной расы, чаще светлокожие и рыжеволосые. Дети таким видом онкологии заболевают довольно редко, если есть генетическая предрасположенность.
Причины и факторы риска
Есть некоторые факторы, которые содействуют возникновению плоскоклеточного рака:
- наследственность (генетическая предрасположенность);
- курение, употребление алкоголя;
- УФ-излучение;
- ионизирующая радиация;
- прием иммуносупрессоров;
- неправильное питание;
- работа на вредном производстве;
- плохая экология;
- инфекции;
- возраст.
- Генетическая предрасположенность может выражаться посредством следующих факторов:
сбой в системе противоопухолевой защиты. Если по каким-либо причинам происходит мутация в антигене, который останавливает клеточное деление, то может начаться раковый процесс;
- нарушение работы противоопухолевого иммунитета. Иммунная система снижает свои защитные функции из-за постоянно происходящих в организме генных мутации и это влечет за собой создание благоприятных условий для развития опухолевых клеток. Генные мутации передаются по наследству;
- нарушение метаболизма канцерогенов. Если происходит мутация генов, способствующих обеззараживанию и скорейшему выводу канцерогенов, то риск развития опухоли возрастает.
- Курение табака, как активное, так и пассивное увеличивает риск развития такого вида онкологии в полости рта, органов дыхания и органов ЖКТ. При горении в организм попадают не только никотин, но и другие продукты сгорания табака – фенолы, кадмий, формальдегид, бензол – опасность которых давно доказана. Все эти вредные вещества, всасываясь слизистыми ротовой полости и дыхательных путей, оказывают местное канцерогенное воздействие, а через кровоток распространяются по всему организму, способствуя формированию раковых опухолей в различных органах;
Кроме этого, существуют и другие виды табака – жевательный, нюхательный, их употребление может повышать риск возникновения онкологии губ, языка, органов носоглотки.
- Составляющая всех алкогольных напитков – этиловый спирт может вызвать развитие злокачественных образований.
Важно! Спирт увеличивает проницаемость клеток для разных канцерогенов. Это подтверждается еще и тем, что у алкоголиков наиболее часто диагностируется онкология полости рта, гортани, глотки – то есть в тех органах, которые непосредственно контактируют с этиловым спиртом.
Риск возникновения онкологии возрастает у тех, кто сочетает алкоголь с курением (или другим способом использования табака).
Уф-излучение при длительном влиянии оказывает на кожу человека вредное воздействие, в результате которого могут возникнуть различные генетические мутации, а это, в свою очередь, приводит к росту онкоклеток и уменьшает противоопухолевую защиту. При длительном влиянии УФ-лучей противоопухолевый иммунитет может не справиться с возникающим мутированным геном, и это приводит к развитию плоскоклеточного рака.
- Ионизирующая радиация (гамма лучи, рентгеновские лучи, ядра гелия и водорода). Действие подобной радиации оказывает повреждающий эффект клетки генома, что приводит к мутации. Также влиянию подвергается и иммунная система человека, значит, риск возникновения онкологии возрастает в несколько раз.
- Прием иммуносупрессоров, т.е. медикаментов (азатиоприн, меркаптопурин и т.д.), которые используются при различных заболеваниях и угнетающе влияют на защитные силы организма, также и на противоопухолевый иммунитет.
- Неправильное питание. Присутствие в рационе большого количество жирной пищи и сильно острой, соленой увеличивает риск возникновения онкологии органов ЖКТ, почек. Сбалансированное питание, наоборот, препятствует развитию;
- Работа на вредном производстве сопряжена с частыми контактами с вредными веществами (через дыхание, непосредственный контакт через кожу). Чем длительнее такой контакт, тем больше риск заработать онкологию.
- Плохая экология. Риск заработать рак значительно повышается у тех людей, которые живут вблизи промышленных предприятий.
Важно! Риск выше у жителей мегаполисов, из-за того, что количество автотранспорта здесь значительно выше, и выхлопные газы, содержащие сажу, имеют большую концентрацию в городском воздухе;
- Уже научно доказано, что некоторые виды инфекций (вирусы) могут быть провокатором появления плоскоклеточного рака. Такими вирусами считаются:
- вирус папилломы человека (многослойный койлоцитоз), который способен вызывать развитие доброкачественных опухолей на коже и слизистых – папилломы, кондиломы, а вызывая различные внутриэпителиальные виды неоплазии, становится причиной онкологии шейки матки;
- ВИЧ (вирус иммунодефицита человека) поражает иммунную систему человека, что может привести к развитию СПИДа и снижению противоопухолевой защиты организма.
