
Накопление воды в дыхательных органах происходит постепенно и достигает очень большого количества. Это мешает нормальному функционированию лёгких и способствует нарастанию дыхательной недостаточности. Наличие жидкости в органах дыхания при отсутствии лечения может повлечь опасные последствия, и даже стать причиной преждевременной смерти пациента.
Плеврит и отёк лёгких
Отёк лёгких – что это? Это крайне опасное и трудноизлечимое состояние, которое сопровождается сердечно-сосудистой недостаточностью и отказом органов. Характерные признаки этого заболевания появляются на запущенных поздних стадиях болезни, поэтому лечение чаще всего бывает неэффективным. При помощи интенсивной терапии временно облегчается состояние больного, но долго прожить с подобной патологией невозможно.
Вода в полости плевры менее опасна, чем при отёке лёгких. В настоящее время имеются эффективные методы, позволяющие убрать лишнюю жидкость в отёчной полости плевры и стабилизировать состояние больного. Болезнь, при которой плевральная полость заполнена жидкостью, называется плевритом.
Полость плевры – это зона между двумя плевральными листками. Внешний листок прикрывает лёгкие снаружи и обеспечивает защиту и герметичность. Внутренним листком выстилается стенка внутри грудной полости. В нормальном состоянии между листками плевры всегда имеется жидкость необходимого объёма (примерно 10 мл. жидкости), обеспечивающая движение лёгких во время дыхания. В норме слой жидкости в плевральной полости должен быть толщиной 2 мм. В случаях, когда жидкости собирается больше, наблюдаются застойные явления в лёгких и отёки.

Гидроторакс – скапливание жидкости в плевральной полости, имеющее не воспалительное происхождение. Народное название этой болезни — водянка. Водянка правого или левого лёгкого встречается довольно редко. Наиболее распространенной разновидностью является двусторонний гидроторакс.
Обычно экссудативные (осумкованные) плевриты в онкологии развиваются из-за распространения метастазов в плевральную полость и лимфатические узлы, расположенные в грудной клетке. Эти процессы уменьшают лимфоотток и повышают проницаемость стенок кровеносных сосудов.
Жидкость в легких, возникающая при онкологических заболеваниях, представляет собой серьезную проблему, с которой сталкиваются многие пациенты. Врачи отмечают, что накопление жидкости может быть следствием как самой опухоли, так и сопутствующих заболеваний, таких как плеврит или метастазы. Это состояние приводит к затруднению дыхания, кашлю и дискомфорту, что значительно ухудшает качество жизни пациента.
Прогноз при наличии жидкости в легких зависит от множества факторов, включая стадию онкологического процесса, общее состояние здоровья пациента и эффективность проводимого лечения. Врачи подчеркивают важность ранней диагностики и своевременного вмешательства, так как это может существенно улучшить прогноз. В некоторых случаях, удаление жидкости может облегчить симптомы и улучшить состояние пациента, однако основное внимание должно уделяться лечению основного заболевания. Таким образом, комплексный подход к терапии и регулярное наблюдение являются ключевыми для достижения положительных результатов.

Причины
Если плевральная полость или лёгкие наполнены жидкостью, это ведёт к нарушению воздухообмена в дыхательных органах и повреждению целостности стенок кровеносных сосудов. Откуда берется и почему скапливается жидкость?
Образованию злокачественного плеврита могут способствовать следующие причины:
- осложнение после радиотерапии, химиотерапии или лучевой терапии;
- операция по удалению злокачественной опухоли;
- разрастание раковой опухоли в прилегающие и регионарные лимфатические узлы или развитие метастазов;
- резкое снижение уровня содержания общего белка в организме (на поздних стадиях болезни);
- снижение кровяного давления;
- высокая проницаемость тканей плевры;
- закупорка грудного лимфатического процесса в лёгком;
- частичное или полное перекрытие просвета крупного бронха.
