Один из органов, регулирующих эндокринную систему – надпочечники. Аденома надпочечников у женщин – довольно неприятное заболевание, которое имеет свои симптомы и требует лечения.
Важно! Если в надпочечниках появляется новообразование, это сказывается на всей эндокринной системе, так они связаны с другими составляющими этой системы.
Что такое надпочечники и их функции

Надпочечники – это парные органы, небольшого размера, которые заключены в капсулы и находятся в верхней части почек. Каждый из этой пары состоит из мозгового вещества и коры, и отвечает за формирование определенного гормона.
Мозговое вещество производит:
- Адреналин, который выбрасывается в кровь человека при стрессах, а при их отсутствии его количество невелико. Также оказывает влияние на трансляцию нервных импульсов, на пульс и артериальное давление;
- Норадреналин;
- Группу пептидов.
Кора надпочечников формирует:
- Глюкокортикоды;
- Минералкортикоды;
- Половые гормоны.
Корковое вещество расположено под капсулой, занимает около 90 % массы железы и подразделяется на три зоны:
- Клубочковая;
- Пучковая;
- Сетчатая.
Клубочковая вырабатывает гормоны, которые отвечают за минеральный обмен, выведение из организма ненужной жидкости, отвечает за поддержание нормального давления. Эти гормоны называются – кортикостерон и альдостерон.
Пучковая часть отвечает за глюкокортикостероиды — гормоны, которые регулируют белковый, углеводный и жировой обмен, участвуют в подавлении воспаления, воздействуют и на прочие процессы, происходящие в организме.
Сетчатая часть помогает синтезу половых гормонов и формированию вторичных половых признаков.
Надпочечники подвержены следующим типам заболеваний:
- Врожденные;
- Патогенные;
- Феохромоцитома;
- Гиперфункция надпочечников.
Надпочечники выполняют ряд функций:
- Обеспечивают стрессоустойчивость и восстановление после стресса;
- Стимулируют ответные реакции на раздражители;
- Производят гормоны;
- Принимают участие в метаболических процессах (процессе обмена веществ и энергии);
- Вырабатывают биологически активные вещества, которые участвуют в передаче нервных импульсов (вещества-медиаторы).
Аденома надпочечника у женщин представляет собой доброкачественную опухоль, которая может влиять на гормональный фон организма. Врачи отмечают, что данное заболевание часто протекает бессимптомно, что затрудняет его раннюю диагностику. Однако в некоторых случаях аденома может вызывать избыток гормонов, что приводит к различным нарушениям, таким как гипертония, изменения в обмене веществ и даже бесплодие. Специалисты подчеркивают важность регулярных медицинских осмотров, особенно для женщин старше 40 лет, так как раннее выявление опухоли значительно увеличивает шансы на успешное лечение. В случае подозрения на аденому, врачи рекомендуют проводить ультразвуковое исследование и анализы на гормоны, чтобы определить дальнейшую тактику лечения.

Аденома надпочечников и ее признаки

Раковая опухоль бывает:
- Гормонально активной;
- Неактивной.
При небольших размерах (до 5 см) неактивной опухоли (микроаденома) она может не проявлять себя никакими симптомами. При больших размерах (более 10 см) она может сдавливать вену, тем самым вызывать боль в пояснице. Гормонально активная аденома проявляет себя симптомами, которые зависят от типа гормона, который она вырабатывает.
Доброкачественная опухоль, развивающаяся из корковой части надпочечника по гистологическому исследованию подразделяется на несколько типов:
- Светлоклеточный тип;
- Темноклеточный тип (характеризуется высокой гормональной активностью, но встречается редко);
- Смешанный тип.
По внешнему виду можно выделить три типа аденомы:
- Адренокортикальная – обычно доброкачественная опухоль, но может перерасти в злокачественную. Имеет один небольшой узелок с твердой оболочкой;
- Пигментная – имеет темно-бордовый оттенок. Обычно она встречается у пациентов с диагнозом Иценко-Кушинга;
- Онкоцитарная – имеет множество митохондрий, самый редкий тип.