- Возраст. С возрастом у человека снижается и нарушается функция иммунной системы и ухудшаются процессы распознавания мутировавших клеток, а значит, возрастает риск появления плоскоклеточного рака.
Кроме вышеуказанных факторов риска, которые способствуют возникновению плоскоклеточного рака, существуют, так называемые, предраковые состояния. Они, не являясь сами злокачественными новообразованиями, повышают шансы заболеть раком. Эти предраковые состояния подразделяются на облигатные и факультативные.
К облигатным состояниям относят:
- пигментную ксеродерму, заболевание, передающееся по ауто-рецессивному типу. Возникает у детей в 2-3 года и проявляется покраснением кожи, изъявлений, разрастаний бородавочного типа. Это заболевание возникает в связи с непереносимостью Уф-лучей, которые, попадая на кожу, повреждают ДНК, приводят клетку к мутации и возникновению онкологии;
- болезнь Педжета. Чаще данному заболеванию подвержены лица женского пола. Основные места локализации болезни – зона подмышек и половых органов. Выглядит как покраснение с четкими границами и поверхностью, которая может быть как влажной, так и сухой и шелушиться. Это поражение кожи может развиваться в течение нескольких лет и переродиться в плоскоклеточный рак;
болезнь Боуэна. Внешне выглядит как несколько небольших пятен красного оттенка, которые могут находиться на поверхности туловища. С течением времени в области новообразования появляется чешуйчатая бляшка красно-коричневого оттенка. При переходе болезни в плоскоклеточный рак (сквамозно-клеточную карциному) поверхность бляшки начинает изъязвляться.
К факультативным предраковым состояниям причисляют заболевания, при которых появление плоскоклеточного рака не обязательно, но риск его возникновения достаточно высок.
К подобным болезням относят:
- кожный рог. Являет собой гиперкератоз (утолщение рогового слоя эпидермиса). Развитие онкологии при этом заболевание может случиться в 7-15 % случаев;
- старческий кератоз. Основная причина появления – ультрафиолетовые лучи, которые воздействуют на неприкрытую кожу. Возраст пациентов – после 60. Риск возникновения этого рака – до 25% случаев;
- кератоакантома. Возрастная категория – после 60 лет. Находится на коже лица или тыльной стороны рук в виде круглого образования с углублением в центре с роговыми массами;
- контактный дерматит. Возникает при воздействии на кожу химическими веществами, характеризуется воспалением местного характера, отечностью и покраснением. При длительном процессе возможно формирование плоскоклеточного рака.
Запомните! Предраковые состояния со временем могут перерасти в рак, но если во время провести лечение, то риск заболеть раком уменьшается. Это правило можно отнести как к облигатным предраковым состояниям, так и к факультативным.
Плоскоклеточный рак вызывает множество обсуждений среди пациентов и медицинских специалистов. Люди часто делятся своими переживаниями о причинах заболевания, среди которых выделяют курение, воздействие ультрафиолетового излучения и хронические воспаления. Многие отмечают, что ранняя диагностика играет ключевую роль в успешном лечении. Прогнозы зависят от стадии рака: на ранних этапах шансы на выздоровление значительно выше. Однако, несмотря на достижения медицины, страх перед диагнозом остается. Пациенты ищут поддержку в сообществах, где делятся историями о борьбе с болезнью и успешных методах лечения. Важно помнить, что каждый случай индивидуален, и своевременное обращение к врачу может существенно изменить исход.

Метастазирование
Формирование вторичных очагов (метастаз) плоскоклеточного рака может происходить несколькими путями. Плоскоклеточный рак может давать метастазы лимфогенным путем, гематогенным и имплантационным путем.
Лимфогенным путем происходит метастазирование около 98 % плоскоклеточного рака, которое происходит с помощью лимфатических узлов, гематогенным – рак распространяется с током крови и может перемещаться почти в любой орган (около 2% случаев), имплантационным – при контакте с соседними органами, когда опухоль прорастает в ткань органа.
