Рак пищевода – злокачественное заболевание, развивающееся из клеток эпителия слизистой оболочки стенок пищевода. Этой разновидностью рака чаще всего заболевают пожилые люди, возраст которых превышает 55 лет. Встречается чаще у мужчин, чем у женщин. Причиной этого является курение и злоупотребление алкоголем, которые повышают риск возникновения патологии.
Есть страны, где эта болезнь встречается чаще. К ним относятся Япония, часть регионов Китая, некоторые области Сибири, Иран, государства Средней Азии. Объясняется это тем, что население употребляет много острой пищи, пряностей и маринадов, а овощей и фруктов потребляется намного меньше. По статистике, люди с тёмным цветом кожи болеют раком пищевода намного реже, чем люди со светлой кожей.
Пищевод у человека находится между 6-м шейным и 11-м грудным позвонками, связывает глотку с желудком и доставляет пищу к месту переваривания. Это мышечная трубка полая внутри. Пищевод и желудок разделяются сфинктером, который не даёт пище двигаться обратно. У взрослого человека пищевод бывает длиной примерно 41-43 см., в диаметре — в среднем до 25 см. Анатомически состоит из трёх отделов: верхний (шейный), средний (грудной) и нижний (брюшной). Стенки пищевода состоят из трёх слоёв ткани: мышечной, слизистой и соединительной. В брюшной части дистального отдела пищевода находятся гормонально-активные железы и островки эктопии желудочного эпителия, которые имеют большое значение в развитии пептических язв и различных структур.
Болезни и патологии пищевода
Рак пищевода начинает формироваться в клетках эпителия внутренней слизистой оболочки (карциномы), по мере развития распространяется на другие слои. Первым симптомом новообразования является появление затруднений при глотании пищи, вызванным сужением просвета пищевода.

Основные типы опухолей:
- эпителиальные – формируются из тканей эпителия, кожи, слизистой. Для данного вида характерно появление новообразований доброкачественного и злокачественного типа (плоскоклеточный рак, аденокарциномы);
- неэпителиальные – считаются самыми распространёнными. Подобные новообразования очень разнообразны (липома, бластома, лейомиома, гемангиома, хондросаркома);
- смешанные – этот вид опухолей приводит к повреждению всех слоёв стенок органа, характеризуется быстрым распадом и замещается язвами (злокачественная лимфома, карциносаркома).
Специалисты считают плоскоклеточный рак самым агрессивным и злокачественным онкозаболеванием, которое очень быстро развивается. Известно несколько разновидностей подобного рака:
- высокодифференцированный (ороговевающий) – это зрелая форма, при которой клетки опухоли сохраняют способность к ороговению и развиваются в форме «жемчужины»;
- умеренно дифференцированный – промежуточная форма, встречающаяся наиболее часто;
- низкодифференцированный (неороговевающий) – незрелая форма, при которой эпителиальные клетки опухоли разрастаются хаотично, обладают ярко выраженной атипичностью, возникают инфильтраты.
Врачи отмечают, что рак пищевода часто проявляется на поздних стадиях, что затрудняет его диагностику и лечение. Основные симптомы включают затрудненное глотание, боль в груди, потерю веса и хронический кашель. Эти проявления могут быть легко спутаны с другими заболеваниями, что делает важным регулярное медицинское обследование, особенно для людей с факторами риска, такими как курение и злоупотребление алкоголем. Прогноз при раке пищевода зависит от стадии заболевания на момент диагностики. На ранних стадиях шансы на успешное лечение значительно выше, однако при запущенных формах выживаемость остается низкой. Врачи подчеркивают необходимость повышения осведомленности о симптомах и важности раннего обращения за медицинской помощью.

Разновидности рака
По структуре рак пищевода разделяется на две основные формы:
- карцинома (плоскоклеточный рак) — образовывается из эпителиальных клеток, выстилающих слизистую пищевода, чаще находится в верхней и средней части пищевода;
- аденокарцинома – возникает в железистых клетках слизистой оболочки, чаще располагается в нижнем отделе пищевода, может преобразоваться в злокачественные опухоли глотки, гортани, миндалин, нёба, губы.
