Нефробластома, или опухоль Вильмса, считается злокачественным новообразованием почек, оно формируется в раннем детстве – в период от 2 до 5 лет. Чаще всего это заболевание протекает бессимптомно и обнаруживается при очередном осмотре.
Подробнее о заболевании

Обычно это заболевание врожденное. В 5% случаев образование носит двухсторонний характер. Средний возраст диагностирования опухоли у мальчиков три года пять месяцев, у девочек – три года одиннадцать месяцев. У взрослых эта болезнь диагностируется довольно редко – меньше, чем в 1 % случаев от общего числа новообразований почек.
Внешне поверхность пораженного органа выглядит неровной, при разрезе можно заметить участки кровоизлияний и некроза, местами наличествуют кистообразные новообразования (в этом случае говорят о кистозной опухоли Вильмса).
Важно! В начале формирования новообразование располагается внутри почек, в дальнейшем оно проникает в близлежащие органы и ткани – дает метастазы.
Код опухоли Вильмса по Мкб10 – С 64 – злокачественное новообразование почки, кроме почечной лоханки.
Опухоль Вильмса, или нефробластома, является одной из самых распространенных опухолей почек у детей. Врачи отмечают, что это злокачественное новообразование чаще всего диагностируется у детей в возрасте от 2 до 5 лет. Основные симптомы включают увеличение живота, боли в животе, а также возможные проблемы с мочеиспусканием. Специалисты подчеркивают важность ранней диагностики, так как это значительно повышает шансы на успешное лечение. В большинстве случаев опухоль поддается хирургическому удалению, а также может потребоваться химиотерапия. Врачи рекомендуют родителям быть внимательными к любым изменениям в состоянии здоровья ребенка и не откладывать визит к специалисту при наличии подозрительных симптомов.

Причины заболевания
Данная опухоль возникает из-за происходящих мутаций ДНК клетки, но в большинстве случаев причины мутаций не ясны. Риск возникновения подобной опухоли возрастает, если есть некоторые пороки развития, например, гемигипертрофия (неравномерное развитие половин тела), аниридия (отсутствие или недоразвитие радужки глаза), гипоспадия, крипторхизм. Также такая патология может быть при синдроме Дени-Дреша, Видемана-Беквита, WARG-синдроме, синдроме Клиппеля-Треноне.
Также повышается риск возникновения заболевания при следующих факторах:
- гендерный фактор (у девочек такое заболевание встречается чаще);
- наследственная предрасположенность (такое заболевание уже диагностировалось у родственников);
- расовая принадлежность (у представителей негроидной расы это заболевание диагностируется в два раза чаще).
Классификация и стадии заболевания

1 – новообразование не нарушает границы почки. Сосуды и капсула почки не задействованы. Метастазы не наблюдаются;
2 стадия – опухоль выходит за границы органа, поражает сосуды (и/или капсулу органа). Новообразование подвижно, возможно лечение методом радикальной операции. Метастазы также не наблюдаются;
3 – начинается метастазирование в лимфоузлы или брюшную полость;
4 стадия – образуются метастазы спинного (головного) мозга, легких, печени, костей;
5 стадия – опухоль имеет двусторонний характер.
Также есть классификация, которая учитывает гистологические особенности этой опухоли. Согласно этому делению, опухоль Вильмса разделяют на два вида: с благоприятными и с неблагоприятными признаками.
Чаще всего в структуре опухолей встречается смешанное бластемно-эпителиальное строение, но иногда новообразование состоит из бластемных клеток (бластемный вариант нефробластомы) или из тубулярных структур (эпителиальный вариант).
Опухоль Вильмса, или нефробластома, — это злокачественное новообразование почек, чаще всего встречающееся у детей в возрасте от 3 до 4 лет. Многие родители, услышав этот диагноз, испытывают страх и неуверенность. Однако важно понимать, что опухоль Вильмса поддается лечению, и в большинстве случаев прогноз благоприятный. Симптомы могут включать увеличение живота, боли в животе, а также возможные проблемы с мочеиспусканием. Важно отметить, что ранняя диагностика и комплексное лечение, включающее хирургическое вмешательство, химиотерапию и радиотерапию, значительно повышают шансы на выздоровление. Врачи подчеркивают, что регулярные медицинские осмотры и внимание к здоровью ребенка могут помочь в своевременном выявлении заболевания. Родители, столкнувшиеся с этой проблемой, часто делятся опытом, поддерживая друг друга и находя надежду в историях выздоровления.