Признаки аденомы надпочечников выражаются в следующем:
- Увеличивается масса тела (особенно это заметно в области шеи, груди, живота);
- Округляется лицо, становясь «луноподобным»;
- Происходит атрофирование мышц ног, плеч;
- Заметно истончается кожа, на ней могут появиться растяжки;
- Происходит ослабление брюшных мышц, и живот начинает провисать, может появиться грыжа;
- Увеличивается риск получения внезапных переломов из-за возникающего остеопороза;
- Появляется заторможенность и сонливость;
- Происходит срыв менструального цикла у женщин и полностью прекращается (у мужчин – снижается потенция);
- Артериальное давление подвержено резким перепадам;
- Могут появиться признаки вторичного диабета;
- Начинают усиленно расти волосы по всему телу (признаки маскулинизации).
У детей аденома надпочечников может вызвать ранее половое созревание, а у мужчин – развитие женских признаков. Нарушение гормонального фона приводит к общему снижению самочувствия.
Причины возникновения аденомы надпочечников
О точных причинах появления этого заболевания ничего сказать нельзя, но отмечаются следующие факторы риска:
- Наследственная предрасположенность;
- Ожирение, алкоголизм, стрессы (увеличивается кора надпочечников – происходит гиперплазия);
- Возраст старше 50 лет;
- Неправильный образ жизни и влияние окружающей среды;
- Эндокринные опухоли щитовидной, поджелудочной желез и гипофиза.
Развитию опухоли могут поспособствовать несколько факторов одновременно.
Аденома надпочечника у женщин — это доброкачественная опухоль, которая может влиять на гормональный фон и общее состояние здоровья. Многие женщины, столкнувшиеся с этой проблемой, отмечают, что симптомы могут быть разнообразными: от незначительных изменений в менструальном цикле до более серьезных проявлений, таких как увеличение веса, повышенная утомляемость и изменения в настроении. Важно понимать, что аденома может быть бессимптомной, и часто диагноз ставится случайно при обследовании по другим причинам. Женщины делятся опытом, что своевременное обращение к врачу и регулярные обследования помогают избежать осложнений. В некоторых случаях аденома требует хирургического вмешательства, но многие женщины успешно справляются с этой проблемой с помощью медикаментозной терапии и изменения образа жизни. Обсуждение этой темы в медицинских кругах и среди пациенток помогает повысить осведомленность и снизить страх перед диагнозом.

Опасность для жизни
Основная опасность этого заболевания заключается в осложнениях, которые могут происходить при прогрессии заболевания. Например, повышение артериального давления может быть причиной инсульта (кровоизлияния в мозг), инфаркта, сосудистых нарушений в почках, изменения сосудов глаз. Рост аденомы сопровождается метастазированием в легкие, кости, печень и проявлением характерных симптомов.
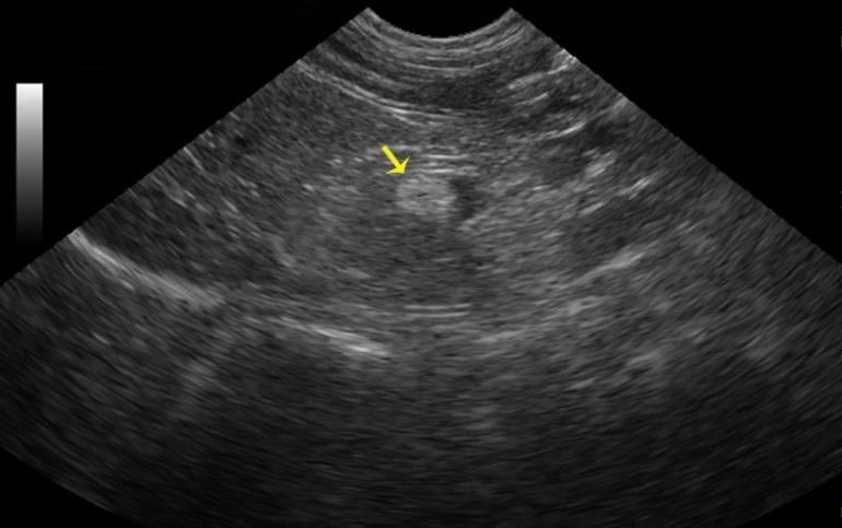
Методы диагностики

Для диагностирования аденомы надпочечников назначают проведение следующих процедур:
- МРТ, КТ, УЗИ;
- Биохимический анализ крови (проверяется уровень гормонов – кортизола, альдостерона, сахара в крови и т.д.);
- Биопсия (в редких случаях, из-за глубокого забрюшинного расположения возможной опухоли).