Другие разновидности рака пищевода (лимфома, саркома, меланома, хорионкарцинома) встречаются в очень редких случаях. Среди злокачественных опухолей чаще всего встречается лейомиома (в 60-75% случаев).
По особенностям роста опухоли, рак пищевода также подразделяется на 2 типа: экзофитный (новообразование растёт в просвет пищевода) и эндофитный (новообразование развивается в толще ткани или в подслизистом слое). Особенно неблагоприятный прогноз при инфильтративно-стенозирующей форме роста опухоли.
Причины возникновения
Рак может возникнуть от влияния множества причин:
- генетическая (наследственная) предрасположенность. Учёными выявлено, что это заболевание может быть вызвано мутацией гена p По этой причине начинает производиться аномальный белок, который перестаёт защищать ткани пищевода от злокачественных новообразований;
- вирус папилломы человека (ВПЧ). У больных раком пищевода в крови нередко обнаруживают этот вирус. Поэтому предполагают, что именно он провоцирует мутирование клеток пищевода;
- пищевод Барретта – это предраковое состояние, при котором здоровые клетки нижних отделов пищевода заменяются клетками, склонными к перерождению в злокачественный вид;
- травмы и ожоги. Проглатывание слишком жёсткой пищи или травмирование пищевода инородными телами также способствуют мутации эпителиальных клеток. Ожоги пищевода могут вызвать слишком горячая пища или случайное глотание жидкостей, вызывающих химические ожоги (в большинстве случаев это щёлочи, последствия от соприкосновения с которыми могут проявляться через много лет);
- несбалансированное питание – это когда в пищу используют в больших количествах различные маринады, плесневые грибы, продукты, содержащие нитраты. Недостаточное количество фруктов и овощей в свежем виде, также отрицательно влияет на систему пищеварения;
- авитаминозы – недостаточное количество витаминов A, B, E способствует лишению природной защиты слизистых тканей;
- злоупотребление алкоголем – едва не самый распространённый фактор риска. Крепкий алкоголь вызывает ожоги слизистой и истончает её. Люди, употребляющие алкогольные напитки в больших количествах, заболевают раком пищевода в 10-15 раз чаще;
- курение – очень частая причина появления новообразований. Ядовитые вещества (канцерогены), содержащиеся в табачном дыму, видоизменяют эпителиальные клетки. Возможность развития опухоли у курильщиков возрастает в 5 раз;
- ожирение — избыточный вес способствует увеличению давления в брюшной полости и вызывает гастроэзофагеальный рефлюкс (выброс пищи обратно из желудка в пищевод). При этом клетки эпителия обжигаются соляной кислотой, которая содержится в желудочном соке;
- чрезмерное увлечение диетами, негативно воздействующими на органы желудочно-кишечного тракта и на весь организм в целом.
Рак пищевода — это серьезное заболевание, которое вызывает множество обсуждений среди пациентов и медицинских специалистов. Люди, столкнувшиеся с этой болезнью, часто отмечают, что первыми проявлениями являются затрудненное глотание, боль в груди и необъяснимая потеря веса. Эти симптомы могут быть неочевидными, что затрудняет раннюю диагностику. Многие пациенты делятся своими переживаниями о том, как важно обращать внимание на сигналы организма и не игнорировать их. Прогноз при раке пищевода зависит от стадии заболевания и общего состояния здоровья пациента. Некоторые говорят о значении раннего выявления и современного лечения, которое может значительно улучшить шансы на выздоровление. Опыт людей, прошедших через это испытание, подчеркивает важность поддержки близких и профессионалов в процессе лечения.

Признаки
На ранней стадии, больной чаще всего не ощущает признаков болезни. К ранним симптомам следует отнести дисфагию (проблемы при глотании кусочков пищи). Возникает чувство, что пища застревает в верхней трети пищевода и желание запить её большим количеством воды. Это объясняется тем, что происходит частичное перекрытие просвета пищевода. Опухоль вызывает спазм стенок пищевода, больной чувствует першение в горле, появляется боль при глотании (одинофагия) и кашель.