Сопутствующие болезни
Чаще всего это заболевание сопровождается другими патологиями:
- увеличением внутренних органов;
- гипоспадией (при этой патологии у мальчиков мочеиспускательный канал открывается посредине полового члена или в промежности;
- крипторхизм;
- нет радужки в глазу.
Симптомы заболевания
Симптоматика заболевания зависит от возраста ребенка, стадии опухолевого процесса, наличия метастаз.
Раннее течение болезни характерно отсутствием симптомов, либо имеется размытая симптоматика: вялость, слабость, потеря аппетита, резкое снижение веса, небольшое повышение температуры. В анализах крови могут выявляться: умеренная анемия и возрастание СОЭ.
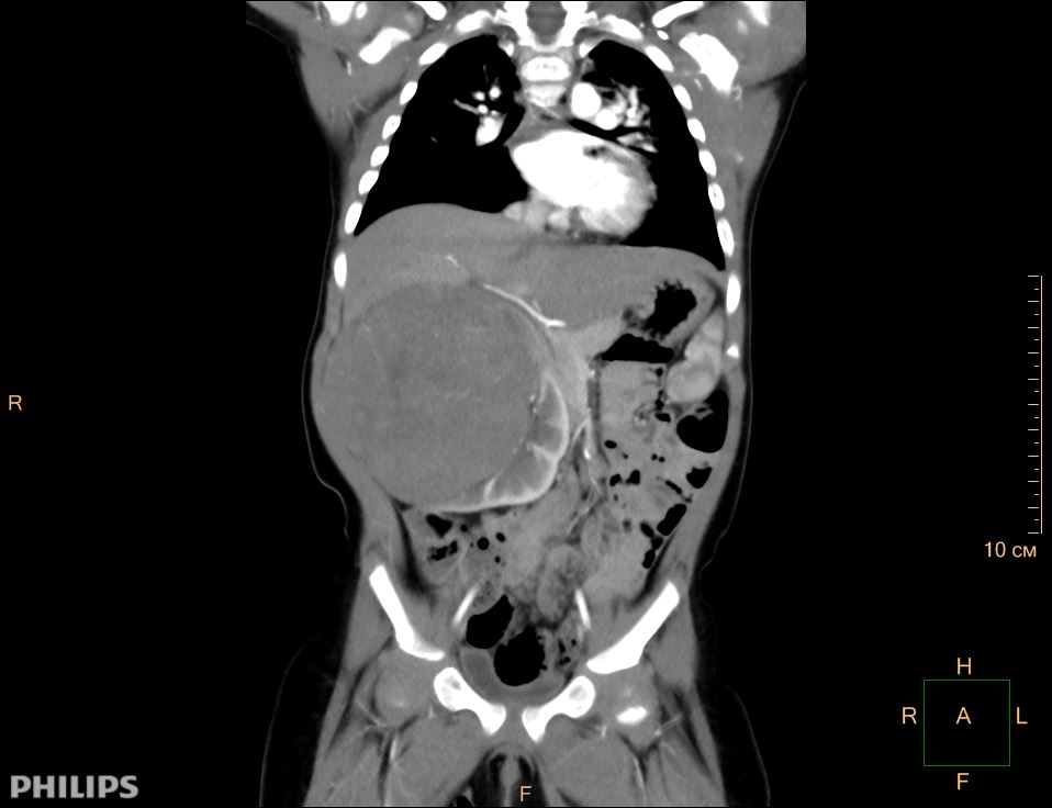
Крупные опухоли можно прощупать через переднюю стенку брюшины. Может быть асимметрия живота. Большая опухоль может вызвать непроходимость кишечника. Также возможно затруднение дыхания, что обусловлено сдавливанием органов грудной клетки.
При прорастании опухоли в чашечно-лоханную систему в моче может быть кровь (у 30% больных). Возможно повышение артериального давления. Если возникают метастазы, то клиническая картина включает еще и признаки нарушений функций пораженного органа.

