
В зависимости от отличий раковых клеток от нормальных, можно выделить несколько степеней их дифференцировки: недифференцированная (G4), низкодифференцированная (G3), умеренно дифференцированная (G2) и высокодифференцированная (G1).
Что это такое высокодифференцированная аденокарцинома
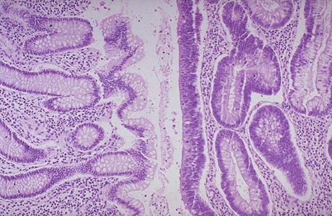
Между здоровыми клетками, из которых образуются раковые опухоли, и злокачественными (уже перерожденными) практически нет разницы – это и характеризует высокодифференцированную (высокодефферентную) аденокарциному. При этом виде опухоли подразумевается, что изменение (полиморфизм) клеток происходит только в размерах ядра (оно увеличивается в длину). Это приводит к тому, что данная аномалия долго себя не проявляет, и только при дальнейшем разрастании опухоли появляются первые симптомы болезни. Такой тип опухоли считается наиболее благоприятным в смысле излечения, хотя и считается злокачественным.
В зависимости от состава секреторной жидкости, которая выделяется, могут различаться слизисто-секреторные (муцинозные) и серозные карциномы. По консистенции дифференцированная аденокарцинома может быть твердой или иметь в своей структуре кисты (полости). А в носу и глотке такие опухоли (к примеру, синоназальная карцинома) обычно похожи на гипертрофию миндалин. Но при этом увеличение размера у них одностороннее, и их выдает яркая насыщенная окраска.
Врачи отмечают, что высокодифференцированная аденокарцинома, несмотря на свою агрессивность, имеет более благоприятный прогноз по сравнению с другими формами рака. Лечение обычно включает хирургическое вмешательство, химиотерапию и, в некоторых случаях, радиотерапию. Специалисты подчеркивают важность ранней диагностики, так как это значительно увеличивает шансы на успешное выздоровление. Врачи также акцентируют внимание на индивидуальном подходе к каждому пациенту, учитывая стадию заболевания и общее состояние здоровья. Регулярные обследования и мониторинг состояния пациента являются ключевыми факторами для достижения положительных результатов. В целом, при своевременном и комплексном лечении, прогноз для пациентов с высокодифференцированной аденокарциномой может быть достаточно оптимистичным.

Причины возникновения высокодифференцированной аденокарциномы
Важно! Факторы, которые влияют на появление рака, достаточно многочисленны. Все их можно разделить на 4 группы: абсолютно приводящие к раку (отдельные виды химикатов), с большой вероятностью приводящие к раку (наличие предраковых патологий), в некоторой степени влияющие на формирования ракового фона (лучевые воздействия), однозначно не способствующие появлению онкологии (например, антиоксиданты).
Учитывая современные исследования можно озвучить следующие причины возникновения рака и факторы, их провоцирующие:
- Генетика и наследственная предрасположенность;
- Регулярное потребление канцерогенов, генномодифицированной продукции, любых вредных продуктов;
- Вредные привычки – курение и употребление алкоголя. По статистике более 90 % раковых больных (рак легких) курят больше 20 лет;
- Пожилой возраст (в организме постепенно накапливаются опасные вещества и свободные радикалы);
- Фоновые заболевания, способные к малигнизации (язва желудка, АПЧ онкогенных типов и т.д.);
- Регулярное воздействие на организм человека некоторых веществ (излучений) в связи со сферой деятельности;
- Гормональный дисбаланс;
- Истощение организма (физическое и нервное), в связи с этим – снижение иммунитета.
Общие симптомы заболевания
Общие симптомы этого вида рака такие же, как и при других видах злокачественных образований:
- Общая слабость, постоянная сонливость;
- Отсутствие аппетита, снижение веса;
- Повышение температуры;
- Болевой синдром (зависит от локализации опухоли).
Главные признаки высокодифференцированной аденокарциномы зависят от очага опухоли.
Высокодифференцированная аденокарцинома — это форма рака, которая характеризуется медленным ростом и относительно благоприятным прогнозом по сравнению с другими типами опухолей. Многие пациенты и их семьи отмечают, что ранняя диагностика играет ключевую роль в успешном лечении. Врачи часто рекомендуют комплексный подход, включающий хирургическое вмешательство, химиотерапию и радиотерапию. Люди делятся опытом, что индивидуальный план лечения, составленный с учетом особенностей организма, значительно повышает шансы на выздоровление. Прогнозы зависят от стадии заболевания, но при своевременном обращении к специалистам многие отмечают положительные результаты. Важно также поддерживать моральный дух и следить за психологическим состоянием, что помогает справиться с болезнью.

Высокодифференцированная аденокарцинома кишечника
Чаще других встречается аденокарцинома толстого кишечника. Рак способен формироваться в любом из отделов органа, но обычно формируется в зоне прямой кишки и сигмы.