Если диагноз подтверждается, то следует регулярно наблюдаться у эндокринолога. А для нормализации гормонального фона используется гормональная терапия.
Виды аденомы
Аденома обычно бывает односторонней, одновременно аденома правого и левого надпочечников – редко встречается. Чаще бывает аденома левого надпочечника. Выглядит доброкачественная аденома как опухоль однородной структуры округлой формы желто-коричневого окраса, заключенная в плотную капсулу.
Обычно аденома увеличивается на несколько мм в год. Если опухоль превышает размер 4 см, то это говорит о ее перерождении в злокачественную, и нужна морфологическая диагностика.
Запомните! Скорость роста опухоли говорит о ее склонности к перерождению в злокачественную опухоль.
Разные виды опухолей ведут себя по-разному:
- Гормонопродуцирующая опухоль ведет себя агрессивно, симптомы у нее ярко выраженные. В этом случае требуется помощь эндокринолога или хирурга;
- Кортикостерома – самый часто встречающийся вид аденомы, которому подвержены молодые женщины. При этом виде аденомы в кровь выделяется большое количество кортизола, а это показывает нам симптомы кушингоидного синдрома:
- Нарушение минерального обмена;
- Атрофия мышц живота и ног;
- Видимые отложения на животе, шеи и т.д.;
- Истончение кожи (стрии, синдром Иценко-Кушинга);
- Заторможенность;
- Депрессия;
- Сахарный диабет;
- Гормональный дисбаланс.
- Альдостерома – более редкий вид аденомы. Эта опухоль синтезирует половые гормоны, не всегда того же пола. Если выделяются гормоны противоположного пола, то признаки на лицо (происходит маскулинизация у женщин или феминизация – у мужчин).
Лечение аденомы
Как лечить аденому зависит от типа аденомы. Неактивная аденома требует регулярного наблюдения у врача, сдачу анализа крови и диагностирования КТ раз в год.
Хирургическое удаление аденомы. Если размер аденомы превышает 4 см, активно выделяет гормоны, то назначают хирургическое удаление (аденомэктомия). Операции по удалению аденомы бывают следующих видов:
- Полостная операция через разрез с открытым доступом (считается самой травматичной). В случае обнаружения аденомы в обоих надпочечниках – единственно возможная;
- Лапароскопическое удаление – современный способ. Проводится через три маленьких надреза сквозь брюшную стенку, при этом используется миниатюрная камера. Также есть риск повреждения брюшины;
- Удаление с доступом со стороны поясницы. Считается, что этот современный способ удаления аденомы у женщин – наиболее рационален и менее болезнен – после операции больной быстро восстанавливается, и следа от операции почти нет.
Если опухоль злокачественная, то применяют химиотерапию, при запущенных стадиях в ход пускаю радиотерапию.
На начальных этапах развития опухоли применяют и народные средства, чтобы повлиять на динамику развития аденомы, но делать ставку только на использование народных средств не стоит – это не поможет остановить рост опухоли.