Стадии развития болезни и квалификация
Плоскоклеточный рак делят на 4 стадии:
1 — характеризуется наличием небольшой опухоли, размером не больше 2 см;
- при 2 стадии опухоли больше 2 см, и ее площадь становится обширнее, но онкология не ведет себя активно. Возможны метастазы в лимфоузлах;
- при 3 стадии опухоль распространяется в лимфоузлы и ближайшие ткани;
- при 4 — новообразование затрагивает не только ткани и кости, но и хрящи, имеются отдаленные метастазы, часто во множественном количестве, суставы теряют подвижность.
Есть несколько квалификаций плоскоклеточного рака, который учитывает его различные характеристики.
По гистологии выделяют следующие типы рака:
- плоскоклеточный ороговевающий (дифференцированный) рак;
- плоскоклеточный неороговевающий (недифференцированный) рак;
- низкодифференцированный рак;
- железисто-плоскоклеточный рак.
Запомните! Отличительной чертой плоскоклеточных видов опухоли считается степень дифференцировки клеток, которые образуют опухоль. Дифференцированный рак делится на высокодифференцированный (G1), умереннодифференцированный (G2) и низкодифференцированный (G3).
Под дифференцировкой понимается способность клеток развиваться для выполнения строго определенной деятельности. Чем меньше степень дифференцировки, тем более универсальна клетка. Степень дифференцированности отражает уровень зрелости клеток новообразования, скорость ее роста и агрессивность.
Описания этих видов онкологии:
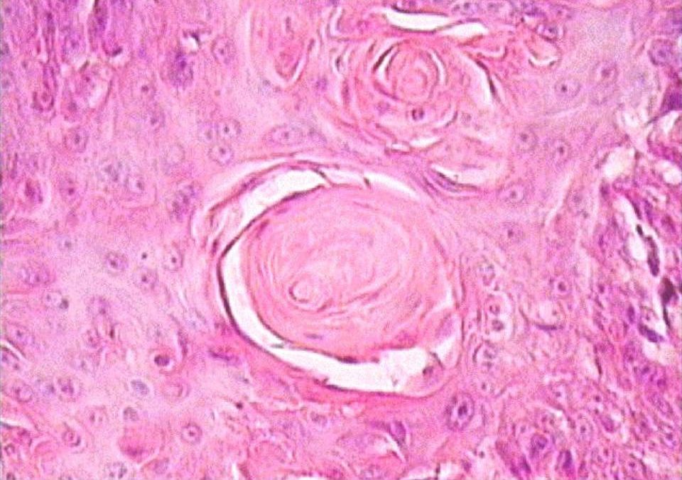
- плоскоклеточный дифференцированный рак (плоскоклеточный ороговевающий, умеренно дифференцированный плоскоклеточный, плоскоклеточный рак с ороговением, плоскоклеточный высокодифференцированный). Высокодифференцированный вид рака – означает его менее страшную форму и более благоприятный прогноз. Опухоль создает ограниченные структуры — «жемчужины» (их оболочка имеет серовато-белый цвет с блеском). В зависимости от уровня дифференцировки клеток, эта разновидность делится на умеренно- и высокодифференцированные формы. Чем выше уровень дифференцировки опухолевых клеток, тем более благоприятен прогноз. Специфическим признаком этого рака считается наличие роговых чешуек плоского эпителия на внешней части опухоли, которые формируют желтоватую кайму. Такой вид рака почти во всех случаях формируется на кожных покровах – имеет наружную локализацию, практически никогда не встречается в других органах или тканях;
плоскоклеточный неороговевающий рак (недифференцированный плоскоклеточный). Данная форма характерна высокой степенью злокачественности, стремительным ростом и способностью к скорому метастазированию. Недифференцированный рак может развиваться в любом органе (ткани), но обычно он развивается на слизистых (к примеру, недифференцированная синоназальная опухоль носа). На кожном покрове этот рак развивается лишь в 10% случаев;
- низкодифференцированный (малодифференцированный) плоскоклеточный рак похож на саркому из-за того, что состоит из клеток веретенообразной формы. Данная разновидность онкологии самая злокачественная и стремительно прогрессирующая. Располагается чаще на слизистых оболочках разных органов;
- железисто-плоскоклеточный (диморфный) рак является разновидностью опухоли, которая формируется в органах, имеющих кроме слизистых оболочек систему желез (легкие, полость матки и др.). Железисто-плоскоклеточный рак обладает неблагоприятным прогнозом, стремительным течением заболевания и высокой его агрессивностью.