рак желудка симптомы и проявление
Развиваясь, новообразование ещё больше перекрывает просвет пищевода. Человек уже не может нормально питаться, отказывается от твёрдых продуктов, начинает употреблять в пищу пюре, каши, супы. При разрастании опухоли, просвет становится всё уже, появляется больше проблем у больного раком пищевода. Теперь он может глотать только жидкости (сок, молоко, бульон). Пациент почти полностью лишается способности принимать пищу, теряет в весе, организм начинает истощаться. Человек испытывает постоянное чувство голода и слабеет.
Если застой пищи возникает выше сужения просвета пищевода, то возникает отрыжка слизью и слюной, появляется рвота. Когда возникают боли за рёбрами, отдающие в зону между лопаток и наблюдается обильное слюноотделение при потреблении пищи, значит развился эзофагит, то есть опухоль стала прорастать в прилегающие органы и лимфоузлы. В том случае, когда новообразование находится в области кардии (место перехода пищевода в желудок), первоначальным проявлением заболевания является частая отрыжка воздухом, неприятный запах изо рта, трудности с глотанием.
При прорастании злокачественной опухоли за границы органов пищеварительной системы, может появиться отёк гортани, сдавливаются дыхательные пути, становится трудно дышать. Так же новообразование может проникать в нервные стволы, чьи нервные волокна от пищевода проходят через спинной мозг. У больного начинается кашель, голос сипнет, развивается синдром Горнера. Проявлениями последней стадии рака являются сильнейшие боли и нарушение функций сопредельных органов. Симптом запущенности рака пищевода – снижение веса (возникает на поздних стадиях болезни, когда помочь больному чаще всего уже невозможно, перед смертью больной сильно истощён).
При раке пищевода метастазы могут распространяться лимфогенным путём (в лимфатические узлы средостении и надключичной области) и по кровеносным путям (поражают лёгкие, мечевидный отросток грудины, печень, головной мозг). Метастазирование редко становится основной причиной смерти больных раком пищевода. Главным фактором является прогрессирующее истощение организма из-за развития первичного новообразования
Важно! Обнаружив подозрительные признаки, необходимо сразу обратиться к врачу. Если заболевание выявить и диагностировать на ранней стадии, то можно увеличить шансы на излечение.
Стадии рака
1 стадия – опухоль локализуется лишь в слизистой и подслизистой оболочке, не наблюдается прорастание в мышечный слой, отсутствуют метастазы и сужения просветов пищевода. Прогноз очень хороший – выживаемость в течение 5 лет около 80%.
2 стадия – новообразование распространилось в мышечный слой, имеется небольшое сужение просвета. Опухоль не выходит за пределы пищевода, в прилежащих лимфоузлах отмечаются незначительные метастазы. Выживаемость в течение трёх лет 70%.
3 стадия – заболеванием поражаются все слои стенок пищевода, опухоль распространяется на серозную оболочку, находящуюся рядом, и на околопищеводную клетчатку. Новообразование пока не проросло в прилегающие органы, однако имеются значительные метастазы в лимфоузлах. Сколько живут пациенты с 3 степенью? Длительность жизни до трёх лет 55%. До 5-летнего рубежа доживает лишь четвёртая часть больных.
4 стадия – опухоль распространяется не только во все слои стенок пищевода, но и прорастает в органы, находящиеся рядом. В отдалённых органах и лимфоузлах наблюдаются метастазы. До трёх лет выживают 15-20% пациентов. Выживаемости до пяти лет не достигает ни один человек.
Всё о диагностике рака пищевода
Для определения точного вида заболевания необходимо тщательное обследование пациента. Назначаются следующие виды исследований:
- эндоскопический осмотр — гибкий эндоскоп вводится в пищевод и подробно осматривается слизистая;
- биопсия — иссечение образца ткани для исследования под микроскопом;
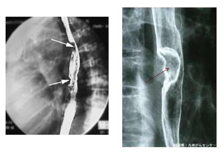
- рентгенография — обнаруживает присутствие очагов рака в средостении и лёгких. Контрастный рентген с барием позволяет определить новообразование на стенках пищевода;
- эзофагоскопия (эндоскопическое исследование) помогает тщательно обследовать внутренние стенки и слизистую, определяет, как выглядит опухоль, уточняет её форму, поверхность, размер, выявляет наличие осложнений, участков кровоточивости и некрозов. Во время эндоскопического ультразвукового исследования проверяют степень прорастания новообразования в стенки пищевода и прилегающие органы и ткани;
- УЗИ брюшной полости информирует об имеющихся метастазах;
- МСКТ и МРТ выявляют патологии в лимфоузлах и органах средостении, обследуют состояние сосудов и близлежащих тканей;
- анализ крови определяет наличие онкомаркеров (онкомаркер – вещество, в больших количествах присутствующее в крови человека, заболевшего раком);
- макропрепарат – предметное стекло с объектом для изучения под микроскопом (например, макропрепарат аденокарциномы или чешуйчато-клеточной карциномы). Сверху объект накрывается тонким покровным стеклом.