Эти факторы провоцируют снижение давления в полости плевры, из-за чего начинает собираться жидкость.
Есть ещё несколько причин, отчего появляется вода в органах дыхания:
- хроническая сердечная недостаточность (в том числе после операции на сердце), инфаркт миокарда, аортокоронарное шунтирование (АКШ);
- травмы грудной клетки;
- отравление токсичными химическими веществами;
болезни лёгких (плеврит, туберкулёз);
- болезни печени. При циррозе печени асцит (скопление жидкости под лёгкими в брюшной полости) может отягощаться отёком лёгкого;
- заболевания головного мозга и послеоперационные осложнения;
- хронические болезни дыхательной системы (бронхиальная астма, хроническая обструктивная болезнь лёгких);
- почечная недостаточность;
- ожирение, недостаточная двигательная активность;
- гипертония;
- нарушенный обмен веществ (сахарный диабет).
От чего бывает отёк лёгкого у лиц пожилого возраста? У пожилых людей это заболевание может возникнуть из-за сердечной или почечной недостаточности или очень часто от травмирования грудины. Часто жидкость в лёгких наблюдается и у новорождённых. Такое случается, когда ребёнок родился недоношенным или с помощью Кесарева сечения. В тяжёлых случаях новорождённого помещают для лечения в реанимацию, в несложных случаях воду из органов дыхания выкачивают специальным насосом.
Симптомы
Злокачественный плеврит характеризуется планомерным и медленным развитием. При онкологических заболеваниях скапливание воды в лёгких происходит в течение многих лет. Поэтому в некоторых случаях диагностика плеврита помогает обнаружить опухоль и предотвратить образование метастаз в плевре. : рак легких симптомы и признаки.
На ранних стадиях скопление воды никак не проявляется и не чувствуется больным. Чаще всего болезнь бывает обнаружена случайно во время диспансерного обследования.
Со временем в отёчной плевральной полости собирается много жидкости, и появляются характерные симптомы:
- тяжесть в грудной клетке, чувство сдавленности;
- ощущение, будто инородный предмет попал в лёгкое;
ноющая и колющая боль в области больного лёгкого;
- одышка даже при небольшой физической нагрузке, ощущается «комок в горле»;
- кашель с надрывом не проходящий в течение долгого времени;
- субфебрильная температура тела;
- выделение густой мокроты.
Отёк лёгких чрезвычайно опасное состояние, симптомы которого образуются очень стремительно, в течение нескольких часов. Чем опасна жидкость при этой патологии? Проявления отёка лёгкого могут послужить причиной приступа удушья, который без своевременной помощи может закончиться даже смертью пациента.
Типичные признаки скопления воды зависят от количества жидкости в дыхательных органах и локализации.
Выделяют несколько типичных проявлений заболевания:
- нарастающая одышка, вначале от физической нагрузки, а потом и в состоянии покоя;
- общая слабость, снижение работоспособности;
- кашель с выделением слизи и пены из носа и рта;
- ощущение боли в нижней или боковой области грудины (боль нарастает при физической нагрузке или кашле);
- нарушения дыхания (слышны булькающие звуки и хрипы);
- головокружение, предобморочное состояние;
- синюшность или бледность кожи;
- онемение рук и ног;
- озноб, постоянно ощущается «холодок»;
- повышение потоотделения, холодный липкий пот;
- тахикардия (учащённое сердцебиение);
- повышение нервной возбудимости.
При появлении подобных симптомов требуется незамедлительно начинать лечение, по возможности вывести воду из дыхательных путей и провести процедуры для восстановления дыхания, чтобы избежать тяжёлых последствий.
Важно! Появление обильной розовой пенистой мокроты означает, что больному необходимо оказать срочную медицинскую помощь. Если пациенту вовремя не помочь, это грозит летальным исходом.
