
Каковы причины заболевания?
Отчего бывает это заболевание? Риск развития карциномы лёгких зависит от разных обуславливающих факторов, среди которых выделяются следующие: место, где проживает человек, экологические и индустриальные условия, гендерные и возрастные особенности, наследственная предрасположенность и ряд других.

Для справки: Сигареты – являются одним из самых ключевых возбудителей рака лёгких. Люди, выкуривающие в среднем около двадцати сигарет в день на протяжении двадцати лет, находятся в самой высокой зоне риска заболеть раком лёгких. Содержащийся в табачном дыму деготь имеет в своем составе вещества, провоцирующие развитие онкологии у людей и животных. Тестовые исследования, проведенные на кроликах, показали, что, если просто нанести на их ухо определенное количество дегтя, по пришествии некоторого времени у них начинает расти опухоль.
В число ключевых факторов риска заболевания входят также перенесенные острые вирусные инфекции, хронические процессы в органах дыхания, не долеченные воспалительные очаги в легочных тканях. Согласно статистике, некоторые народности генетически предрасположены к опухолевидным процессам в лёгких.
Кроме того, на уровень заболеваемости оказывают влияние условия проживания – к примеру, жители мегаполисов сталкиваются с раком лёгких в разы чаще, нежели люди, проживающие в сельской местности, поскольку при высокой температуре в городских условиях асфальт нагревается и начинает выделять вещество формальдегид и другие вредоносные элементы, а сильнейшие электромагнитные излучения вызывают иммунодефицит.
Примечательно: Представители мужского пола сталкиваются с опухолью лёгких в 2 раза чаще, нежели женщины. Это объясняется тем, что именно мужчины больше всего заняты на производстве с вредными условиями труда и именно мужская часть планеты являются активными курильщиками. Данная болезнь в основном диагностируется у взрослых и намного реже у детей и подростков.
Врачи подчеркивают, что раннее выявление рака легких играет ключевую роль в успешном лечении. Первые симптомы заболевания могут быть неочевидными и включать постоянный кашель, одышку, боли в груди и необъяснимую потерю веса. Эти проявления часто списываются на простые заболевания дыхательных путей, что затягивает диагностику. Специалисты рекомендуют обращать внимание на изменения в здоровье, особенно у людей с факторами риска, такими как курение или наследственная предрасположенность. Лечение рака легких зависит от стадии заболевания и может включать хирургическое вмешательство, химиотерапию и радиотерапию. Врачи акцентируют внимание на важности регулярных обследований, особенно для группы риска, чтобы повысить шансы на успешное выздоровление.

Классификация
Исходя из локализации опухоли лёгких, используются следующие ее разновидности.
- Центральный рак лёгких. При данном виде неоплазии происходит стойкое поражение крупных бронхов. Обычно образование развивается внутри бронха либо по его стенке, что провоцирует сужение данного органа и перекрытие просвета. В результате того, что определенная доля лёгкого лишается воздуха и происходит его спад, так называемый ателектаз. При дальнейшем прогрессировании этого процесса начинается вторичное воспаление, которое приводит уже на последних стадиях течения болезни к разрушению ткани лёгкого. В свою очередь, образование разрастаясь за пределы стенок бронхов оказывает губительное воздействие на соседние ткани и лимфоузлы, образуя плотное соединение тканей. Выживаемость при центральном раке зависит от своевременной диагностики болезни;
- Периферическая опухоль лёгких. В данном случае наблюдается повреждение мелких бронхов, образование произрастает снаружи и заполняет собой легочную альвеолу (углубление, участвующее в процессе дыхания и осуществляющее газообмен с капиллярами лёгких), либо формирует весьма укрупненные узлы. Опасность данной разновидности опухоли в том, что долгое время (от двух до пяти лет) заболевание не дает о себе знать и не поддается диагностике. При этом в условиях любого внешнего негативного воздействия такое образование начинает стремительный рост и превращается в большую опухоль. Обычно, провоцирующими факторами выступают пневмония вирусного или бактериального происхождения, физиотерапия, злоупотребление посещением бани и сауны, постоянное пребывание на открытых солнечных лучах, подавленный иммунитет и прочие причины;
- Вторичный рак лёгких. Этот вид онкологии возникает из-за появления метастаз в лёгочных тканях вызванных развитием опухоли в других органах.
Важно! Врачи рентгенологи при несоблюдении правил защиты работы с лучевыми и рентгеновскими аппаратами находятся в существенной зоне риска заболеть раком лёгких.
Ранние признаки
Какие симптомы могут наблюдаться на ранней стадии развития рака лёгких и как их распознать? Вначале своего появления онкология лёгких не связана с дыхательными функциями, вследствие чего больные начинают обращаться к другим специалистам и как результат получают ошибочную постановку диагноза и неверное лечение.