Симптомы заболевания
Симптомы заболевания зависят от месторасположения и от того, какой орган оказался им поражен. У всех типов этой онкологии есть общие клинические признаки, которые характеризуют особенности его роста.
В зависимости от способа роста рак можно разделить на такие формы:
- экзофитная форма (папиллярная) характерна появлением узелка, четко ограниченного от окружающих тканей. Он быстро увеличивается в размерах, и становится похожим на соцветия цветной капусты красно-коричневого оттенка. Поверхность опухоли бугристая, с различимой впадиной в середине. Эта опухоль прикрепляется к поверхности слизистой или к коже тонкой ножкой или широким основанием. Со временем вся поверхность опухоли изъязвляется, переходя в эндофитную разновидность;
- эндофитная форма (инфильтративно-язвенная) имеет маленький первичный узелок, который быстро изъязвляется и на его месте появляется одна большая язва. Эта опухоль неправильной формы, плотные приподнятые края, шероховатое дно, которое покрыто белесым налетом с неприятным запахом. Язва почти не изменяется в размерах, так как опухоль распространяется вглубь тканей;
- смешанная форма объединяет в себе все вышеперечисленные признаки.
Разновидности
Рак кожи

Проявляется такими местными симптомами:
- отечность и болезненность рядом лежащих тканей;
- зуд, жжение;
- нарушение чувствительности;
- краснота кожи вокруг опухолевой области.
Рак красной каймы губ
Рак нижней губы чаще встречается, чем верхней и преимущественно у мужчин. Развивается как ороговевающая форма (95% случаев). Часто диагностируется инфильтративно-язвенная форма, она быстро развивается и очень агрессивная. Опухолевая форма растет медленнее и редко дает метастазы.
Рак полости рта
Развивается из эпителия слизистой неба, десен, губ и щек. Кроме прочих факторов риска, такое заболевание может развиваться вследствие частого употребления горячей пищи.
Симптомы:
- боль. В зависимости от местоположения опухоли, возникающая боль распространяется на область головы, ушей, носа;
- повышенное слюноотделение;
- затруднение речи и процесса жевания;
- неприятный запах изо рта. Появляется на поздних стадиях болезни из-за процесса отмирания ткани опухоли.
Рак миндалин
Главным симптомом при этом виде онкологии являются трудности при глотании и боли в ротоглотке. На самих миндалинах могут быть плотные очаги беловатого цвета с изъязвлением или без.
Рак гортани
Симптомы таковы:
- трудность дыхания (трудно вдыхать и выдыхать);
- хриплость голоса (при разрушении голосовых связок);
- ощущение инородного тела в горле, боль при глотании;
- сухой, непрекращающийся кашель;
- кровохарканье.
Рак трахеи и бронхов (легких)
Признаки онкологии трахеи и бронхов:
- сухой продолжительный кашель, который не устраняется противокашлевыми препаратами;
- кровохарканье возникает при некрозе опухоли (считается очень неблагоприятным признаком);
- частые инфекции, бактериальные и паразитарные (пневмония и т.д.);
- нехватка воздуха возникает при перекрытии просвета дыхательных путей.
Рак пищевода
К рискам, которые могут спровоцировать онкологию пищевода можно добавить гастроэзофагеальную болезнь (ГЭРБ), которая характерна забросом кислого желудочного сока в пищевод.
Чаще при такой локализации диагностируется опухолевая форма рака. Новообразование может расти до больших размеров и перекрывать просвет кишечника.
Признаки рака пищевода:
- боли в груди. Они могут возникнуть на поздних стадиях развития рака, когда происходит сдавливание опухолью близлежащих тканей организма и органов;
- нарушение глотания (дисфагия). Рост опухоли в просвет мешает продвижению пищи – вначале только твердой, а позже жидкой и даже воды;
- срыгивание. В разросшейся опухоли могут застревать кусочки еды, которые срыгиваются спустя какое-то время;
- неприятный запах изо рта появляется при некрозе (распаде) опухоли и присоединении инфекции;
- кровотечения возникают при разрушении кровеносной системы пищевода. Появляется рвота с кровью, а в стуле обнаруживаются кровавые сгустки. Этот симптом опасен для жизни и требует срочной медпомощи.