Жидкость в легких при онкологии — это серьезное состояние, которое может возникнуть в результате опухолевого процесса. Люди, столкнувшиеся с этой проблемой, часто делятся своими переживаниями и страхами. Некоторые отмечают, что накопление жидкости может вызывать одышку, дискомфорт и ухудшение общего самочувствия. Важно понимать, что это состояние может быть следствием как самой опухоли, так и побочных эффектов лечения.
Прогноз при наличии жидкости в легких зависит от многих факторов, включая стадию заболевания, общее состояние пациента и эффективность проводимой терапии. Некоторые пациенты сообщают о положительных результатах после дренирования жидкости и адекватного лечения, что позволяет улучшить качество жизни. Однако для других это может быть признаком прогрессирования болезни. Важно, чтобы пациенты находились под наблюдением специалистов и получали необходимую поддержку, как медицинскую, так и психологическую.

Диагностика
Если у больного обнаружились подобные симптомы, нужно срочно обратиться в лечебное учреждение и обследоваться у онколога, который при необходимости направит к другим специалистам: пульмонологу, ЛОР врачу и другим. Всеми специалистами собирается подробный анамнез и проводится тщательный осмотр пациента.
Для того чтобы определить точный диагноз проводится комплексное обследование. Во время осмотра врачом определяется отставание больного лёгкого в процессе дыхания. При пальпации грудной клетки учитывается укороченный звук, когда простукивается нижний отдел грудной клетки.
Если имеются признаки плеврита, врач назначает следующие исследования:
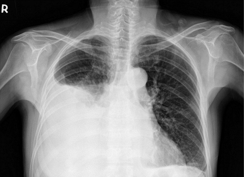
рентген органов грудной клетки;
- УЗИ грудной клетки;
- КТ – определяет причину болезни;
- пункция из полости плевры – производится забор жидкости, которая отправляется на гистологическое и цитологическое исследование.
Лечение
Когда выяснены причины и симптомы заболевания, приступают непосредственно к лечению. Хирургические операции при отёке лёгких делать неэффективно, используется только медикаментозная терапия.
Для лечения этого заболевания применяются различные лекарственные препараты:
- сердечные гликозиды – вещества, стимулирующие сокращение миокарда (строфантин, коргликон);
- диуретики – мочегонные препараты, стимулирующие выведение жидкости из организма (фуросемид и пр.);
- препараты, расширяющие и приводящие в тонус гладкие мышцы бронхов (эуфиллин).
Используя современные методы терапии, имеется возможность полностью вылечить злокачественный плеврит, благодаря чему существенно увеличивается продолжительность жизни больного. При злокачественном плеврите лечение будет сильно отличаться, так как в этом случае медикаментозное лечение неэффективно.
Радикальным способом лечения считается хирургическая операция, которая обеспечивает откачивание жидкости из дыхательных путей при онкологии. При плеврите применяются два вида операции по удалению воды из лёгких: плевроцентез и плевродез.
Плевроцентез – это операция, при которой экссудат удаляют механически (прокалыванием). В ходе операции тонкой иглой делают прокол лёгкого для откачки воды. Затем применяется другая игла с присоединённой трубой электроотсоса. Таким образом, совершается откачка лишней жидкости, и больной сразу чувствует облегчение. Если жидкость после выкачивания из плевральной полости жёлто-коричневая и прозрачная, значит, инфекции нет.
После подобной операции жидкость в лёгких иногда набирается снова, так как не устранена основная причина болезни. Бывают случаи, когда откачивать жидкость приходится несколько раз. Повторное выкачивание жидкости очень тяжело переносится пациентом.
Кроме этого, после этой процедуры отмечается образование спаек, которые ещё более усложняют течение главного заболевания. При операции или после нее, из-за того, что пациент не может кашлять, могут возникнуть слизистые пробки в дыхательных путях. Такие пробки убирают при помощи специальных отсосов.

В ходе терапии используются следующие препараты:
- цитостатики (цисплатин, эмбихин);
- иммуномодуляторы (интерлейкин);
- антибиотики и антимикробные препараты (тетрациклин);
- радиоизотопы.