Диагноз, как правило, определяется при присутствии хронического механического повреждения слизистых, к примеру, провокатором может выступать незаживающая анальная трещина.
Симптомы данной болезни таковы:
- Боль низа живота, промежности, ануса и пространства возле него, также могут ощущаться боли в области поясницы, крестца, нижних конечностей;
- Нарушение стула, вздутие живота, тошнота и рвота (диспепсический синдром);
- В кале могут быть примеси кровянистого характера (при раке сигмовидной кишки – темно-красные, толстого кишечника – почти черные, ректума – алые) или гноя.
Также при достаточно запущенных стадиях заболевания может возникать обструктивная (кишечная) непроходимость. Часто аденокарциному кишечника обнаруживают при устранении кишечной недостаточности.
Раковые опухоли различных отделов кишечника могут проявляться различными симптомами. Некоторые симптомы характерны для какого-то определенного вида опухоли, другие схожи с симптомами многих заболеваний.
При аденокарциноме толстой кишки характерно нахождение гноя, слизи и прожилок крови в кале.
Аденокарцинома слепой кишки выявляет себя явными симптомами анемии, бледностью кожи из-за скрытых кровотечений при раке ободочной кишки правостороннего расположения. А провокатором этого типа заболевания могут быть полипы и хронические проктиты.
На ранних стадиях рак сигмовидной кишки протекает скрытно, лишь на поздних этапах его развития могут возникать нарушения вкусовых привычек, появляться боли в животе, нарушаться стул.
На ранних стадиях рак прямой кишки часто сопровождается ложными позывами к опустошению кишечника, могут возникать запоры, усиливаться перистальтика. Также будет замечаться землистый цвет лица, симптомы анемии.
Высокодифференцированная аденокарцинома матки
Среди рака высокой дифференциации, опухоль матки считается одной из распространенных и является гормонозависимой. Одним из главных факторов риска для подобной патологии считается наличие большого количества в женском организме эстрогенов. Такая аденокарцинома возникает у женщин постклимактерического периода и имеет благоприятный прогноз.
Основными проявлениями этого заболевания считаются:
- Менструации болезненного характера, очень обильные (если они имеются);
- Меноррагии (кровотечения из матки между менструальными циклами);
- Боли внизу живота, отдающие в спину, промежность, ноги;
- Гнойные выделения с резким запахом из матки;
- Боль по завершению полового акта и во время него;
- Нарушение мочеиспускания (при прорастании в мочевой пузырь);
- Проблемы с опорожнением кишечника (при прорастании в кишечник).
Этот тип высокодифференцированной аденокарциномы (Adenocarcinoma) редко дает метастазы, поэтому часто возможно полное выздоровление при обнаружении опухоли до начала метастазирования. Главной проблемой является деторождение, если заболевание коснулось женщины в фертильном возрасте.

Высокодифференцированная аденокарцинома простаты
При аденокарциноме предстательной железы может возникать боль в тазобедренных суставах, возрастает частота и длительность мочеиспусканий, сам процесс происходит болезненно. Также часто возникает недержание мочи. Опухоль при раке простаты развивается из железистых клеток альвеолярно-трубчатых структур и обычно находится в периферической области простаты. Этому заболеванию чаще подвержены мужчины пожилого возраста.
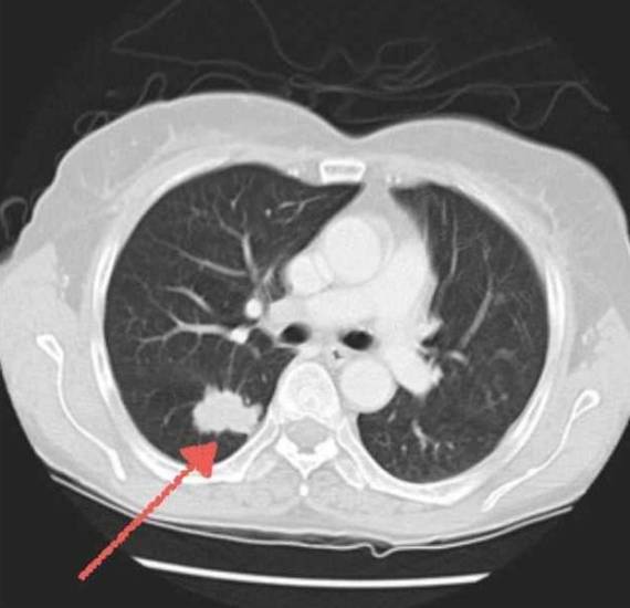
Высокодифференцированная аденокарцинома легкого
Факторы, которые провоцируют формирование этого вида рака, следующие:
- Активное или пассивное курение;
- Частое вдыхание канцерогенов (вредное производство);
- Хронические застарелые болезни легких.