Среди первичных признаков опухоли лёгких выделяются:
- Неизменная в течение суток температура 37-37.2, ввиду интоксикации организма (первоначальная стадия);
- Изматывающая слабость и потливость;
- Зуд кожи и дерматит. Очень часто именно этот признак становится самым ранним симптомом опухоли лёгкого. У людей пожилого возраста иногда на коже появляются небольшие наросты, ввиду того, что аномальные клетки вызывают аллергическое действие на организм пациента;
- Отечность конечностей и слабый тонус мышц;
- Изменения функций нервной системы, которые могут наблюдаться за долгое время до диагностирования данной болезни. Больной испытывает частые приступы головокружения, происходит заметное нарушение координации движений и чувствительности. У людей постарше фиксируется развитие слабоумия;
Очевидные симптомы поражения органов дыхания обнаруживаются уже тогда, когда образование распространяется на значительную часть лёгкого и начинает повреждать здоровые ткани. Исходя из подобной специфики диагностики рака лёгкого, специалисты считают, что при наличии неточных признаков необходимо пройти курс сдачи комплексных анализов и ежегодно делать флюорографию.
Первые симптомы рака легких часто остаются незамеченными, что затрудняет раннюю диагностику. Многие пациенты отмечают постоянный кашель, который не проходит, а также одышку и боли в груди. Иногда появляются неожиданные изменения в голосе или кровохарканье. Люди также сообщают о потере аппетита и резком снижении веса. Важно помнить, что эти симптомы могут быть связаны и с другими заболеваниями, но при их появлении стоит обратиться к врачу.
Лечение рака легких зависит от стадии заболевания и общего состояния пациента. Обычно применяются хирургические методы, химиотерапия и радиотерапия. Современные подходы включают таргетную терапию и иммунотерапию, которые показывают обнадеживающие результаты. Многие пациенты отмечают, что ранняя диагностика и своевременное лечение значительно повышают шансы на успешное выздоровление. Регулярные медицинские осмотры и внимание к своему здоровью могут сыграть ключевую роль в борьбе с этим заболеванием.
Видео: Необычные признаки рака легких
https://youtube.com/watch?v=F-fSCTAbQdU
Какая симптоматика наблюдается при раке лёгких?
Как проявляется опухоль легких? По мере прогрессирования болезни и разрастания раковых клеток, больной начинает сталкиваться с различными симптомами рака лёгких. Среди них выделяются такие как:
- Покашливание. Вначале кашель при раке сухой, который усиливается ночью, однако в силу того, что у большинства курильщиков такой кашель является нормой, больные не обращаются за помощью к врачу. Позже к кашлю присоединяется мокрота, по консистенции слизистая, либо гнойная с ярко выраженным запахом;
- Выделение мокроты с прожилками крови (кровохарканье), вследствие прорастания образования в сосудистые ткани. Этот признак является самым частым поводом обращения больного к доктору;
- Тупые и сильные боли в грудной клетке, возникающие вследствие того, что опухоль захватывает легочную плевру – место, где локализуются нервные окончания. В этом случае боли обычно носят острый либо тупой характер, возникают при дыхательном процессе или физических усилиях в той части, где легкое подвержено поражению;
- Нехватка воздуха и постоянная одышка (больной задыхается);
- Повышение температуры тела на уровне 37 и чуть выше (обычно рак легких не бывает без температуры), на последней стадии развития рака лёгких гипертермия может достигать 40 градусов;
- Появление синдрома гиперкортицизма, сопровождающегося излишним весом, обильной волосистостью, возникновением розовых полосок на поверхности кожи. Такие проявления обусловлены тем, что определенные разновидности аномальных клеток способны вырабатывать адренокортикотропный гормон (АКТГ), который и вызывает указанные признаки;
- Патологическая худоба (анорексия) и постоянные позывы к рвоте, нарушение работы нервной системы. Эти симптомы характерны, в случае если образование начинает выработку вазопрессина (антидиуретический гормон);
- Патологические процессы обмена кальция в организме, проявляющиеся развитием остеопороза, рвотой, вялым состоянием и проблемой со зрением. Происходит это в случае синтеза гормонов паращитовидной железы;
- Увеличение подкожных вен, отеки в области шеи и плеч, затруднительный процесс глотания:
- 4 стадия перед смертью — развитие паралича, парез мышц плечевого сустава, кровотечение, лихорадка. При метастазах в мозг происходят неврологические приступы и летальный исход больного.
Очень часто больных волнует вопрос, болят ли легкие при их раке? Учитывая, что в лёгких не присутствуют нервные окончания, пациент практически не испытывает болевых ощущений, до тех пор пока не начинается процесс метастазирования и не происходит давления на ближайшие к опухоли органы. Обычно боли при таком диагнозе появляются при физическом напряжении, процессе вдоха и имеют острый, жгущий и давящий характер.