Для онкологических заболеваний, чувствительных к химиотерапии, применяются цитостатические средства. В 65% случаев такой подход к терапии помогает избавиться от экссудативных симптомов плеврита.
В некоторых случаях причиной скопления воды в органах дыхания становится пневмония. Тогда для борьбы с опасной инфекцией пациенту назначают антибиотики. Кроме этого рекомендуется принимать противокашлевые и противовирусные препараты.
Некоторые народные средства позволяют убрать жидкость из дыхательных путей прямо на дому. Но их нельзя применять без предварительного обсуждения с лечащим врачом. Вот некоторые из растений, которыми лечат в народной медицине для удаления воды из лёгких: овёс, петрушка, лук, калина, анис, семена льна, алоэ.
Видео по теме
https://youtube.com/watch?v=ztTOVgWGBNQ
Прогноз
Сколько живут пациенты с плевритом или отёком лёгкого? По статистике своевременно проведённое лечение плеврита в половине всех случаев продлевает жизнь больного и улучшает её качество. Если проявления заболевания обнаружены на II или III стадии онкологии, существует вероятность успешного лечения.
В случаях, когда отёк или плеврит развился на поздней стадии, лечение обычно бывает трудным и приносит пациенту лишь временное облегчение. Сначала откачивают жидкость, дальше проводятся процедуры, чтобы облегчить дыхание при метастазах.
При метастатических изменениях в органах дыхания и регионарных лимфатических узлах прогноз неблагоприятный – выживаемость от нескольких месяцев до года. При наличии отёка лёгких у онкобольного и отсутствии медицинской помощи (своевременной выкачки жидкости), пациент может погибнуть за несколько часов.
Примерная цена на некоторые услуги для выявления отёка лёгких в крупных медицинских центрах:
- консультация пульмонолога – 10 000 рублей;
- рентген – 5 000 рублей;
- исследование функции внешнего дыхания – 3 000 рублей;
- МСКТ грудной клетки – 10 000 рублей.
Вопрос-ответ
Почему скапливается жидкость в легких при онкологии?
При злокачественной опухоли плевры (мезотелиоме) повышается проницаемость сосудистой стенки капилляров. Жидкость из крови активно поступает в легкие, а ее откачка лимфатической системой, напротив, ухудшается. В результате возникает застой и скопление жидкости.
Почему при онкологии скапливается жидкость?
Прежде всего, при онкологии возникает так называемый канцероматоз брюшины – поражение раковыми клетками. Злокачественные клетки негативно влияют на брюшину и провоцируют избыточную выработку жидкости. Одновременно с этим нарушается нормальное всасывание этой жидкости, и она начинает скапливаться в брюшной полости.
Какой рак вызывает плеврит?
Чаще всего плеврит развивается при раке легкого (24-50% пациентов), яичников (до 10%), молочной железы (48%).
Советы
СОВЕТ №1
Обязательно проконсультируйтесь с врачом при появлении симптомов, таких как одышка, кашель или боль в груди. Эти признаки могут указывать на наличие жидкости в легких и требуют немедленного медицинского вмешательства.
СОВЕТ №2
Регулярно проходите обследования и следите за своим состоянием, особенно если у вас уже диагностирована онкология. Раннее выявление проблем с легкими может значительно улучшить прогноз и качество жизни.
СОВЕТ №3
Обсудите с врачом возможные методы лечения и управления симптомами, такими как дренирование жидкости или применение медикаментов. Знание доступных вариантов поможет вам принимать более осознанные решения о своем здоровье.
СОВЕТ №4
Поддерживайте здоровый образ жизни, включая сбалансированное питание и физическую активность, если это возможно. Это может помочь укрепить иммунную систему и улучшить общее состояние организма в борьбе с онкологией.
болезни лёгких (плеврит, туберкулёз);
ноющая и колющая боль в области больного лёгкого;
рентген органов грудной клетки;