Для уточнения диагноза в некоторых случаях проводится остеосцинтиграфия (для выявления метастазов в костях), лапароскопия, бронхоскопия, видеолапароскопия и видеоторакоскопия. Также может применяться ПЭТ (позитронно-эмиссионная томография) – современное исследование, назначаемое больным, которым противопоказано радикальное лечение или перенесшим химиотерапию. Это исследование рекомендуется делать при планировании применения лучевой терапии, для оценивания результатов лечения и обнаружения рецидивов.
Лечение
Методы лечения этого заболевания зависят от общего состояния организма больного, от местонахождения опухоли, от её размера, от степени проникновения в стенки пищевода и соседние ткани, от наличия метастазов.
В выборе индивидуального лечения участвуют врачи разной специализации: онколог, гастроэнтеролог, хирург, радиолог. Чаще всего комбинируются хирургическое удаление новообразования и прилегающих тканей, радио — лучевая терапия и химиотерапия. Сеансы химиотерапии и облучения могут быть назначены как до оперативного вмешательства, так и после него.
Выделяются два основных вида хирургического вмешательства: радикальные и паллиативные операции (при неоперабельном раке пищевода). Лечить хирургическим методом применимо в случаях, когда новообразование локализуется в нижней или средней трети пищевода. Преимущество операции состоит в том, что восстанавливается просвет пищевода и налаживается нормальное питание. При оперативном вмешательстве производится удаление части или всего органа полностью, исправляются последствия, нанесённые раком. В некоторых случаях приходится удалять верхнюю часть желудка. Для замены органа используют фрагмент кишечника или формируют гастростому. Когда просвет пищевода перекрыт новообразованием, для поддержания проходимости пищи устанавливается пластиковый или металлический пищеводный стент.

В хирургии используется ещё один метод операции рака пищевода – шунтирование, применяемое в случаях, когда по состоянию здоровья пациента невозможно установить стент. В ходе шунтирования желудок подтягивается вверх и соединяется с пищеводом выше нахождения опухоли, как бы огибая её.
Эндоскопические операции менее травматичны. Этот метод используется на ранних этапах развития болезни. Через рот в пищевод вводится эндоскоп, на конце которого имеется камера, лазер или хирургическая петля. С помощью особых гибких инструментов проводится бужирование (для расширения просвета пищевода).
В некоторых случаях положительный результат даёт лучевая терапия, применяемая как самостоятельно, так и до или после хирургической операции. Новообразование облучается ионизирующей радиацией, что приводит к замедлению роста и деления злокачественных клеток. Гамма-терапия не опасна для соседних с опухолью здоровых тканей, так как она воздействует в основном на поражённые клетки. Фотодинамическая – тип лазерной терапии, при котором используются препараты, поглощаемые раковыми клетками. Когда клетки опухоли облучаются специальным светом, препарат становится активным и разрушает поражённые клетки.
Использование лучевой терапии совместно с химиотерапией обычно даёт очень хорошие результаты. Новообразования становятся намного меньше, снижается риск появления метастазов. Этот способ лечения применяется в тех случаях, когда операция невозможна.
Химиотерапия – это влияние на клетки новообразования препаратами, которые приостанавливают развитие опухоли и способствуют гибели её клеток.
И комбинированный метод – это когда курс лучевой терапии вместе с химиотерапией проводят примерно за месяц перед оперативным вмешательством. Подобная схема значительно повышает шансы на положительный результат от лечения.