Следует отметить, что специалисты разделяют симптоматику опухоли лёгких в зависимости от гендерной дифференциации.
Так, признаками рака лёгких у мужской половины человечества считаются следующие:
- Размытость симптомов на начальных этапах развития рака лёгких;
- Длительный кашель без особых причин;
- Охриплость голосовых связок;
- Постоянная одышка;
- Слабость и утомляемость;
- Свистящее дыхание;
- Отеки на лице;
- Тахикардия;
- Затрудненный процесс глотания;
- Увеличение лимфатических узлов в подмышечных впадинах;
- Чувство депрессии и головокружение;
- Болевые ощущения при вдохе;
- Ноющие головные боли.
Симптомы рака лёгких у женщин отличаются от таковых у мужчин наличием ранних позывов к кашлю, который поначалу являются сухим и со временем становится мокрым с выделением слизистой консистенции. Заподозрить рак можно, если у женщины:
- Появляется одышка даже в условиях малых физических нагрузках;
- Снижается масса тела и пропадает аппетит;
- Ухудшается глотательный рефлекс;
- Увеличиваются лимфатические узлы;
- Наблюдается появление кровяных прожилок в мокроте;
- Ощущается озноб и повышение температуры тела;
- Развивается желтуха при повреждении ткани печени вследствие распространения метастаз.
Классификация стадий рака лёгких и специфика метастаз

- На первой стадии развития болезни опухоль характеризуется маленькими размерами и состоит из части бронха с отсутствием метастаз;
- На второй стадии (2а), наблюдается небольших размеров единичное образование с отдельными регионарными метастатическими очагами;
- На 3 стадии опухоль разрастается за пределы легкого и имеет много метастаз;
- На четвертой стадии бластоматозный процесс охватывает легочную плевру, соседние ткани и имеет отдаленные метастазы. Процесс метастазирования при раке лёгких отличается своею скоростью, поскольку легочный орган снабжен хорошим крово- и лимфотоком, что обеспечивает стремительное распространение раковых клеток в другие органы. Обычно метастазы появляются в головном мозге, печени и второй части лёгкого.
Исходя из клеточной структуры, карцинома лёгких разделяется на:
- Рак мелкоклеточного строения. Характеризуется агрессивностью и стремительным развитием метастаз. Степень распространенности 15-20 процентов случаев;
- Немелкоклеточный рак. Включает в себя все другие виды.
Методы диагностики рака лёгких
Как узнать о наличии онкологии в лёгких, и каким образом можно ее диагностировать? Сегодня, почти шестьдесят процентов опухолей в лёгких можно обнаружить во время прохождения исследования флюорографией, которую рекомендуется делать один раз в два года, а еще лучше один раз в год. Также распространенными способами выявления рака лёгких являются:
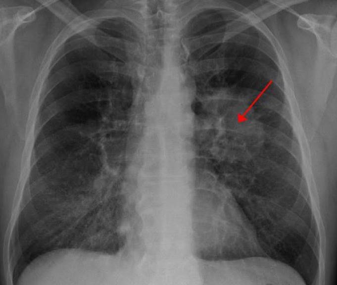
- Метод рентгенографии. Одним из самых первых способов диагностирования онкологического процесса в лёгких, наряду с флюорографией, признан рентгенографический снимок грудной клетки. Это обследование позволяет выявить очаги патологий, наличие уплотнений, процессы деформации лёгких, выраженность легочного рисунка;
- Исследование компьютерной томографией. Этот метод позволяет определить конкретные размеры образования, место его расположения, наличие небольших метастатических очагов, не обнаруживаемых на рентгенографическом снимке, состояние лимфоузлов в грудной клетке. При этом постановку точного диагноза данный способ исключает, в связи, с чем требуется проведение дополнительного анализа на гистологию;
- Биопсическое исследование. Биопсия тканей опухоли представляется наиболее верным диагностическим методом определения рака лёгких, однако является не самым безопасным. Это связано с тем, что такое вмешательство может спровоцировать стремительный рост образования, и увеличивает риск проникновения раковых клеток в систему кроветворения, вызывая развитие метастазов. Исходя из этого, принимая решение о прохождении биопсической процедуры, необходимо подготовится к возможному удалению образования;
- Бронхоскопическое обследование. Чтобы выявить развитие центрального рака используется способ бронхоскопии либо бронхографии с применением контрастного вещества. Основная задача такого обследования заключается в том, чтобы определить степень просвета бронхов и наличие образования, обследование на предмет выявления туберкулеза;
- Исследование анализов крови на онкомаркеры.
Способы лечения
Как лечится рак лёгких? Схема лечения опухоли лёгкого подбирается одновременно несколькими врачами, в числе которых специалист по онкологии, доктор-терапевт и радиолог. Подбор метода лечения будет зависеть от стадии развития болезни, строения образования, процесса метастазирования и состояния больного.

