Тератома – опухоль, которая располагается в яичниках, яичках или экстрагонадно (имеют внеяичниковое происхождение). Она бывает злокачественной или доброкачественной.
Что это такое — тератома и причины возникновения

Количество диагностируемых тератом – 24-36% от общего числа онкозаболеваний у детей и около 2,7-7% — у взрослых. По мере роста организма растет и сама тератома, часто скачки роста тератом приходятся на гормональные перестройки организма. В большинстве случаев тератомы имеют благоприятный прогноз. Эта патология проявляется чаще у детей и подростков, но созревание может происходить и в других возрастных отрезках. В эту группу входят и новорожденные. Чаще эта патология возникает у детей в области копчика, куда реже – в других органах. У взрослых эта болезнь чаще затрагивает половую систему: у лиц женского пола – яичники, у мужчин – яички.
Точные причины появления тератом не установлены. Предполагается, что возникновение опухоли это следствие нарушений эмбриогенеза. Тератомы образуются из первичных половых клеток, которые развиваясь, должны были модифицироваться или в яйцеклетки, или в сперматозоиды. Но процесс трансформации срывается, и в организме остаются недифференцированные гоноциты, начинающие меняться под влиянием некоторых факторов и превращаются в различные ткани человеческого организма.
Существует теория, которая предполагает, что развитие тератомы происходит в результате аномального развития, так называемого, «эмбрион в эмбрионе» — случая, когда на ранней стадии развития один из монозиготных близнецов не развивается и оказывается внутри другого, и недоразвитый эмбрион превращается в, так называемое, включение-паразита. Гистологические исследования некоторых таких эмбрионов подтверждают такую теорию.
По международной классификации болезни (Мкб 10) тератома имеет не один код, а коды в промежутке – от М 9080/0 до М 9084/3.
Врачи отмечают, что тератомы представляют собой сложные опухоли, которые могут содержать различные типы тканей, включая волосы, зубы и даже органы. Существует несколько видов тератом, среди которых зрелые и незрелые формы, а также полные и неполные тератомы. Зрелые тератомы обычно являются доброкачественными и чаще всего встречаются у молодых людей, тогда как незрелые могут быть злокачественными и требуют более серьезного лечения.
Причины возникновения тератом до конца не изучены, однако врачи предполагают, что они могут быть связаны с аномалиями в процессе эмбрионального развития. Некоторые исследования указывают на генетические факторы, которые могут предрасполагать к образованию этих опухолей. Важно, чтобы пациенты, у которых есть подозрения на тератому, проходили регулярные обследования, так как ранняя диагностика может существенно повлиять на исход лечения.

Где может развиться тератома

Также развитие тератомы можно обнаружить в области головного мозга, полости носа, челюстей, легких.
Симптомы тератомы
От месторасположения тератомы, на каком этапе формирования зародыша она возникла, зависят и симптомы заболевания. Долгое время эта опухоль не проявляет себя никак и дает о себе знать, в основном, у взрослого человека или в возрасте полового созревания. Но опухоль можно диагностировать даже при рождении ребенка.
Если раковая опухоль идет по злокачественному пути развития проявляются симптомы тератомы. Наиболее явные из них:
- повышение температуры;
- припухлость;
- сдавливание;
- нарушение сердцебиения.
При расположении опухоли в грудной клетке или легких возникают одышка, аритмия.
При расположении тератомы в мужских половых железах может наблюдаться увеличение мошонки, а если есть болевые ощущения, то это говорит о злокачественном развитии опухоли.
При расположении в крестцово-копчиковой области наблюдаются нарушения мочеполовой функции и процесса дефекации.
Тератома — это опухоль, которая может содержать различные типы тканей, такие как волосы, зубы и даже органы. Люди часто удивляются многообразию форм и размеров этих образований, которые могут возникать как у взрослых, так и у детей. Основные виды тератом различаются по своему местоположению: они могут быть зрелыми, незрелыми или эмбриональными. Причины их возникновения до конца не изучены, но предполагается, что они связаны с аномалиями в процессе эмбрионального развития. Многие пациенты отмечают, что тератомы могут быть бессимптомными, но в некоторых случаях они вызывают дискомфорт или болевые ощущения. Важно помнить, что ранняя диагностика и лечение могут значительно улучшить прогноз. Обсуждая эту тему, люди подчеркивают необходимость повышения осведомленности о тератомах и их потенциальных рисках.