Запомните! При появлении любых необычных симптомов надо обратиться к врачу. При диагностировании болезни на начальных этапах – применение лечения имеет хороший прогноз.
Последствия заболевания
Если своевременно не лечить аденому надпочечников, то некоторые произошедшие изменения в организме будут необратимы. Изменятся сосуды глаз, головного мозга, почек, может снизиться зрение, появятся отеки. Кроме этого надо помнить, что вероятен риск перехода заболевания в рак надпочечников и возникновения метастаз.
Прогноз выживаемости
Небольшие аденомы склонны к благоприятному прогнозу – если их удалить, клинические признаки заболевания не появляются. При злокачественной опухоли прогноз будет зависеть от стадии заболевания и времени, когда было начато лечение.
Профилактика аденомы
Как и при любом заболевании, важным моментом остается соблюдение регулярности врачебных осмотров. Благодаря УЗИ забрюшинного пространства появляется шанс выявить аденому на ранних стадиях, а это позволит предотвратить осложнения.
Кроме этого, появление аденомы у женщин будет менее вероятно при контроле над гормональным уровнем, эндокринной патологией, массой тела, хроническими и инфекционными заболеваниями.
Видео по теме: Опухоли надпочечников

Вопрос-Ответ
После проведения операции по удалению аденомы мне прописали соблюдать диету. Нужна ли она?
Да, после проведения любой операции питание должно быть не только щадящим в плане ограничения вредных продуктов, но и насыщено полезными веществами. Специальная диета призвана помочь в нормализации питания.
Вопрос-ответ
Чем опасна аденома надпочечника у женщин?
Аденома надпочечников – доброкачественное новообразование в коре надпочечника, которое может вырабатывать гормоны или быть неактивным. Данная патология желез внутренней секреции опасна риском злокачественного перерождения с поражением других органов и появлением метастазов по всему организму.
Нужно ли удалять аденому надпочечника?
Аденома надпочечника – доброкачественное новообразование, иногда обладающее гормональной активностью и способное переходить в злокачественную форму. При активном росте опухоли и выраженной симптоматике заболевания показано хирургическое лечение.
Как лечить доброкачественную аденому надпочечника?
Если опухоль увеличивается в размерах или вызывает симптомы, их можно лечить лекарственными препаратами. Лекарственные препараты также могут использоваться для лечения таких симптомов, как повышенное артериальное давление перед операцией. Для лечения доброкачественной опухоли надпочечника может быть проведена операция по удалению надпочечника, называемая адреналэктомией.
Может ли аденома надпочечника перерасти в рак?
Может ли аденома надпочечника перерасти в рак? Аденома надпочечника — это доброкачественная опухоль. В большинстве случаев она не перерастает в рак. Однако существует небольшой риск малигнизации (превращения в злокачественную форму), особенно если опухоль крупная или быстрорастущая.
Советы
СОВЕТ №1
Обратите внимание на симптомы. Аденома надпочечника может проявляться различными симптомами, такими как изменения в весе, повышенное давление, изменения в менструальном цикле и другие. Если вы заметили у себя подобные признаки, не откладывайте визит к врачу.
СОВЕТ №2
Регулярно проходите медицинские обследования. Особенно если у вас есть предрасположенность к заболеваниям эндокринной системы, важно регулярно проверять состояние надпочечников и других органов. Это поможет выявить возможные проблемы на ранней стадии.
СОВЕТ №3
Следите за уровнем стресса. Хронический стресс может негативно влиять на работу надпочечников. Практикуйте методы релаксации, такие как йога, медитация или просто прогулки на свежем воздухе, чтобы поддерживать здоровье надпочечников.
СОВЕТ №4
Обсуждайте свои опасения с врачом. Если у вас есть вопросы или сомнения по поводу аденомы надпочечника или других заболеваний, не стесняйтесь обращаться к специалисту. Чем больше информации вы получите, тем лучше сможете управлять своим здоровьем.