Если опухоль имеет другие формы, то специалисты прибегают к хирургическому вмешательству в комплексе с лечением лучом.
На четвертой стадии применяется химическая терапия как средство поддержания качества жизни пациента.
Удаление опухоли невозможно для тяжелых больных, в случае врастания образования в легочную плевру и грудную стенку, когда запущен процесс метастаз в области средостения и прочих случаях.
Эффективные методики, по которым проводится лечение рака легких в Израиле, к сожалению, ещё очень нескоро дойдут до СНГ. Например, радиотерапия на линейном ускорителе последнего поколения True Beam STx позволяет практически вдвое сократить продолжительность курса радиотерапии, и при этом избежать ряда побочных эффектов.
Внимание: Лечение рака лёгких в домашних условиях невозможно.
Прогноз жизни при раке лёгких
С учетом сложности рассматриваемого онкозаболевания, возникает вопрос, сколько больные живут с подобным диагнозом и каков прогноз? Продолжительность жизни при опухоли в лёгких зависит от разновидности рака, процесса метастазирования, выявления болезни на той или иной стадии и своевременного лечения. Более того, длительность жизни больного будет определяться тем, в каком состоянии находятся внутригрудные лимфоузлы. Больные имеющие метастазы в регионарных лимфоузлах уходят из жизни в течение 2-х лет. Если опухоль была удалена хирургическим путем на 1-ой и второй стадии развития заболевания, то примерно шестьдесят и сорок процентов пациентов живут в течение 5 лет. Лечение легочной опухоли на третьей стадии обеспечивает пятилетнюю выживаемость лишь для двадцати пяти процентов больных.
Важно: Если онкологию лёгких не лечить, то заболевание завершается смертью. Около 48 процентов, не получивших лечение больных, умирают в 1-ый год после диагностирования данного вида рака, лишь 1 процент пациентов живет до пяти лет, три года проживают только 3 процента.
Очень часто больные задаются вопросом, сколько живут при опухоли в лёгких на четвертой стадии болезни? В данном случае, все будет зависеть от классификации рака и степени развития метастаз. Согласно статданным, лишь пять процентов больных имеют шансы прожить в течение 5 лет.
Видео по теме
https://youtube.com/watch?v=oxqkLVN1YLs
Меры профилактики
Помимо обеспечения защиты от неблагоприятных окружающих факторов – работа с опасными химическими веществами, курение и прочие, каждому взрослому человеку необходимо каждый год проходить обследование с использованием рентгена лёгких. Такое исследование необходимо еще и потому, что в условиях нынешней экологии люди, никогда не подвергающиеся указанным выше факторам, также могут стать жертвой рака лёгких. Профилактическими мерами этого онкозаболевания являются: здоровый образ жизни, отказ от употребления табака и алкоголя, ежедневный прием в пищу различных видов фруктов и овощей.
Вопрос-ответ
Какие первые симптомы рака легких могут проявляться?
Первые симптомы рака легких могут включать постоянный кашель, одышку, боль в груди, потерю веса без видимой причины, а также кровохарканье. Эти симптомы могут быть не специфичными и часто игнорируются, поэтому важно обратиться к врачу при их появлении.
Как диагностируется рак легких на ранних стадиях?
Диагностика рака легких на ранних стадиях обычно включает рентгенографию грудной клетки, компьютерную томографию (КТ) и бронхоскопию. Также могут быть назначены анализы на биопсию, чтобы подтвердить наличие раковых клеток.
Какие методы лечения доступны для пациентов с раком легких?
Методы лечения рака легких зависят от стадии заболевания и могут включать хирургическое вмешательство, химиотерапию, радиотерапию и иммунотерапию. Важно, чтобы лечение назначалось индивидуально, с учетом состояния здоровья пациента и особенностей опухоли.
Советы
СОВЕТ №1
Обратите внимание на ранние симптомы, такие как постоянный кашель, одышка, боли в груди или изменение голоса. Если вы заметили эти признаки, не откладывайте визит к врачу для диагностики.
СОВЕТ №2
Регулярно проходите медицинские осмотры, особенно если у вас есть факторы риска, такие как курение или наследственная предрасположенность. Раннее выявление рака легких значительно увеличивает шансы на успешное лечение.
СОВЕТ №3
Обсудите с врачом возможность проведения скрининговых исследований, таких как низкодозовая компьютерная томография (КТ), если вы находитесь в группе риска. Это поможет выявить заболевание на ранних стадиях.
СОВЕТ №4
Если диагноз подтвержден, не бойтесь задавать вопросы о вариантах лечения и возможных побочных эффектах. Понимание своего состояния и доступных методов терапии поможет вам принимать более осознанные решения.