Рак прямой кишки
Плоскоклеточный рак прямой кишки может проявляться следующими симптомами:
- нарушение стула (поносы сменяют запоры);
- после дефекации ощущение полноты кишечника;
- кал в виде ленты (ленточный кал);
- в каловых массах примеси крови, слизи или гноя;
- болезненность при дефекации;
- боли в животе и зоне ануса;
- недержание кала и газов (бывает при запущенных стадиях).
Рак шейки матки
Обычно фактором, который способствует развитию плоскоклеточного рака шейки матки, становится вирус папилломы человека (присутствует у 75% женщин с диагнозом РШМ).

Симптомы этого вида заболевания являются неспецифичными и могут быть похожи на симптомы других заболеваний мочеполовой системы:
- кровотечения вне менструального цикла, боль при половом акте;
- боли внизу живота;
- нарушение процесса мочеиспускания и дефекации.
Рак вульвы
Рак вульвы имеет разнообразные симптомы, но может протекать практически бессимптомно до последних стадий. Внешне новообразование вульвы выглядит как бородавки ярко розового (красного или белого) оттенка.
Симптомами заболевания являются:
- зуд и раздражение приступообразного характера в зоне наружных половых органов, преимущественно в ночное время;
- изъязвление наружных половых органов;
- боль и уплотнение в зоне наружных половых органов;
- гнойные (кровянистые) выделения из половой щели;
- отек лобка, вульвы, ног (проявляется на поздних стадиях).
Диагностика онкологии
Процесс диагностирования плоскоклеточного рака состоит из:
- личный осмотр у врача;
- инструментальные исследования;
- лабораторные исследования;
- биопсия.

Следующим этапом диагностирования является инструментальное исследование, которое включает: термографию, эндоскопическое исследование, конфокальную лазерную микроскопию, МРТ.
Термография – это метод измерения температуры в месте предполагаемой опухоли, который помогает определить, есть ли раковое заболевание или нет.
Эндоскопическое исследование помогает изучить более досконально внутреннюю поверхность интересуемого органа.
Эндоскопия делится на:
- бронхоскопию;
- эзофагоскопию;
- ларингоскопию;
- кольпоскопию.
Конфокальная лазерная сканирующая микроскопия позволяет получить многослойное изображение верхних слоев кожи и эпидермиса. Преимущество данного метода заключается в том, что этот вид диагностики можно проводить без предварительного взятия материала.
МРТ помогает увидеть послойное изображение разных органов и тканей организма человека. К примеру, МРТ поможет увидеть раковое поражение клеток лимфоткани при метастазах.
При подозрении на плоскоклеточный (спиноцеллюлярный) рак могут назначить лабораторные исследования. Общий анализ крови и мочи назначают для выяснения общего состояния организма человека и выявления сопутствующих заболеваний.
Основными показательными исследованиям могут считаться цитологическое исследование и исследования на онкомаркеры.
Для плоскоклеточного вида онкологии специфичным онкомаркером является SCC-антиген. Его превышение на 1,5 нанограмма в мл может говорить о возможном присутствии в организме плоскоклеточного рака. Но постановка диагноза лишь по результатам онкомаркера недопустима, так как повышение этого антигена может быть и при предраковых заболевания кожи, при печеночной недостаточности, других кожных заболеваниях.
При цитологическом методе изучается форма, размер, строение и состав опухолевой клетки, которая получена различными путями. Материалом для исследования могут служить микропрепараты: соскобы с полости рта, отпечатки с кожного новообразования, выделения из влагалища, мокрота и т.д.
Биопсия является завершающим этапом исследования на онкологию. Взятый материал для исследования (биоптат) специально обрабатывается и потом исследуется под микроскопом.
Лечение плоскоклеточного рака

При химиохирургической терапии (методом Моха) прогноз для плоскоклеточного рака очень благоприятен (99% эффективности лечения). Такой вид лечения эффективен для опухолей с нечеткими границами. Отдельно химиотерапию (препараты наружного применения) используют при опухолях малого размера, чтобы не дать ей разрастись.
При начальных стадиях высокую эффективность имеет и радиотерапия. Фотодинамический метод используется, когда поражена область глаз или носа (другие методы могут нарушить зрение или повредить носовой хрящ).
Народные способы лечения
При плоскоклеточном раке не стоит заниматься самолечением и отказываться от традиционных методов терапии, но при этом, с разрешения лечащего врача можно использовать народные методы для облегчения состояния пациента.