Одним из характерных признаков заболевания считается кашель с отхаркиванием большого количества мокроты слизистой консистенции. Опухоль может быть как ацинарной, так и папиллярной (сосочковой) формы. В первом случае это рак с железистой структурой и крупными клетками, во втором – с многоядерной выстилкой. Обе формы склонны к усиленному слизеобразованию.
На более поздних этапах развития этот вид рака проявляется натужным кашлем, повышением температуры, больной чувствует нехватку воздуха и страдает одышкой даже в спокойном состоянии.
Высокодифференцированная аденокарцинома молочной железы
Факторами, приводящими к образованию этого типа рака, могут быть:
- Сильные травмы груди (ушибы);
- Мастопатия;
- Нарушения гормонального баланса;
- Диагностированное бесплодие.
Симптомами заболевания становятся визуальные изменения:
- Сосок может впадать;
- Возникают отеки;
- Изменяется цвет кожи.
Диагностика заболевания
Обычно раковые опухоли диагностируются посредством:
- Анализ анамнеза больного;
- Анализ мочи, кала, общий и развернутый анализ крови;
- УЗИ;
- КТ;
- Биопсия с гистологией;
- Колоноскопия;
- Ирригоскопия и другие исследования.
Лечение высокодифференцированной аденокарциномы
Различное местоположение опухоли предполагает и назначение различных методов воздействия на нее: хирургическое вмешательство, нейтронная терапия, химио- и лучевая терапия.
Часто терапия высокодифференцированной аденокарциномы выполняется с помощью хирургического вмешательства. Зараженные раком ткани удаляют вместе с близлежащими структурами, снижая возможность возникновения рецидива. Окончательное излечение при аденокарциноме случается только после проведения курса химиотерапии (препараты — «Цислпатином» (препарат платины) или «Винбластином»). Хотя химиотерапия дает множество побочных эффектов, отказ от нее может привести к рецидиву заболевания.
Нейтронная терапия – метод подобный лучевой терапии, основное его отличие от лучевой терапии – использование вместо обычного облучения – нейтронов, при таком методе лечения здоровые ткани облучению не подвергаются.
Прогноз заболевания
Прогноз выживаемости завит от нескольких факторов: размера и места расположения раковой опухоли, стадии развития болезни, присутствия или отсутствия метастаз.
В зависимости от вида рака, можно составить прогноз пятилетней выживаемости. При раке матки в 1 стадии – 85-98% , во 2 стадии – до 70-75%, 3 стадия – 32%, 4 — 5,3%. Высокодифференцированная аденокарцинома толстой кишки дает другие прогнозы выживаемости – 1 стадия – 90%, 2 – 50%, 3 – 20 %. Такая же картина получается при раке прямой кишки. При прогнозах данного вида рака последняя стадия заболевания не дает благоприятных прогнозов – прогнозы составляют в среднем не выше 30 %.
Вопрос-ответ
Что характерно для высокодифференцированного рака яичника в последних стадиях?
Если говорить кратко, то на последних стадиях характерно наличие опухоли в двух яичниках, также может наблюдаться проникновение раковых клеток в лимфоузлы в брюшной полости.
Часто ли диагностируется высокодифференцированный рак 12-ти перстной кишки?
Подобный тип рака встречается довольно редко – в 3,5 % случаев.
Что такое аденосквамозная карцинома эндометрия?
Это аденокарцинома эндометрия с плоскоклеточными элементами, имеет черты схожести с типичной эндометриоидной аденокарциномой.
В диагнозе рака нашла обозначение «БДУ». Что оно означает?
Оно расшифровывается как – «Без Особых Уточнений». Никакой смысловой нагрузки для пациента оно не несет. К этому сокращения добавляется еще цифровое сочетание, которое обозначает классификацию типа рака, к примеру, если это 8140/3 – имеется в виду аденокарцинома.
Советы
СОВЕТ №1
Обсудите с врачом все доступные варианты лечения. Высокодифференцированная аденокарцинома может требовать индивидуального подхода, поэтому важно рассмотреть все возможные методы, включая хирургическое вмешательство, химиотерапию и радиотерапию.
СОВЕТ №2
Следите за своим состоянием и обращайте внимание на любые изменения в здоровье. Регулярные обследования и анализы помогут выявить возможные рецидивы или осложнения на ранних стадиях, что значительно повысит шансы на успешное лечение.
СОВЕТ №3
Поддерживайте здоровый образ жизни. Правильное питание, физическая активность и отказ от вредных привычек могут улучшить общее состояние организма и повысить эффективность лечения, а также помочь в восстановлении после терапии.
СОВЕТ №4
Не стесняйтесь обращаться за поддержкой. Психологическая поддержка, будь то от близких, друзей или профессионалов, может сыграть важную роль в вашем эмоциональном состоянии во время лечения и восстановления.