Классификация тератом
По гистологии тератомы можно классифицировать на следующие виды:
- зрелые тератомы – опухоли, исследуя которые можно обнаружить несколько дифференцированных тканей, которые являются производными единичного (иногда множества) зародышевых листков;
- незрелые тератомы (тератобластомы) – при их изучении находят ткани эмбрионального строения, производные от 3 зародышевых листков;
- злокачественные тератомы (незрелые иногда зрелые тератомы) или тератокарциномы, которые сочетаются с хорионкарциномой, эмбриональным раком или семиномой.
Строение тератом
Зрелые тератомы по строению разделяют на такие виды:
- кистозные;
- солидные.
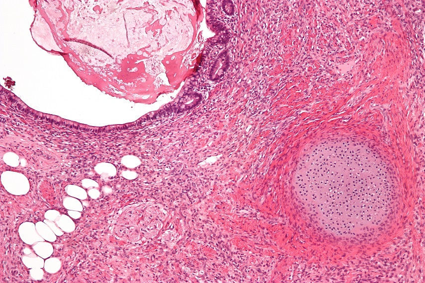
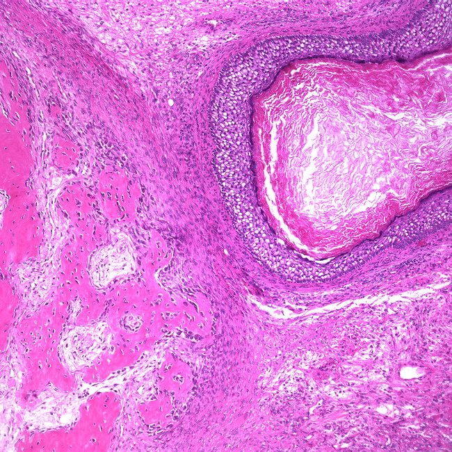
Кистозная тератома выглядит как гладкий крупный узел. При разрезе будут видны крупные кисты с различным содержимым (слизь, кашеобразная масса, мутная жидкость). В полостях можно обнаружить различные включения (костные, хрящевые, иногда бывает опухоль с волосами или зубами).
Солидная тератома имеет вид гладкого плотного или, наоборот, бугристого узла. При разрезе будет видна светло-серая, неоднородная, с небольшими кистами и включениями плотного характера, ткань. Включения могут быть из костной или хрящевой ткани.

Тератомы незрелые при разрезе представляют собой небольшие кисты светло-серого цвета, содержимое которых может состоять из незрелого эпителия, нейрогенного эпителия, хрящевой ткани и поперечнополосатых мышц.
Как правило, зрелые тератомы относят к доброкачественным опухолям, незрелые же считаются опасными, их рассматривают как потенциально злокачественные. Переход от доброкачественной опухоли к злокачественной довольно редок.
Отдельные типы тератом
Тератома яичка у мужчин. Этот вид опухоли составляет почти половину (40%) всех герминогенных новообразовании у мужчин. Если опухоль небольшая, то симптомы не наблюдаются, а крупные узлы можно легко обнаружить, так как они могут вызвать деформацию яичка. Развитие свое эта опухоль начинает в пубертатном периоде. Этот вид рака у взрослых мужчин встречается довольно редко. Тератома яичка подразделяется на зрелую, незрелую и злокачественную. Большую опасность внушают незрелые малигнизировавшиеся тератомы в неопустившимся яичке. Эти новообразования могут протекать долгое время бессимптомно, их тяжело выявить при простом осмотре, а диагностируются они, в основном, на поздних сроках развития.
Тератома яичника. Такой диагноз встречается чаще тератомы яичка. Среди всех новообразований яичника такой диагноз встречается в 20% случаев. В основном это узлы кистозного строения, но бывают и незрелые тератомы. Так как тератома яичника протекает часто бессимптомно, то, как правило, ее обнаруживают при диагностике другого заболевания. Обычно активизация этого вида опухоли приходится на периоды гормональной перестройки (период полового созревания, реже – при наступлении климакса). В удаленных яичниках можно найти различные включения – зубы, волосы.