После проведённого лечения больной должен находиться под наблюдением врача, регулярно обследоваться, периодически проходить повторные исследования. Это поможет следить за состоянием организма и своевременно выявить возврат заболевания (рецидив).
Народные средства

Внимание! Необходимо своевременно начинать лечение онкологии на начальной стадии, так как опухоли крупных размеров могут полностью закупорить просвет стенок пищевода, привести к нарушению проходимости (обструкции) и другим осложнениям.
Профилактика рака
Основные принципы профилактики рака пищевода:
- регулярно проходить диспансеризацию и профилактические осмотры;
- отказ от курения и употребления крепких алкогольных напитков;
- правильное сбалансированное питание;
- обнаружение и лечение таких предраковых заболеваний, как ахалазия пищевода.
Видео по теме:
https://youtube.com/watch?v=rrlxX0MKmrA
Питание при раке пищевода
Диета должна быть разнообразной и полноценной, чтобы обеспечивать организм больного всеми необходимыми веществами. Твёрдую пищу необходимо исключить из рациона, питаться протёртой, варёной и приготовленной на пару пищей. Количество потребляемой жидкости не должно превышать 1,5л. в сутки. Нельзя употреблять слишком холодные или горячие блюда (температура пищи должна примерно соответствовать температуре тела человека). Почти все пациенты с раком пищевода в разной степени испытывают недостаток питания, что оказывает отрицательное воздействие не только на физическое состояние больных, но и на их эмоциональное состояние. Поэтому уходом необходимо корректировать это состояние, то есть, по возможности обеспечить комфортную жизнь больным людям.
Нужно помнить! Диета должна быть максимально разнообразна и полноценна. Необходим переход на дробное питание (7-8 приёмов пищи в сутки небольшими порциями). Это снижает нагрузку на пищеварительный тракт и помогает увеличить количество питательных веществ, поступающих в организм.
Если больной отказывается от еды или уже не может проглатывать пищу и жидкости, то питание осуществляется при помощи гастростомы (трубки, которая вставляется в обход пищевода напрямую в желудок, через отверстие в брюшине). При этом употребляется только жидкая пища.
Вопрос-ответ
Какие симптомы могут указывать на рак пищевода?
Симптомы рака пищевода могут включать затрудненное глотание, боль в груди, потерю веса, постоянный кашель, а также изжогу или кислый привкус во рту. Важно отметить, что эти симптомы могут быть связаны и с другими заболеваниями, поэтому при их появлении следует обратиться к врачу для диагностики.
Каковы факторы риска развития рака пищевода?
Факторы риска включают курение, злоупотребление алкоголем, ожирение, наличие гастроэзофагеальной рефлюксной болезни (ГЭРБ), а также некоторые генетические предрасположенности. Также повышенный риск наблюдается у людей с определенными заболеваниями, такими как барреттовый эзофаг.
Каков прогноз при диагностированном раке пищевода?
Прогноз при раке пищевода зависит от стадии заболевания на момент диагностики. На ранних стадиях, когда рак еще не распространился, выживаемость может быть высокой. Однако на поздних стадиях, когда рак метастазировал, прогноз становится менее благоприятным. Регулярные обследования и ранняя диагностика играют ключевую роль в улучшении исхода.
Советы
СОВЕТ №1
Регулярно проходите медицинские обследования, особенно если у вас есть предрасположенность к заболеваниям пищевода. Раннее выявление может значительно повысить шансы на успешное лечение.
СОВЕТ №2
Обратите внимание на свое питание. Избегайте слишком горячей, острой и кислой пищи, а также алкоголя и табака, которые могут раздражать слизистую оболочку пищевода и увеличивать риск развития рака.
СОВЕТ №3
Следите за симптомами, такими как затрудненное глотание, постоянная изжога или необъяснимая потеря веса. Если вы заметили что-то из перечисленного, немедленно обратитесь к врачу для дальнейшего обследования.
СОВЕТ №4
Поддерживайте здоровый образ жизни, включая регулярные физические нагрузки и сбалансированное питание. Это поможет укрепить иммунную систему и снизить риск развития различных заболеваний, включая рак.