Опухоль Вильмса и беременность
Если будущая мать перенесла хирургическое удаление почки задолго до начала беременности, то прогноз довольно благоприятен. Но бывают исключения, когда состояние беременности может спровоцировать рецидив заболевания. В таких случаях рекомендуется прервать беременность для спасения жизни матери. Иногда перенесенная в детском возрасте опухоль Вильмса может спровоцировать развитие пиелонефрита или отразиться на функциональном развитии плода.
Диагностика
Диагноз ставится по результатам лабораторных и инструментальных исследований:
- общий анализ мочи;
- анализ на онкомаркеры;
- анализ периферической крови;
- анализы на функциональные почечные пробы;
- экскреторная урография;
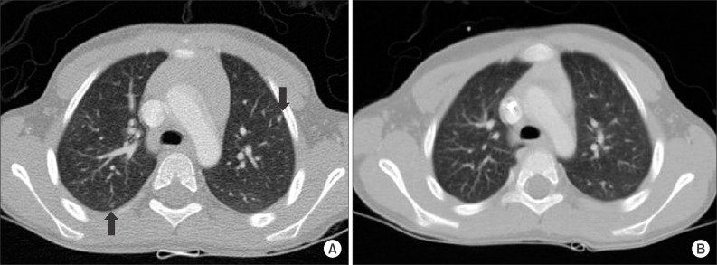
- рентгенография грудной клетки (выявляется смещение средостения, повышение уровня диафрагмы и присутствие метастаз в легких);
- КТ (почек, забрюшинного пространства);
- МРТ почек;
- УЗИ забрюшинного пространства, брюшной полости;
- венография (если подозревается поражения полой вены);
- сцинтиграфия костей скелета (чтобы исключить метастазы в костях);
- стернальная пункция и микроскопическое исследование пунктата.
Также проводят дифференциальную диагностику с кистой, поликистозом, гидронефрозом почки и другими заболеваниями почек.
Лечение

В настоящее время проводят органосохраняющие операции в комплексе с предоперационной полихимиотерапией, послеоперационной радио- и химиотерапией.
При неоперабельных новообразованиях назначается паллиативное лечение: химио- и лучевая терапия, симптоматическая терапия. Больным после полной двухсторонней нефрэктомии назначают гемодиализ, и далее следует пересадка почки.
При проведении химиотерапии применяют чаще всего лекарственные препараты «Винкристин», «Дактиномицин», «Доксорубицин».
Если опухоль сильно прогрессирует, то назначается еще и лучевая терапия, ее сочетают с химиотерапией, если заболевание находится на 3-4 стадии. Проведение лучевой терапии также связано с осложнениями, как и проведение химиотерапии.
При возникновении рецидивов назначаются хирургическое вмешательство, радио- и химиотерапия. Из-за того, что при химиотерапии применяются агрессивные химпрепараты, которые оказывают отрицательное воздействие на систему кроветворения, в последующем пациентам требуется трансплантация костного мозга.
После проведения курса лечения пациенты в течение нескольких лет регулярно проходят профилактические осмотры, сдают анализы крови и мочи.
Прогноз
Прогноз при новообразованиях почки (опухоли Вильмса) зависит от стадии болезни и гистологии — пятилетняя выживаемость на 1 стадии составляет около 80-90%, на 2 – 70-80%, на 3 – 35-50%, 4 стадии – меньше 20%. Риск возникновения рецидивов возможен у 5-15 % пациентов.
Двухлетняя выживаемость — около 40%. Неблагоприятными факторами считаются возраст пациента меньше полутора лет или больше пяти лет, прекращение курса химио- или радиотерапии, величина опухоли более 500 г и 3-4 стадии заболевания с плохой гистологией.
Учитывая, что специфических мер профилактики этой болезни нет, то рекомендуется регулярно проходить обследования, чтобы раньше обнаружить опухоль и быстрее провести лечение.
Вопрос-ответ
Куда метастазирует опухоль Вильмса?
В единичных случаях метастазы находят в печени. Если болезнь на поздней стадии, то метастазы находят также в костях, в центральной нервной системе и за пределами брюшной полости. Примерно у 5% детей опухоль Вильмса с самого начала вырастает сразу в двух почках, а не в одной.
Насколько излечима опухоль Вильмса?
В целом, излечиваются около 9 из 10 детей с опухолями Вильмса.
Советы
СОВЕТ №1
Обратите внимание на симптомы. Опухоль Вильмса может проявляться различными признаками, такими как увеличение живота, боли в животе, кровь в моче или проблемы с мочеиспусканием. Если вы заметили что-то из перечисленного у ребенка, не откладывайте визит к врачу.
СОВЕТ №2
Регулярно проходите медицинские осмотры. Особенно важно следить за здоровьем детей, так как ранняя диагностика опухоли Вильмса может значительно повысить шансы на успешное лечение. Обсуждайте с педиатром любые изменения в состоянии здоровья вашего ребенка.
СОВЕТ №3
Изучите информацию о лечении. Опухоль Вильмса обычно лечится с помощью хирургического вмешательства, химиотерапии и иногда радиотерапии. Ознакомьтесь с возможными вариантами лечения и обсудите их с врачом, чтобы выбрать наилучший подход для вашего ребенка.
СОВЕТ №4
Поддерживайте эмоциональное состояние ребенка. Диагностика рака может быть стрессом как для ребенка, так и для родителей. Обеспечьте поддержку и создайте комфортную атмосферу, чтобы помочь ребенку справиться с эмоциональными трудностями во время лечения.