Учитывая расположение, можно выделить 4 типа тератом:
- наружные;
- наружне-внутренние;
- внутренние;
- пресакральные.
Новообразование, которое встречается довольно редко – тератома шеи плода. Его обычно определяют сразу после рождения. Если опухоли мелкие, они могут остаться нераспознанными, и диагностируются лишь после того, как начинается их рост. Размер опухолей может быть от 3 до 15 см. Эта опухоль может никак себя не выражать, а может проявляться затрудненным дыханием, удушьем и т.д.

Тератома головного мозга встречается редко и обычно у детей в возрасте десяти — двенадцати лет мужского пола. Эта тератома перерождается в злокачественное новообразование в большинстве случаев. Развитие опухоли может долгое время протекать бессимптомно, но ее увеличение вызывает головокружение, головную боль и тошноту.
Тератома, расположенная в забрюшинном пространстве в 95 % случаев носит доброкачественный характер.
Осложнения тератомы яичника
Явные признаки появляются, когда размеры опухоли достигают 3 см. и более. Появляются боли в части живота, где опухоль находится. Увеличивающаяся тератома теснит мочевой пузырь и кишечник, препятствует их нормальной работе, что приводит к нарушению мочеиспускания, появлению диареи, возможны запоры, вздутия живота, менструальный цикл, как правило, не нарушен. Худые женщины могут обнаружить, что живот их увеличился.
Зрелая тератома может не прорастать в прочие органы, но может иметь место перекручивание тонкой ножки, которой раковая опухоль прикреплена к яичнику, а это может стать опасным осложнением. Случается отмирание тканей, так как кровоснабжение опухоли прекращено. Из-за этого возможен перитонит и заражение крови. Иногда может быть разрыв кисты, и содержимое опухоли оказывается в брюшной полости, и итогом тоже может быть перитонит.

Небольшая тератома не мешает наступлению зачатия, течению беременности и формированию плода. Но по мере роста матки с плодом может наблюдаться смещение близлежащих органов, перекручивание ножки опухоли. Это провоцирует выкидыш или преждевременные роды. Рекомендуется при планировании беременности пройти обследование.
Когда тератома яичника диагностирована в период беременности, и размер ее не больше 3 см, то требуется постоянное наблюдение. Но гормональная перестройка в этот период дает толчок для быстрого ее увеличения. Тогда тератому на 17 неделе беременности стараются удалить. Если увеличение не наблюдается, то ее устраняют во время родов (кесарева сечения). Если роды прошли естественным путем, опухоль вырезают через 2-3 месяца после них.
Главная опасность заключается в том, что при небольших размерах тератобластома почти не отличается от дермоидной кисты. Признаки злокачественного перерождения проявляются на поздних стадиях развития опухолей. Кроме прочих симптомов могут появиться боли в других органах (печени, легких, головном мозге), где есть метастазы.
Двухсторонняя тератома диагностируется редко (7-10 случаев из 100), Чаще опухоль возникает на правом яичнике, так как различные процессы из-за преимуществ кровоснабжения происходят там более активно (кровь поступает туда из крупного сосуда). Левый яичник работает не так активно, поэтому новообразования встречаются там реже.
Как диагностируют тератому