Места, пораженные плоскоклеточным (эпидермоидным) раком можно обрабатывать настойкой из березовых почек, также положительно сказываются на самочувствии примочки из вербены. Используют для лечения язв и бляшек мазь, которая изготавливается из сушеных семян граната и меда.
Прогноз заболевания и профилактика болезни
Для достижения высокого эффекта очень важно вовремя диагностировать заболевания и правильно провести лечение. При выявлении заболевания на ранних стадиях вероятность излечения очень высока. После проведения лечения пациент находится в течение жизни под наблюдением врача.
Прогноз пятилетней выживаемости при этом виде онкологии зависит от локализации заболевания.
При онкологии губы пятилетняя выживаемость в 1 стадии заболевания – 90%, во 2 стадии – 84 %, в 3-4 стадиях- 50%. При опухоли гортани и пищевода на всех стадиях прогноз выживаемости – около 10-20 %. При новообразованиях кожи – на 1-2-3 стадиях – выживаемость 60%, на 4 – 40%. При онкологии кишечника и желудка – на 1 стадии – почти 100%, на 2 -80%, на 3 — 40-60%, на 4 – всего 7 %. При раке легкого прогноз пятилетней выживаемости на 1 стадии – 30-40 %, на 2 – 15-30%, на 3 – 10%, на 4 стадии – 4-8%.
Профилактические мероприятия онкологии включают в себя:
- ограничение времени пребывания на солнце летом;
- не злоупотреблять посещением солярия;
- своевременное лечение дерматитов;
- пользование солнцезащитными средствами (особенно при походе на пляж);
- внимательное отношение к всевозможным изменениям на коже (увеличение размера, формы и количества родинок, родимых пятен и т.д.).
Вопрос-ответ
Что такое рак Кангри?
Это онкология передней брюшной стенки, которая спровоцирована ожогами от горшка с углями, носимого жителями Гималаев.
Что такое инвазивный рак молочной железы?
Обнаруженная на не начальных стадиях онкология молочной железы, как правило, диагностируется как «инвазивная карцинома». Это быстро прогрессирующее заболевание. Мутировавшие клетки стараются быстрее распространиться за пределы органа, пораженного раком.
Советы
СОВЕТ №1
Регулярно проходите медицинские осмотры, особенно если у вас есть факторы риска, такие как курение или длительное воздействие солнечных лучей. Ранняя диагностика плоскоклеточного рака значительно повышает шансы на успешное лечение.
СОВЕТ №2
Обратите внимание на изменения в коже, такие как новые родинки или изменения в существующих. Если вы заметили что-то необычное, не откладывайте визит к дерматологу, так как это может быть признаком рака кожи.
СОВЕТ №3
Соблюдайте здоровый образ жизни: правильно питайтесь, занимайтесь физической активностью и избегайте вредных привычек, таких как курение. Это поможет укрепить иммунную систему и снизить риск развития рака.
СОВЕТ №4
Обучайте себя и своих близких о факторах риска и симптомах плоскоклеточного рака. Чем больше вы знаете, тем лучше сможете защитить себя и своих близких от этого заболевания.

сбой в системе противоопухолевой защиты. Если по каким-либо причинам происходит мутация в антигене, который останавливает клеточное деление, то может начаться раковый процесс;
Уф-излучение при длительном влиянии оказывает на кожу человека вредное воздействие, в результате которого могут возникнуть различные генетические мутации, а это, в свою очередь, приводит к росту онкоклеток и уменьшает противоопухолевую защиту. При длительном влиянии УФ-лучей противоопухолевый иммунитет может не справиться с возникающим мутированным геном, и это приводит к развитию плоскоклеточного рака.
болезнь Боуэна. Внешне выглядит как несколько небольших пятен красного оттенка, которые могут находиться на поверхности туловища. С течением времени в области новообразования появляется чешуйчатая бляшка красно-коричневого оттенка. При переходе болезни в плоскоклеточный рак (сквамозно-клеточную карциному) поверхность бляшки начинает изъязвляться.
1 — характеризуется наличием небольшой опухоли, размером не больше 2 см;
плоскоклеточный неороговевающий рак (недифференцированный плоскоклеточный). Данная форма характерна высокой степенью злокачественности, стремительным ростом и способностью к скорому метастазированию. Недифференцированный рак может развиваться в любом органе (ткани), но обычно он развивается на слизистых (к примеру, недифференцированная синоназальная опухоль носа). На кожном покрове этот рак развивается лишь в 10% случаев;