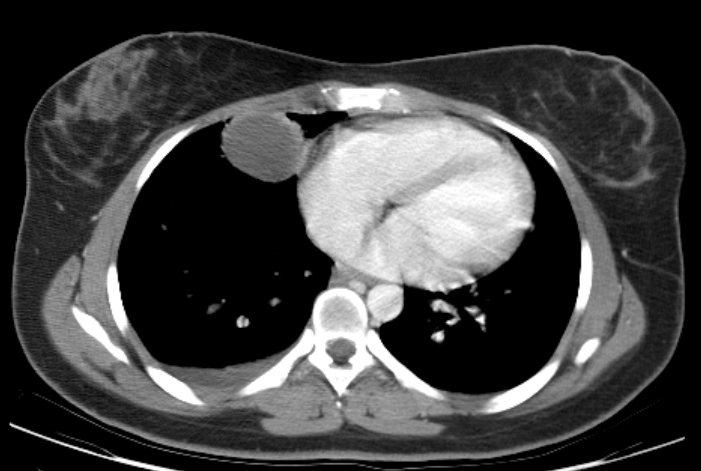
Если подозревают метастазы, то назначают УЗИ, МРТ, КТ, сцинтиграфию, рентгенографию грудной клетки, исследуют кровь на онкомаркеры и другие методы исследования. Если требуется, то назначают анализ крови на хорионический гонадотропин и альфа-фетопротеин. Но точку в том, есть рак или нет, ставят результаты пункционной биопсии и микроскопического исследования материала.
При подозрении на метастазы назначают рентгеноскопию или рентгеноконтрастные исследования для точности диагноза.
При подозрении на тератому в яичниках у женщин делают пальпацию через влагалище. Располагается опухоль спереди и на ощупь плотна, а прикосновения к ней могут вызывать боль. Размер ее не будет более 15 см.
Лечение тератомы и прогнозы после лечения

В зависимости от расположения опухоли и ее гистологического строения зависит и прогноз. Когда тератома зрелая или незрелая доброкачественная, то прогноз благоприятный (исключения составляют крестцово-копчиковые тератомы – здесь выживаемость около 50%).
Если опухоль злокачественная – то прогноз зависит от степени распространенности опухоли. Тератомы с хорионэпителиомой или с эмбриональным раком менее благоприятны, чем тератомы с семиномой.
Видео по теме:
https://youtube.com/watch?v=VPJwJxoSl1M
Вопрос-ответ
Тете поставили диагноз эностома? К какому виду опухоли ее относят?
Это доброкачественная опухоль, состоящая из дифференцированной костной ткани. Прогнозы благоприятны, рецидивы случаются редко.
Родственнику при раке гортани сделали ларингэктомию с резекцией глотки, сказали, что нужные еще какие-то операции. Что еще будут удалять?
Удалять ничего уже не будут. Следующим этапом будет формирование удаленных частей – проведут (в зависимости от назначения) оростому, эзофагостому, трахеостому и т.д., для формирования иссеченных частей шеи, лица, органов гортани и т.д.
Советы
СОВЕТ №1
Изучите информацию о различных видах тератом, чтобы лучше понимать, какие симптомы могут указывать на их наличие. Это поможет вам вовремя обратиться к врачу при первых признаках.
СОВЕТ №2
Регулярно проходите медицинские осмотры, особенно если у вас есть предрасположенность к образованию опухолей. Ранняя диагностика может значительно повысить шансы на успешное лечение.
СОВЕТ №3
Обратите внимание на свой образ жизни: сбалансированное питание, физическая активность и отказ от вредных привычек могут снизить риск возникновения различных заболеваний, включая тератомы.
СОВЕТ №4
Если у вас есть вопросы или сомнения по поводу здоровья, не стесняйтесь обращаться к специалистам. Консультация с врачом поможет развеять мифы и получить актуальную информацию о вашем состоянии.